El pénfigo paraneoplásico (PP) es una entidad poco frecuente descrita por primera vez por Anhalt et al en 19901. Es una enfermad autoinmune de la piel y mucosas asociada a una neoplasia, generalmente de origen linfoide. Dado que presenta compromiso de varios órganos además del cutáneo y que los mecanismos fisiopatogénicos que intervienen en las lesiones mucosas, cutáneas y de órganos internos no se limitan a la presencia de autoanticuerpos específicos contra las moléculas de adhesión, Nguyen et al propusieron en el año 2001 el término síndrome multiorgánico autoinmune paraneoplásico (SMAP)2.
Se presenta un paciente con SMAP asociado a un linfoma no Hodgkin.
Caso clínicoVarón de 69 años con antecedentes personales de accidente vascular cerebral y diabetes mellitus tipo 2 que consultó por erosiones y úlceras orales de 6 meses de evolución.
Al examen físico destacaba una glositis erosiva, queilitis, conjuntivitis pseudomembranosa así como una queratitis erosiva. El paciente presentaba además lesiones eritematodescamativas en la cabeza, maculopápulas y placas eritematovioláceas en tronco y piernas, hiperqueratosis con fisuras palmoplantares y lesiones erosivas en glande y escroto (figs. 1 y 2), todas ellas aparecidas dos meses antes de la consulta.
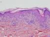
La biopsia de piel mostró una dermatitis de interfase liquenoide con queratinocitos necróticos (fig. 3). La inmunofluorescencia directa (IFD) reveló depósitos intercelulares de Ig G y C3 en la epidermis. La inmunofluorescencia indirecta (IFI) mostró depósitos intercelulares usando como substrato esófago de mono y fue negativa con vejiga de rata. Mediante inmunoblotting se identificaron anticuerpos contra envoplaquina (210kD) y periplaquina (190kDa).
Se realizó un estudio en búsqueda de una neoplasia oculta. La tomografía axial computarizada (TAC) de tórax y abdomen evidenció la presencia de adenopatías mesentéricas, mediastinales y axilares así como una masa en tejido blando retroperitoneal.
Las biopsias de un ganglio linfático y de médula ósea fueron compatibles con linfoma folicular no Hodgkin (LNH), llegándose al diagnóstico de SMAP asociado a LNH. Se inició el tratamiento de la neoplasia de base con ocho ciclos de quimioterapia con vincristina, rituximab, ciclofosfamida y prednisona; además, se pautó ciclosporina 5mg/kg/día y metilprednisona 1mg/kg/día a dosis progresivamente decrecientes para el tratamiento de las manifestaciones cutáneas. En cuanto a la evolución, el linfoma presentó una remisión completa mantenida hasta la fecha y las lesiones cutáneas se resolvieron completamente en dos semanas. Tras tres años de seguimiento el paciente presenta tan solo una leve estomatitis en tratamiento con ciclosporina 100mg/día.
El SMAP es un síndrome heterogéneo, autoinmune que compromete varios órganos internos, se asocia a una neoplasia y presenta características clínicas, histológicas e inmunológicas bien definidas. Los hallazgos clínicos del pénfigo paraneoplásico son variados y pueden remedar tanto un pénfigo, un liquen plano, un eritema multiforme o una enfermedad de injerto contra huésped. La estomatitis es constante y muchas veces es un signo temprano de la enfermedad, tanto que su ausencia debe hacer dudar del diagnóstico de PP. Se caracteriza por la presencia de lesiones erosivas muy dolorosas3,4.
La anatomía patológica puede mostrar acantólisis, pero en contraste con el pénfigo vulgar ésta es menos marcada y puede acompañarse de un intenso infiltrado mononuclear liquenoide en la unión dermoepidérmica con degeneración vacuolar, despegamiento suprabasal y necrosis de queratinocitos (dermatitis liquenoide)4.
Los hallazgos de la inmunofluorescencia directa muestran inmunoreactantes (Ig G y complemento) intercelulares, como en el pénfigo, aunque es frecuente también hallar Ig G y/o complemento en la membrana basal, siendo este dato útil en el diagnóstico diferencial del penfigo vulgar con el PP o SMAP. Debe recordarse que en algunos casos la IFD puede ser negativa; este hecho puede deberse al predominio de lesiones liquenoides o a la presencia de tejido necrótico en las biopsias5.
En el SMAP se describe la detección de anticuerpos en suero que reaccionan contra las plaquinas presentes en todos los epitelios (envoplaquina, periplaquina, desmoplaquina 1 y 2, plectina y una proteína de 170kD no caracterizada). Sin embargo, existe un subgrupo de pacientes en quienes los anticuerpos antidesmoplaquinas pueden estar ausentes, por lo que los anticuerpos contra la envoplaquina y la periplaquina se consideran los más específicos en el SMAP5,6.
El PP es la manifestación mucocutánea de un cuadro paraneoplásico autoinmune multiorgánico grave, que precede en aproximadamente un tercio de los pacientes al diagnóstico de la neoplasia; su sospecha clínica es esencial para un diagnóstico y tratamiento precoz tanto del SAMP como de la neoplasia y así evitar complicaciones con pronóstico fatal, como la bronquilitis obliterante7,8.
En nuestro caso es importante destacar que se trata de un SMAP asociado a un linfoma, que éste fue diagnosticado precozmente y que, a diferencia de la mayoría de los casos asociados a tumores malignos comunicados en la literatura, presentó una excelente evolución con una supervivencia de más dos años desde su diagnóstico.
Profesor J Manuel Mascaró-Galy, Hospital Clinic Barcelona y Josep Herrero, Servicio de Dermatología del Hospital del Mar, por su labor para realizar la técnica de inmunoblot.





