Presentamos el caso de una mujer de 75 años diagnosticada 8 años antes de un Sarcoma de Kaposi (SK) clásico en placa, localizado en el muslo derecho y el antebrazo derecho (fig. 1A) sin afectación metastásica asociada. La biopsia inicial de las lesiones del antebrazo mostraba hallazgos compatibles con un SK tipo nodular. Durante el seguimiento, a lo largo de 8 años la paciente desarrolló un total de 7 recidivas tumorales cutáneas localizadas en el antebrazo y en la pierna, siempre con el mismo aspecto clínico en placa (fig. 1B), sin afectación sistémica, que fueron controladas con doxorrubicina liposomal. Las sucesivas biopsias del antebrazo, tomadas en cada una de las recidivas, mostraron una evolución en cuanto a los hallazgos histopatológicos de SK: persistían áreas típicas de SK nodular, y entremezcladas con estas, se observaron zonas tumorales con aspecto de linfangioma. Estas áreas linfangiomatosas estaban constituidas por espacios vasculares ectásicos, con una dilatación irregular, en dermis reticular, revestidos por células endoteliales con moderada atipia citológica, en mayor número y tamaño que los vasos linfáticos normales (fig. 2). El estudio inmunohistoquímico mostró una intensa positividad para CD34. La tinción con el anticuerpo para virus herpes tipo 8 (HHV-8) marcó los núcleos de las células endoteliales que revestían las áreas de linfangioma (fig. 2C). La tinción con el marcador de endotelio linfático podoplanina (D2-40) también fue positiva y marcó las células endoteliales (fig. 2D). Con estos hallazgos se realizó el diagnóstico de sarcoma de Kaposi a tipo linfangioma (SKTL). Siete meses después de finalizar el último ciclo de tratamiento quimioterápico con doxorrubicina, hace un año, la paciente presentó una grave recidiva local multinodular, ulcerada, en ambas piernas, más marcada en el muslo derecho, que además presentaba un intenso linfedema (fig. 1C). Fue tratada con radioterapia, un quimioterápico de segunda línea (taxol) y exhaustivas curas locales. Actualmente las lesiones permanecen ulceradas y se ha estabilizado su tamaño. La paciente sigue controles periódicos y no ha presentado extensión sistémica de su enfermedad.
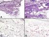
A: Aspecto inicial de la lesión en la cara flexora del antebrazo. Placa eritematosa-violácea mal delimitada, de tacto blando y depresible.
B: Lesión del antebrazo en el momento de la cuarta recidiva, hace 3 años. Placa marrón-eritematosa de bordes mal definidos y tacto indurado.
C: Lesión del muslo derecho en la última recidiva, hace 6 meses. Tumoración multinodular de superficie ulcerada y aspecto carnoso.
A: Tumoración dérmica mal delimitada constituida por amplios espacios vasculares. (hematoxilina-eosina x10).
B: Luces vasculares dilatadas dispuestas entre los haces de colágeno, revestidas por un endotelio plano de aspecto benigno, sin atipia nuclear, pleomorfismo celular ni mitosis. (hematoxilina-eosina x100).
C: Los núcleos de las células endoteliales, que revestían las luces de las áreas a tipo linfangioma, se tiñeron con el marcador inmunohistoquímico para herpes virus tipo 8 (x200)
D: Positividad para podoplanina en las células endoteliales (x200).
El SKTL fue descrito inicialmente en 1957 por Ronchese y Kern1, aunque no fue hasta 1979 cuando Gange y Wilson Jones caracterizaron histológicamente esta entidad2. Se trata de una variante histopatológica muy infrecuente de SK. Supone menos del 5% de todos los casos de SK y puede aparecer en todos los subtipos epidemiológicos de este tumor3–5.
Clínicamente, la presencia de lesiones vasculares a tipo ampolla ha sido descrita como un hallazgo característico de esta entidad, aunque puede mostrarse con cualquiera de las formas de presentación de un SK típico1–7.
Histológicamente, a diferencia del SK típico, en la variante tipo linfangioma no es frecuente observar depósitos de hemosiderina. Tampoco suelen existir hematíes extravasados, ni presentes en el interior de las luces vasculares, y las células fusiformes suelen ser muy escasas, lo que contribuye a la apariencia linfangiomatosa de las lesiones. Las áreas linfangiomatosas suelen constituir un hallazgo focal dentro de un SK típico. Así pues, la presencia de áreas típicas de SK sería un dato fundamental para orientar el diagnóstico4. Sin embargo, existen SKTL descritos sin áreas de SK típico por lo que en estos casos el diagnóstico diferencial con otros tumores vasculares benignos y malignos es mucho más complejo y debe incluir entidades como el linfangioendotelioma benigno, el hemangioendotelioma de células fusiformes, el angiosarcoma de bajo grado, el hemangioendotelioma retiforme y el hemangioma en tachuela2,8,9. En estos casos, el estudio inmunohistoquímico con anticuerpos frente al HHV-8 juega un papel fundamental para establecer el diagnóstico definitivo6,9,10.
La histogénesis del SK ha sido un tema controvertido. Se ha debatido mucho sobre el origen sanguíneo o linfático de sus células endoteliales. En el caso concreto del SKTL, los hallazgos histológicos sugieren su origen a partir de células endoteliales linfáticas, tal y como sugirieron Gange y Wilson Jones en su descripción inicial2. Esta apreciación ha sido apoyada por los recientes hallazgos inmunohistoquímicos que demuestran, como sucedía en nuestro caso, una intensa expresión en las células neoplásicas de diferentes marcadores específicos de endotelio linfático. Se ha postulado que el linfedema crónico o el antecedente de radioterapia en la zona afectada pueden ser factores que favorezcan el desarrollo de lesiones de SK con un patrón histopatológico que recuerda al de un linfangioma1,5. Nuestra paciente no había sido irradiada ni presentaba linfedema crónico. Además, la lesión se localizaba en el antebrazo, y no en los miembros inferiores que es la localización descrita con mayor frecuencia para esta forma de SK.
Como conclusión, presentamos un nuevo caso de SKTL con historia previa de SK clásico histológicamente típico, que en las sucesivas recidivas desarrolló lesiones con el mismo aspecto clínico que las anteriores, pero con hallazgos histopatológicos de tipo linfangioma. Un detallado estudio histológico apoyado por determinaciones inmunohistoquímicas como el antígeno nuclear latente del HHV-8 será fundamental para establecer el diagnóstico de SKTL.




