Cualquier material (vivo o no) introducido en el cuerpo humano representa un cuerpo extraño y nuestro organismo responde como tal mediante mecanismos de defensa. Aunque una amplia definición incluiría también los microorganismos que provocan una respuesta inmunitaria, generalmente denominamos cuerpos extraños a aquellos compuestos inorgánicos o materiales orgánicos de alto peso molecular que resisten a la degradación de las células inflamatorias1. Una de las vías de entrada de estas sustancias es la iatrogénica mediante procedimientos quirúrgicos, como las reacciones a cuerpo extraño por material de sutura2.
Se presenta el caso de un varón de 87 años de edad con antecedentes de carcinoma de próstata, fibrilación auricular, hipertensión arterial y bronquitis crónica, que 30 años atrás fue intervenido por un proceso neoplásico maligno catalogado en su hospital de origen como linfoma NK nasal, del que no disponemos de información adicional. En marzo de 2010 consultó por presentar un elemento excrecente, de 5 meses de evolución, en el puente nasal, sobre una cicatriz antigua. A la exploración se observó una placa eritematosa, perlada, de 1,5cm de diámetro máximo que se adhería a plano profundo (fig. 1) y en la dermatoscopia presentaba telangiectasias ramificadas y áreas azul-grisáceas.
Con la sospecha clínica de carcinoma basocelular, y para descartar una posible recidiva del proceso linfoproliferativo, se realizó una biopsia de la lesión que nos reveló, en el mismo acto quirúrgico, la presencia de un alambre de sutura de acero inoxidable (fig. 1).
Se reinterrogó al paciente que relató que en una de las intervenciones previas, y para reconstruir la anatomía nasal, se realizó un injerto con hueso propio de la cadera. Realizamos un estudio radiográfico que evidenció la presencia de otro alambre de sutura que servía para fijar una estructura ósea anómala que correspondía al injerto de cadera utilizado para la reconstrucción nasal (fig. 2).
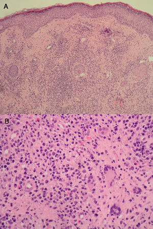
El estudio histológico puso de manifiesto la presencia de un infiltrado inflamatorio difuso en la dermis compuesto predominantemente por células plasmáticas, linfocitos y ocasionales células gigantes multinucleadas (fig. 3). No existía afectación epidérmica ni tampoco se observaron granulomas bien constituidos. La celularidad linfoide no mostraba atipia y las técnicas de inmunohistoquímica descartaron la posible recidiva de una neoplasia linfoide. La biopsia, con la eliminación del alambre y sutura directa, supuso la resolución del cuadro.
El acero inoxidable es un material lo suficientemente fuerte, flexible, dúctil y biocompatible como para realizar la mayoría de los implantes en cirugía maxilofacial3. Además es barato y fácil de manipular, por lo que ha sido utilizado frecuentemente en forma de agujas, alambres y placas en la cirugía reconstructiva de la región facial. Actualmente ha sido sustituido por otros materiales, como los implantes de titanio4.
La reacción a cuerpo extraño por alambre de acero inoxidable es poco frecuente. Hay algunos casos descritos asociados a la degradación del alambre utilizado para la reconstrucción de esternotomías5. En estos la reacción aparecía en los meses posteriores a la intervención y los pacientes consultaban por dolor torácico atípico.
La aparición de la reacción 30 años después de la introducción del alambre es también infrecuente, y no se explica con los antecedentes del paciente, ya que no hubo ningún traumatismo ni manipulación reciente en la zona. Además el paciente no utilizaba gafas ni mascarilla de oxígeno. Un caso de reacción retardada similar fue descrito por Surov et al en 20066. Estos autores presentaron a un varón de 84 años que, 60 años después de haber sido herido en el hombro por una granada en la Segunda Guerra Mundial, desarrolló una tumoración en la zona causada por una reacción a cuerpo extraño por los fragmentos de acero de dicha arma.
En conclusión, se describe una reacción a cuerpo extraño por alambre de acero inoxidable tres décadas después de su implantación. En este caso la lesión simulaba un carcinoma basocelular. La excepcionalidad del proceso, 30 años después del implante, sin traumatismo desencadenante previo, justifica esta presentación. La reacción a cuerpo extraño ha de incluirse siempre en el diagnóstico diferencial de cualquier proceso cutáneo que se desarrolle sobre una cicatriz quirúrgica, aunque este aparezca muchos años después de la intervención.





