La enfermedad de Fox-Fordyce (miliaria apocrina) es una enfermedad inflamatoria infrecuente de las glándulas apocrinas, caracterizada por presentar pápulas pruriginosas foliculares distribuidas en áreas corporales con abundancia de las mismas. Presentamos un caso de enfermedad de Fox-Fordyce (EFF) con afectación clínica extensa e infrecuente de la región torácica y abdominal, con confirmación histopatológica.
Se trata de una mujer de 39 años, remitida por una erupción asintomática desde hacía 2 años. No presentaba antecedentes médicos personales o familiares de interés. Las lesiones se habían iniciado en la región preesternal y se habían ido extendiendo por el abdomen hacia el pubis progresivamente. Las lesiones eran pápulas múltiples milimétricas eritemato-amarillentas no confluyentes localizadas en ambas mamas, en la región torácica inferior y en el abdomen fundamentalmente, hasta el pubis (fig. 1). No presentaba afectación en las axilas, ni en la región areolar o genital.
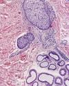
El estudio histopatológico de una pápula localizada en la región preesternal inferior reveló la presencia de dilatación y taponamiento hiperqueratósico del infundíbulo piloso, que se encontraba circundado por abundantes histiocitos espumosos (macrófagos xantomizados) (fig. 2), una respuesta inflamatoria crónica linfocitaria perianexial de leve a moderada intensidad y grupos glandulares apocrinos entre la dermis reticular y la hipodermis, con tendencia a la dilatación quística (fig. 3).
En los estudios complementarios realizados, que incluyeron una analítica y un estudio hormonal básico con niveles hormonales de testosterona, dehidroepiandrosterona sulfato, progesterona, estradiol, hormona luteinizante y folículo estimulante no se encontraron alteraciones relevantes.
Se propusieron tratamientos tópicos con tretinoína, corticoides y clindamicina sin evidencia de mejoría.
La EFF fue descrita por primera vez por los doctores Fox y Fordyce en 19021. Se trata de una dermatosis infrecuente, que afecta preferentemente a mujeres de edades comprendidas entre los 13 y 35 años. Su etiopatogenia es desconocida, habiéndose postulado la influencia de ciertos factores genéticos, endocrinos, ambientales o metabólicos2. El taponamiento del conducto apocrino en su entrada al infundíbulo folicular parece ser el factor más importante en el desarrollo de la enfermedad. La obstrucción provocaría la retención de la secreción y su posterior extravasación, tanto al infundíbulo como a la dermis perinfundibular, lo que originaría una respuesta inflamatoria secundaria, constituida en su mayoría por macrófagos3.
El cuadro clínico se caracteriza por la presencia de múltiples pápulas foliculares blanco-amarillentas que se distribuyen de manera simétrica en localizaciones típicas con abundantes glándulas apocrinas4. Las lesiones suelen ser pruriginosas y empeoran durante los meses de verano y en situaciones de estrés emocional. En las áreas afectadas se observa escaso crecimiento de vello y ausencia de sudoración.
La EFF se localiza característicamente en las áreas corporales ricas en glándulas apocrinas (axilas, areolas mamarias, región periumbilical, monte de Venus, labios menores, escroto, prepucio, región perianal, borde libre de los párpados y conducto auditivo externo), aunque estas pueden encontrarse en muy escaso número en cualquier territorio cutáneo, principalmente en el tronco y en la cabeza5. Sin embargo, existen escasas referencias de localización de la enfermedad fuera de los territorios mencionados. Ha sido descrita de forma inusual en la región preesternal, en la región periumbilical y en la cara interna de los muslos6,7.
Los hallazgos histopatológicos que definen la EFF son variados, habiéndose descrito: la dilatación e hiperqueratosis del infundíbulo folicular, la espongiosis y la disqueratosis del epitelio infundibular, la degeneración vacuolar de la unión dermoepidérmica, la presencia de un infiltrado inflamatorio linfocitario perianexial, la paraqueratosis en el epitelio infundibular en forma de laminillas cornoides, la dilatación de las glándulas apocrinas y la xantomatosis perifolicular, que es considerada como uno de los hallazgos más característicos3,8,9.
En general el tratamiento de la EFF es poco satisfactorio y la enfermedad suele seguir un curso crónico6. Entre las modalidades terapéuticas escogidas para esta entidad se han utilizado corticoides tópicos e intralesionales, retinoides tópicos o sistémicos, antibióticos tópicos como la clindamicina, anticonceptivos orales y el pimecrolimus tópico10, con resultados variables. En los casos más recalcitrantes han sido utilizadas otras opciones quirúrgicas como la electrocoagulación, la exéresis o la liposucción.
Como conclusión, creemos conveniente incluir la EFF en el diagnóstico diferencial ante una erupción progresiva de pápulas eritemato-amarillentas localizadas en la región torácica o abdominal. La correlación clínico-patológica es fundamental para diferenciarla de otras entidades descritas con más frecuencia en estas localizaciones, como son los siringomas, los esteatocistomas múltiples o el liquen nitidus, con los que puede confundirse clínicamente.





