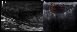
Un varón de 51 años, fumador y con antecedentes personales de diabetes mellitus tipo 2. Fue derivado al servicio de dermatología por un nódulo doloroso y supurativo inguinal izquierdo de un año de evolución resistente a múltiples tratamientos antibióticos prescritos por el médico de atención primaria. El examen físico mostró una lesión subcutánea eritematosa con áreas de supuración en zona inguinal inferior izquierda que se extendía a la palpación hacia la zona perineal (fig. 1). Además, asociaba 3 lesiones clínicamente compatibles con condilomas acuminados en la región perianal. Con el diagnóstico clínico de hidradenitis supurativa (HS) se realizó una ecografía con sonda lineal de 18MHz que demostró la presencia de un tracto fistuloso, con áreas de colección líquida, junto a una vascularización intensa en el doppler (fig. 2). Dada la localización y profundidad de la lesión, el paciente fue remitido a la consulta de proctología del área de cirugía para la extirpación completa de la lesión. El examen histológico mostró cambios compatibles con HS y un carcinoma escamocelular (CEC) bien diferenciado sobre el trayecto fistuloso que se encontraba cercano al límite profundo de resección. No se observó invasión vascular ni infiltración perineural (figs. 3A y B). Se decidió ampliar los márgenes quirúrgicos sin encontrarse evidencia de neoplasia residual, pero con presencia de focos sugestivos de infección viral (fig. 3C). La tinción inmunohistoquímica con p16 fue intensamente positiva (fig. 3D). Se investigó la presencia del virus del papiloma humano (VPH) mediante PCR y genotipado por hibridación in situ sobre microarrays de tejido incluido en parafina, siendo el resultado positivo a genotipo 6 (considerado de bajo riesgo), el cual se demostró también en los condilomas acuminados perianales. Se realizó analítica con serología hepática y VIH negativas. Después de 12 meses de seguimiento clínico y de imagen (TAC y RMN pélvica), el paciente no muestra signos de recidiva local ni de metástasis.
Durante las últimas décadas se han descrito casos de transformación carcinomatosa en HS ubicadas en la región perineal, perianal y glútea, destacando la revisión de Lagoviez et al., donde informan de 13 nuevos casos e investigan la presencia del VPH en 8 muestras histológicas1. En la literatura científica se informa de un predominio masculino, lo cual es lógico dado que se trata de una localización de HS típica en varones2.
Una de las principales cuestiones que suscita actualmente esta enfermedad es si la degeneración maligna ocurre más frecuentemente en la región perianal o glútea debido a la infección por el VPH en dichas áreas. Este virus parece estar implicado en la patogénesis del CEC por expresión oncogénica3. También se ha constatado en el desarrollo de otros tumores y neoplasias intraepiteliales en la región anogenital como en el pene, el escroto y la zona anal, vulvar y vaginal4,5. Hace 20 años, Li et al. fueron los primeros en plantear la hipótesis de que el VPH podría ser un importante factor contribuyente para el CEC que surge en la HS, pero no realizaron ningún análisis histopatológico6. No obstante, posteriormente en el estudio de Lagoviez et al.1 investigan en 8 muestras tumorales anogenitales la presencia del VPH mediante PCR, siendo positivo en todos ellos, tanto genotipos de bajo riesgo (VPH tipo 6), como de alto riesgo (VPH-16 y 68). Recientemente se ha demostrado que incluso los genotipos del VPH de bajo riesgo per se tienen la capacidad de implicarse en el desarrollo de carcinomas escamosos anogenitales7.
Flores et al.8 observaron una correlación positiva significativa en la carga viral del VPH-16 entre los lugares de infección cercanos, tales como el canal anal y la zona perianal o el área perianal y el escroto, o los sitios en contacto regular entre sí en posición de reposo. Esto sugiere que las áreas genitales no infectadas previamente por el VPH pueden ser inoculadas por infecciones existentes en sitios anatómicos proximales a través del contacto directo y facilitados por factores ambientales tales como la humedad, la temperatura y posiblemente la mala higiene.
Por otra parte, ante la irrupción de los tratamientos anti-TNF en el marco de la HS, diferentes autores recomiendan investigar la presencia de lesiones sugestivas del VPH en dichas áreas, ya que se han descrito incluso casos de muerte debido al desarrollo de CEC tras el inicio de esta terapia1,9.
Tanto la ecografía como la RMN pueden ser muy útiles en el establecimiento de la verdadera extensión anatómica de la enfermedad antes del tratamiento quirúrgico10. La extirpación amplia de la lesión se considera el tratamiento estándar. El CEC que surge en áreas de inflamación crónica debido a la HS es frecuentemente de tipo bien diferenciado. No obstante, a pesar de este teórico buen pronóstico histológico se puede observar un rápido crecimiento, agresividad local, metástasis tempranas y elevada mortalidad1.
Nuestro caso clínico apoya el papel relevante del VPH en el desarrollo del CEC en pacientes con HS en las áreas inguinal, perineal y perianal.
Conflicto de interesesLos autores declaran no tener ningún conflicto de intereses.





