Varón de 22 años que consultó al servicio de dermatología por una lesión localizada en región escapular derecha, presente desde el nacimiento, dolorosa en ocasiones y sangrante con el roce. Refería que había sido tratada con crioterapia en la adolescencia. A pesar de ello, la lesión persistía y había aumentado de tamaño progresivamente.
Exploración físicaLa lesión estaba constituida por varias pápulas y tumoraciones, dispuestas linealmente en la región escapular derecha, de color rosado, de diferentes tamaños entre 0,5 y 3cm de diámetro, y base pediculada. Los elementos de forma esférica estaban cubiertos de piel lisa y brillante y, sobre muchos de ellos, se desarrollaba una capa de hiperqueratosis marcada, amarillenta y negruzca, de aspecto puntiagudo y crateriforme (fig. 1). La dimensión global de la lesión era de 9,5×3cm.
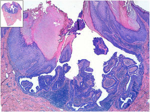
HistopatologíaEl examen histológico mostró numerosas formaciones quísticas invaginadas desde la epidermis y varias lesiones papilomatosas exofíticas cubiertas por epitelio escamoso con hiperqueratosis. La zona más profunda estaba constituida por un epitelio de doble capa (la más interna formada por células cilíndricas y la más externa por células mioepiteliales cuboidales). El estroma subyacente era rico en células plasmáticas (fig. 2).
¿Cuál es su diagnóstico?
DiagnósticoSiringocistoadenoma papilífero (SCAP) lineal congénito.
Evolución y tratamientoDebido a las molestias que le ocasionaba al paciente, se realizó extirpación quirúrgica mediante afeitado y electrocoagulación, sin recidiva después de 2 años.
ComentarioEl SCAP es un tumor anexial hamartomatoso benigno infrecuente1. Aunque su patogenia no está clara, se cree que deriva de células pluripotenciales con diferenciación ecrina y, más frecuentemente, apocrina2.
Es un tumor propio de la infancia o adolescencia; de hecho, está presente desde el nacimiento en la mitad de los casos3. Su presentación clínica es variable: desde una pápula solitaria (lo más frecuente) a varios nódulos agrupados linealmente, como el caso presentado, y que con frecuencia tienen el centro hiperqueratósico. Durante la adolescencia tiende a aumentar de tamaño y a hacerse más verrugoso4.
Las localizaciones más comunes son el cuero cabelludo, la cara y el cuello (75%)5. También han sido descritos sitios más infrecuentes como abdomen, brazo, axila, mama, espalda, nalga y vulva. Solo hay 4 casos publicados localizados en la espalda6.
El SCAP puede aparecer asociado a otros tumores benignos anexiales como el adenoma apocrino tubular, el hidradenoma papilífero y el tricoblastoma2. En el 30% de los casos se originan en el seno de un nevo sebáceo de Jadassohn4. Se ha descrito la aparición de un carcinoma basocelular en el 10% de los casos. Otras neoplasias malignas relacionadas más inusuales son el carcinoma de células escamosas y el siringocistoadenocarcinoma papilífero3. La ulceración y/o un crecimiento rápido son indicativos de transformación maligna1.
El diagnóstico diferencial lo tenemos que realizar con el carcinoma basocelular, escamoso o con una lesión quística1. La biopsia es necesaria para confirmar el diagnóstico. El estudio con hematoxilina-eosina revela unas proyecciones epiteliales hacia la dermis con estructuras tubulares que conectan con la superficie y están constituidas por una doble capa de células. La más externa formada por células cuboidales y la más interna por células cilíndricas. El estroma es rico en células plasmáticas2.
El tratamiento se basa en la extirpación quirúrgica, aunque el láser CO2 es una buena alternativa para sitios desfavorables para la cirugía.
Conflicto de interesesLos autores declaran no tener ningún conflicto de intereses.




