INTRODUCCIÓN
En los últimos años está acudiendo un número creciente de pacientes con lesiones melanocíticas premalignas y malignas a nuestras consultas, afortunadamente con diagnósticos cada vez más precoces en la mayoría de los casos. Ello se debe a la mejora de nuestra capacidad diagnóstica pero también a la progresiva sensibilización de la población hacia la prevención de los tumores pigmentarios. Las expectativas de éxito terapéutico van aumentando de forma paralela a la precocidad diagnóstica, y esto ha llevado a investigar nuevas modalidades terapéuticas que superen las limitaciones que a veces presenta la cirugía de estas lesiones.
Existen varios trabajos que sugieren la eficacia y seguridad del interferón alfa-2b (IFN-2b) intralesional en el lentigo maligno1-3. Este fármaco se ha utilizado principalmente en lesiones cuyo tratamiento quirúrgico está contraindicado. Regiones corporales como la cara y las zonas acrales plantean con frecuencia problemas importantes en la reparación quirúrgica, y podrían beneficiarse de tratamientos como el IFN.
DESCRIPCIÓN DEL CASO
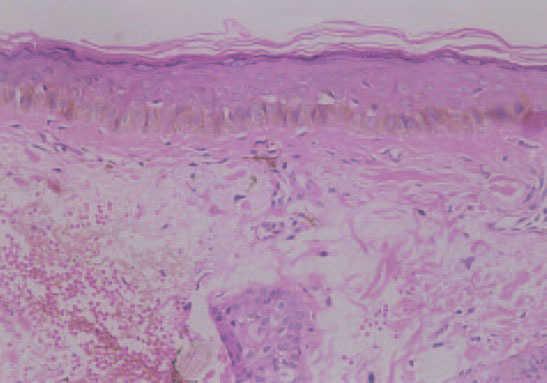
Varón de 62 años, con el único antecedente de una bronquitis crónica leve tratada con broncoinhaladores. Consultó por presentar una lesión pigmentada de 6 años de evolución, asintomática, de crecimiento progresivo, que se extendía desde el ángulo externo del ojo izquierdo hacia la mejilla. En la exploración se observó una mácula discrómica de 2 cm de diámetro, de contorno geográfico y límites netos, que afectaba a ambos párpados del ojo izquierdo en su canto externo, quedando a 1 mm del borde libre palpebral (fig. 1). La biopsia de la lesión mostró melanocitos atípicos aislados en la capa basal de la epidermis y alguno de aspecto pagetoide en los estratos más altos (fig. 2).
Fig. 1.—Aspecto clínico de la lesión antes del tratamiento.
Fig. 2.—Aspecto histológico de la lesión previo al tratamiento. (Hematoxilina-eosina, ×80.)
Tras informar al paciente de las ventajas y desventajas de las distintas opciones terapéuticas, y tras obtener su consentimiento, se instauró tratamiento con IFN-2b intralesional. Previamente se efectuó una analítica completa y un electrocardiograma, que fueron normales, y una radiografía tórax que demostró signos compatibles con una enfermedad pulmonar obstructiva crónica leve. Se administraron 3 millones de U de IFN, tres veces por semana durante 6 semanas, hasta un total de 18 sesiones (54 millones de U).
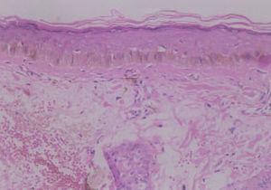
Tras las tres primeras dosis el paciente presentó eritema y cierto edema en la zona, que se siguieron de ligera descamación y pérdida del pigmento. La inflamación remitió de forma progresiva en pocas semanas una vez concluido el tratamiento. En la revisión programada 2 meses después de finalizar se observó la resolución de la lesión. Se realizó un control histológico, que incluyó una pequeña pápula persistente de tonalidad marrón clara localizada lateralmente a 1 cm del canto externo del ojo, que demostró únicamente un infiltrado linfohistiocitario en dermis superior con mínima melanofagia e incontinencia de pigmento. El paciente no ha presentado recidiva tras 24 meses de seguimiento (fig. 3).
Fig. 3.—Aspecto clínico de la lesión un año después del tratamiento con interferón intralesional.
DISCUSIÓN
El lentigo maligno o melanosis de Dubreuilh es un melanoma in situ que asienta preferentemente en zonas de la piel que han sufrido un daño solar crónico4. La cirugía oncológica ha sido clásicamente considerada su tratamiento de elección, aunque la idoneidad de ésta ha sido debatida recientemente, ya que la exéresis completa de la lesión con frecuencia obliga a eliminar una cantidad importante de tejido sano5. El imiquimod es un nuevo inmunomodulador tópico que también se ha utilizado en el tratamiento del lentigo maligno6.
El IFN-2b se ha utilizado de forma adyuvante en pacientes con melanoma en remisión aparente pero con alto riesgo de recidiva, así como en diversos protocolos terapéuticos en el melanoma diseminado7,8. Su eficacia es moderada en el mejor de los casos, y su toxicidad es elevada cuando se emplea en dosis altas por vía sistémica. El tratamiento intralesional puede lograr mejores concentraciones locales del medicamento con menores efectos secundarios generales, por lo que se ha empleado en casos seleccionados de melanomas primarios y diseminados, comprobándose la desaparición de las lesiones tratadas en un número significativo de casos, incluyendo pacientes con lentigo maligno1-3.
Los casos publicados hasta la fecha de lentigos malignos tratados con IFN1-3 (tabla 1) demuestran una excelente respuesta a este tratamiento, utilizando dosis moderadas (dosis totales acumuladas entre 27 y 87 millones de U para lesiones de diámetro 2,5 cm o área 4,9 cm2). El resultado estético óptimo y su toxicidad mínima, por lo que el IFN podría tener un papel relevante en el tratamiento del lentigo maligno. Sin embargo, el número de casos publicados es aún pequeño, y a excepción de la serie española de Cornejo et al2, que cuenta con 11 lesiones en 10 pacientes, el resto son casos aislados. Chanco Turner et al1 describen el tratamiento de cinco lesiones en un mismo paciente. No puede descartarse que la duración del tratamiento deba ser individualizada en función de la respuesta clínica observada en cada caso. Existe consenso en admitir como prueba final de la curación la desaparición histológica del tumor.
TABLA 1. CASOS PUBLICADOS DE LENTIGO MALIGNO TRATADOS CON INTERFERÓN INTRALESIONAL
Curiosamente, los hallazgos microscópicos encontrados en las lesiones tratadas con IFN son muy similares a los observados en los melanomas con regresión espontánea. La persistencia de melanoma in situ en las zonas no infiltradas de las lesiones1 apoya la teoría de que la acción antitumoral del IFN es notablemente dependiente de la concentración que alcance en los tejidos, de modo que por debajo de un determinado umbral de concentración la cascada de activación inmunitaria celular no se pondría en marcha9-11.
El análisis de los casos previamente publicados revela que la velocidad de respuesta de las lesiones tratadas es variable (entre 2 y 5 meses), pero parece relacionarse bien con el área o la masa tumoral global. Aunque la desaparición clínica del área pigmentada no es obligada para obtener la curación2, sí es un hecho observado en la mayoría de los casos, de modo que puede tenerse en cuenta en el control evolutivo de los pacientes.
No es insignificante la toxicidad teórica del IFN in-tralesional7,8. Por otro lado, el elevado coste del tratamiento, estimado en tres o cuatro veces el coste económico de la cirugía, se debe tanto al alto precio del producto como al importante consumo de recursos, ya que cada paciente requiere por término medio unas 20 visitas para recibir un tratamiento completo.
Finalmente, debe destacarse también que el tratamiento intralesional con IFN no deja ninguna secuela local que pueda comprometer el uso y la eficacia de cualquier otra alternativa terapéutica adicional, en el caso de que no se obtenga la remisión completa de la lesión, o que se observe una recurrencia posterior.






