El síndrome del dedo azul (SDA) se define como la aparición de una coloración azul o violácea en uno o más dedos de los pies en ausencia de traumatismo, daño intenso inducido por frío o alteraciones que produzcan cianosis generalizada1.
Presentamos el caso de un varón de 46 años de edad, fumador, con antecedentes de hipertensión e hipertrigliceridemia, en tratamiento con enalapril, torasemida, diltiazem, doxazosina y gemfibrozilo. Acudió a urgencias porque los dedos de los pies “se le habían puesto azules” unas horas después de notar un dolor brusco e intenso localizado en la pantorrilla izquierda 10 días antes de la consulta.
El paciente negaba procedimientos endovasculares o quirúrgicos en los meses previos o historia de claudicación intermitente. En la exploración física los dedos cuarto y quinto del pie izquierdo tenían un tono azulado que se extendía en forma de máculas eritematovioláceas de configuración reticulada parcheada hacia el resto del pie, el tobillo y la zona distal de la pierna (figs. 1 y 2). El resto de la exploración física fue normal. Se solicitó analítica con sistemático de sangre y orina, bioquímica con ANA, anticardiolipina, complemento, Ig y radiografía de tórax que fueron normales.
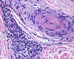
Se realizó una biopsia cutánea de una mácula azulada del pie izquierdo en la que se podían observar focos de trombosis en una arteriola de mediano calibre sin datos de vasculitis (fig. 3). La epidermis era normal. No se observaron cristales de colesterol.
Posteriormente se realizó una arteriografía en la que se observaba un flujo turbulento en la arteria poplítea, compatible con la presencia de un aneurisma de la arteria poplítea (AAP) y hallazgos normales en el resto de la exploración que incluía arterias proximales y distales.
La tomografía computarizada (TC) confirmó la presencia de un AAP de 2cm con un trombo mural y permitió descartar otras alteraciones, tales como un síndrome de atrapamiento de la arteria poplítea. La TC abdominal no mostró alteraciones y descartó, asimismo, la presencia de aneurismas aórticos.
En cuanto a la etiopatogenia del aneurisma se realizaron estudios complementarios que no fueron compatibles con el diagnóstico de síndrome de Marfan, por lo que pensamos que en nuestro paciente el origen del aneurisma sería ateromatoso.
Se realizó un by-pass poplíteo-poplíteo con vena safena interna invertida. Las lesiones cutáneas se resolvieron sin secuelas en unos días, y el paciente ha presentado buena evolución dos años después del tratamiento quirúrgico.
En 1961 Feder et al2 describieron 6 pacientes con “dedos violáceos” dolorosos de aparición entre 3 y 8 semanas después del inicio de tratamiento con cumarínicos orales. El término “síndrome del dedo azul” lo acuñaron 15 años después, en un artículo3 en el que se describen 31 pacientes con evidencia angiográfica de émbolos vasculares proximales, generalmente procedentes de las arterias femoral o poplítea, aunque también de aneurismas aórticos.
Desde la descripción inicial de 1961 se han descrito múltiples etiologías (tabla 1) que pueden dar lugar a este signo clínico, que a pesar de que siempre se ha conocido como “síndrome”, al describir una condición clínica que se puede objetivar por parte del médico, debería llamarse “signo del dedo azul”, como proponemos en el título de nuestro artículo.
Etiología del signo del dedo azul
| 1. Disminución del flujo arterial |
| 1.1. Embolismo |
| Ateroembolismo |
| Aneurismas arteriales |
| Tumor cardiaco o aórtico |
| Mixoma, angiosarcoma de la íntima de la aorta |
| Vegetaciones cardiacas |
| Endocarditis infecciosa |
| Endocarditis trombótica no infecciosa |
| 1.2. Trombosis |
| Síndrome antifosfolípido |
| Neoplasias (síndrome vascular acral paraneoplásico) |
| Púrpura trombótica trombocitopénica |
| Coagulación intravascular diseminada |
| Necrosis cutánea por anticoagulantes |
| 1.3. Trastornos que cursan con vasoconstricción |
| Acrocianosis |
| Perniosis |
| Lupus eritematoso pernio |
| Lupus eritematoso pernio familiar o síndrome de Aicardi-Goutières |
| Medicamentos que inducen vasoconstricción |
| 1.4. Inflamación infecciosa y no infecciosa |
| Sífilis |
| Infecciones purulentas |
| Enfermedad de Behçet |
| Tromboangeítis obliterante |
| Otras formas de vasculitis |
| 1.5. Otras obstrucciones vasculares |
| Vasculopatía calcificada. Calcifilaxia |
| 2. Disminución del retorno venoso |
| 2.1. Trombosis venosa extensa |
| Flegmasia cerulea dolens y gangrena venosa |
| 3. Alteración en la circulación de la sangre |
| 3.1. Hiperviscosidad inducida por paraproteinemia |
| 3.2. Síndromes mieloproliferativos (policitemia vera, trombocitemia esencial) |
| 3.3. Criofibrinogenemia |
| 3.4. Crioglobulinemia |
| 3.5. Aglutininas por frío |
Adaptada de Hirschmann JV et al1.
Nuestro paciente presentó una disminución aguda de la perfusión arterial debido a la oclusión de los vasos arteriolares por émbolos originados en un trombo mural en un AAP. Aunque se trata de una patología poco común, son los aneurismas arteriales periféricos más frecuentes, y hasta en el 45% de los pacientes se asocian con enfermedad aneurismática en cualquier otra localización anatómica4,5. Por este motivo es necesario realizar pruebas de imagen que descarten la presencia de otros aneurismas.
La complicación más temida de los AAP es la aparición de isquemia aguda distal en la extremidad tras un fenómeno trombótico en el seno del aneurisma. Esta isquemia puede afectar a la pierna desde la rodilla si la trombosis ocluye la totalidad de la arteria poplítea. Si el fenómeno trombótico libera microémbolos distales, que bloquean arterias o arteriolas periféricas, se producirá una afectación en zonas más limitadas de la extremidad, dando lugar, entre otros, a un “signo del dedo azul”.
Al tratarse de un signo clínico que tiene una presentación común en la mayoría de los casos, y no ser específico, el diagnóstico etiológico de la entidad que produce el cuadro se basará en la realización de una historia clínica detallada y unas pruebas complementarias orientadas.
El diagnóstico precoz es fundamental, ya que dependiendo de la causa del signo del dedo azul puede estar en peligro la vida del paciente o, al menos, su extremidad.
Presentamos un paciente con signo del dedo azul por embolismo desde un AAP, causa poco descrita del síndrome6,7 o, como se propone, signo del dedo azul. En nuestro caso el diagnóstico precoz contribuyó a la buena evolución clínica.






