INTRODUCCION
Los seudoquistes auriculares son una patología poco frecuente del pabellón auricular. Generalmente se trata de lesiones asintomáticas, unilaterales, más frecuentes en varones de 30 a 40 años. Están constituidos por una cavidad intracartilaginosa sin revestimiento epitelial, de contenido líquido amarillento. Su mecanismo de producción no está aclarado. Planteamos un acercamiento diagnóstico y terapéutico poco agresivo y muy eficaz en un paciente que presentaba lesiones bilaterales.
CASO CLINICO
Un varón de 30 años refería la aparición de lesiones asintomáticas en el tercio superior de ambos pabellones auriculares desde hacía unos 6 meses. No existían antecedentes traumáticos ni uso de cascos de forma habitual. A la exploración se observaban lesiones simétricas en tercio superior de ambos pabellones auriculares, elevadas, de superficie lisa, con piel suprayacente de aspecto normal, que fluctuaban a la presión. Su tamaño era de aproximadamente 0,5 cm.
Se realizó inicialmente una punción-aspiración con aguja fina (PAAF), obteniéndose líquido amarillento sin contenido epitelial. De la biopsia de ambas lesiones se obtuvo idéntico resultado: edema pericondral con mínimo infiltrado perivascular linfocitario y una cavidad intracartilaginosa sin revestimiento epitelial.
En ambos pabellones auriculares se realizó biopsia con sacabocados (punch) de 4 mm, drenaje del contenido líquido y sutura con seda dejando compresión durante 24 h. El resultado fue satisfactorio, sin que se observara recidiva al año de procedimiento (figs. 1-3).
Fig. 1.--Seudoquiste pabellón auricular derecho.
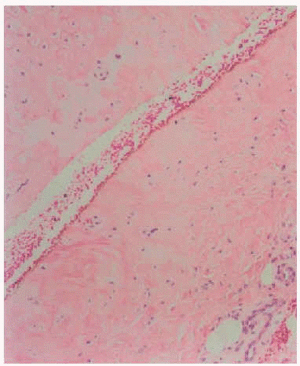
Fig. 2.--Histología correspondiente a la figura 1, que encuentra una seudocavidad intracartilaginosa.
Fig. 3.--Biopsia con sacabocados (punch) de seudoquiste en pabellón auricular izquierdo.
DISCUSION
Los seudoquistes auriculares son una enfermedad poco frecuente, generalmente unilateral, cuyo mecanismo etiopatogénico se desconoce. El primer caso fue descrito por Engel en 1966, siendo la mayoría de los pacientes descritos chinos, aunque hay casos publicados en todas las razas1-4. Se ha hablado de la existencia de una malformación embriológica de la oreja, por lo que la lesión se produciría en el lugar de mínima resistencia. La posibilidad de que las enzimas lisosomales de los condrocitos sean el desencadenante no se ha podido demostrar. La presión como desencadenante de necrosis isquémica parece clara en algunos pacientes, pero no en otros, como en nuestro caso5,6. Es excepcional que las lesiones sean bilaterales7.
El diagnóstico diferencial se puede plantear con tumores benignos (encondroma, fibroma), lesiones vasculares (hemangioma, hematoma), tumores malignos (angiosarcoma, condrosarcoma), lesiones quísticas (quistes de inclusión epidérmica, quistes dermoides), enfermedades inflamatorias (celulitis, oreja en coliflor, condrodermatitis nodular, pericondritis, policondritis recidivante), enfermedades metabólicas y sistémicas (nódulo reumatoideo, tofo gotoso, xantoma), seroma y otras8.
Las actitudes terapéuticas van desde intento de drenaje y vendaje comprensivo, habitualmente seguido de recidiva, hasta intervención quirúrgica con escisión de la pared anterior del seudoquiste y sutura posterior, pasando por infiltraciones con corticoides, ácido tricloroacético o tintura de yodo, con resultados variables. La tendencia actual es la de intentar tratamientos poco agresivos puesto que el resultado estético de algunas de estas técnicas puede ser malo9-11. El empleo de moldes de material sintético parece permitir buenos resultados10. La biopsia con sacabocados, permite el diagnóstico histológico y, en lesiones de pequeño tamaño, puede conseguir una resolución sencilla con un resultado cosmético satisfactorio11, como sucedió en nuestro paciente.





