INTRODUCCION
La sarcoidosis es una enfermedad multisistémica caracterizada por la presencia de granulomas no caseosos en uno o varios órganos que afecta de forma más habitual a adultos jóvenes. La etiología de la enfermedad es desconocida. Los órganos implicados con mayor frecuencia son los pulmones, ganglios linfáticos, ojos y piel. El 25 % de los pacientes con sarcoidosis tiene enfermedad cutánea. La afectación de antiguas cicatrices representa una de las formas más inusuales de sarcoidosis cutánea pero más características1.
Se describe un caso de sarcoidosis cicatrizal como forma de inicio de una sarcoidosis sistémica.
DESCRIPCION DEL CASO
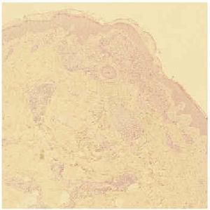
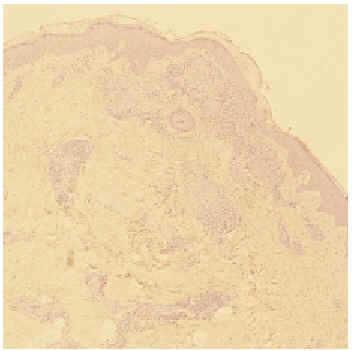
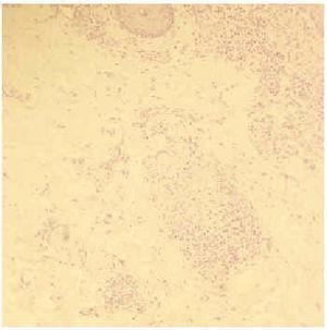
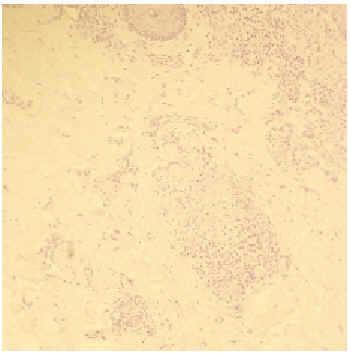
Una mujer de 56 años con antecedentes de histerectomía con doble anexectomía, cirugía de quiste de mama y quemaduras de tercer grado, por explosión de bombona de butano, en extremidades hacía 2 años. Acudió a consulta por presentar, en las cicatrices de estas quemaduras previamente estables, tumefacción con coloración eritematoviolácea y discreta sensación de quemazón al roce, de 2 meses de evolución. En la anamnesis refería sensación de astenia en los últimos meses sin otra sintomatología acompañante. A la exploración las cicatrices correspondientes a las quemaduras mostraban un aspecto hipertrófico e infiltrado, de coloración eritematoviolácea y consistencia firme, en extremidades superiores e inferiores (figs. 1-3). No existía afectación de las cicatrices secundarias a sus intervenciones quirúrgicas ni de la piel sana. El resto de la exploración física general, pulmonar y oftalmológica fue normal. En el estudio histológico de dos muestras cutáneas se observaron en dermis superficial y parte de dermis reticular, varios granulomas de células epitelioides con escasos linfocitos en la periferia y ausencia de caseificación central (figs. 4 y 5).
Fig. 1.--Placas eritematovioláceas sobre cicatrices en región pretibial.
Fig. 2.--Placas eritematovioláceas sobre cicatrices en región poplítea.
Fig. 3.--Cicatrices de aspecto infiltrado en antebrazo.
Fig. 4.--En dermis superficial y parte de dermis reticular se observan varios granulomas de células epitelioides.
Fig. 5.--Granulomas de células epitelioides con escasos linfocitos en la periferia y ausencia de caseificación central.
Pocas semanas después, las lesiones fueron extendiéndose a piel sana, alrededor de las cicatrices afectadas, y a cara y región del escote, en forma de erupción papulosa eritematoviolácea. Simultáneamente comenzó con molestias en el ojo derecho con inyección ciliar que, tras estudio oftalmológico, fue diagnosticada de uveítis anterior bilateral. Se efectuaron pruebas complementarias incluyendo hemograma, bioquímica, Mantoux, radiografía de tórax, pruebas funcionales respiratorias, radiografías de manos y ecografía abdominal, todas ellas con resultados normales. La uveítis respondió en pocos días al tratamiento con corticoides tópicos oftálmicos. Se pautó cloroquina por vía oral, 250 mg/día, y clobetasol en oclusión en cicatrices. A los 2 meses de iniciarse el tratamiento habían desaparecido las lesiones en cara y escote, y había mejorado de forma importante la afectación cicatrizal. No ha presentado recidiva de la uveítis.
DISCUSION
La afectación sarcoidea de antiguas cicatrices cutáneas es una manifestación específica, aunque poco frecuente, que representa el 1,8 % de todas las formas cutáneas de sarcoidosis2. Sin embargo, esta variedad representa la forma más común de sarcoidosis cutánea en los pacientes de Nigeria3. Se han descrito de forma más frecuente en cicatrices postraumáticas2, pero también se han observado en cicatrices secundarias a intervenciones quirúrgicas, lugares de venopunción, tatuajes, foliculitis crónicas, Kveim test y Mantoux4,5. En un mismo individuo no siempre se afectan todas las cicatrices6.
En la literatura la relación entre el granuloma por cuerpo extraño de tipo sarcoideo, habitualmente granuloma por sílice y la sarcoidosis cicatrizal es motivo de debate. En general, diversos autores consideran que el granuloma sarcoideo de cuerpo extraño no excluye en absoluto el diagnóstico de sarcoidosis cicatrizal7-13. De hecho, la existencia de un material extraño puede ser el estímulo necesario, en personas predispuestas, para la formación de granulomas en las cicatrices de pacientes con sarcoidosis. En las autopsias de estos enfermos se han encontrado partículas de sílice en pulmones y ganglios linfáticos. Así, la sarcoidosis sería una enfermedad en la cual se altera la capacidad del sistema inmunitario para reaccionar frente a material extraño y su presencia en piel u otros órganos sería el desencadenante necesario para la formación de granulomas10,11. Esto explicaría por qué es más frecuente la afectación sarcoidea por traumatismos accidentales, donde es más habitual la contaminación de las heridas, que en cicatrices secundarias a intervenciones quirúrgicas.
Los cambios en antiguas cicatrices pueden aparecer de forma temprana, antes del comienzo de la enfermedad pulmonar, o en la fase aguda, de forma paralela a las alteraciones pulmonares y a la aparición de la uveítis14. En ocasiones, coexiste con otras lesiones cutáneas de sarcoidosis15. Al contrario de lo que ocurre en estadios avanzados, la forma cicatrizal se desarrolla ante una buena inmunidad celular16. Se ha señalado que la sarcoidosis limitada a cicatrices es una variante benigna de la enfermedad17. En pacientes en remisión la exacerbación de las lesiones sobre cicatrices suele ser indicadora de reactivación de la enfermedad, por lo que puede ser útil para la monitorización de la actividad14.







