INTRODUCCION
La psoriasis pustulosa generalizada (PPG) de von Zumbusch es una variante relativamente infrecuente de psoriasis caracterizada por una erupción aguda generalizada de placas eritematosas con lesiones pustulosas estériles acompañada de fiebre y malestar general, seguida de una descamación generalizada. A pesar de que se ha descrito la presencia de ictericia colestásica en asociación con esta enfermedad en casos aislados en la literatura médica 1-8, la elevada frecuencia de alteraciones hepáticas, al menos analíticas, ha sido demostrada más recientemente 9, subrayándose la asociación entre la hepatitis colestásica clásicamente relacionada con la PPG y la colangitis neutrofílica como sustrato histopatológico. Describimos el caso de una paciente con un brote de PPG con hallazgos de colangitis neutrofílica en la biopsia hepática, realizada con motivo de la existencia de una elevación de los marcadores hepáticos de citolisis, resultando éstos ser la primera manifestación de la hepatopatía asociada a dicha enfermedad cutánea.
DESCRIPCION DEL CASO
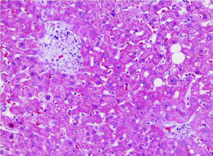
Una mujer de 38 años, con psoriasis cutánea de largo tiempo de evolución, que requirió tratamiento sistémico (psoraleno y radiación ultravioleta, PUVA) en dos ocasiones, y artropatía psoriásica tratada con corticoides orales y salazopirina, ingresó en nuestro servicio en junio de 2005 presentando una erupción cutánea pustulosa generalizada que se había iniciado 2 semanas antes en los miembros inferiores extendiéndose al tronco y a los miembros superiores. Refería igualmente cefalea, mialgias y malestar general. El inicio del episodio fue precedido por la suspensión de tratamiento con dosis altas de corticoides sistémicos que habían sido prescritos dada la afectación reumatológica. La exploración física mostró la presencia de placas eritematosas generalizadas con formación de pústulas en superficie (fig. 1) y febrícula (37,7 °C). La analítica al ingreso mostró transaminasa glutámico oxalacética (GOT) 37 U/l (N < 35), transaminasa glutámico pirúvica (GPT) 66 U/l (N < 35), gammaglutamil transpeptidasa (GGT) 16 U/l (N < 24), fosfatasa alcalina (FA) 186 U/l (N < 350) y bilirrubina 0,6 mg/dl (N < 1,2). Se inició tratamiento con acitretino por vía oral en dosis de 1 mg/kg/día. Tres días después de iniciar dicho tratamiento, los estudios analíticos mostraron GOT 114 U/l (N < 35), GPT 125 U/l (N < 35), GGT 41 (N < 24) U/l, FA 293 U/l (N < 350), bilirrubina 0,7 mg/dl (N < 1,2). Los niveles de transaminasas alcanzaron un pico a los 9 días de iniciar tratamiento con retinoides por vía oral (GOT 223 U/l, GPT 129 U/l), mientras que los marcadores analíticos de colestasis presentaron una leve elevación (GGT 127 U/l, FA 395 U/l). El tratamiento con acitretino fue interrumpido 3 días después de su inicio, procediéndose a la realización de una biopsia hepática, que mostró la presencia de un infiltrado inflamatorio neutrofílico alrededor de los conductos biliares del espacio portal (figs. 2 y 3) sin afectación de la luz de los mismos ni de los lobulillos hepáticos, sugiriendo por tanto el diagnóstico de colangitis neutrofílica. La ecografía abdominal no mostró anormalidades significativas y todas las serologías realizadas para virus hepatotropos (A, B y C) y autoanticuerpos fueron negativas. La evolución clínica tras iniciar tratamiento tópico con eosina al 2 % y emolientes fue favorable, manteniendo áreas eritematosas y descamativas, con buena respuesta clínica a cura de Goeckerman. Los niveles de transaminasas disminuyeron de forma paralela a la evolución de las lesiones cutáneas, volviendo a valores normales 2 semanas después de alcanzar el pico máximo.
Fig. 1.--La paciente presentaba placas eritematosas y lesiones pustulosas en la superficie en ambas piernas, que fueron seguidas por descamación generalizada.
Fig. 2.--El estudio histopatológico mostró un infiltrado neutrofílico en los conductos biliares de los espacios portales, sin anomalías significativas en los lóbulos hepáticos. (Masson, ×20.)
Fig. 3.--Infiltrado neutrofílico periportal, a mayor detalle. (Hematoxilina-eosina, ×40.)
DISCUSION
La toxicidad hepática en el contexto de la psoriasis es un hecho clínico clásicamente asociado a tratamientos sistémicos, principalmente retinoides y metotrexato. Dado que la PPG puede asociarse a complicaciones sistémicas como «distrés» respiratorio agudo 10 o fallo renal 3,6, el hígado puede ser también diana de las manifestaciones sistémicas de la enfermedad. La afectación hepática en el contexto de la PPG ha sido descrita en casos aislados, principalmente como ictericia colestásica 1-8. Recientemente se ha demostrado la existencia de una alta frecuencia de colestasis, al menos analíticamente manifiesta en la PPG 9, presentándose habitualmente como una elevación de al menos uno de los parámetros analíticos hepáticos, con un claro predominio de los marcadores de colestasis sobre los de citolisis. La evolución de esta afectación hepática suele ser benigna, con una disminución progresiva de las alteraciones analíticas de forma paralela a la evolución de la clínica cutánea. La imagen histopatológica hepática más frecuentemente relacionada con este hallazgo clínico es la existencia de una colangitis neutrofílica.
El acitretino y otros análogos de los retinoides han sido utilizados para el tratamiento de la psoriasis y otras alteraciones de la queratinización. Las reacciones adversas más frecuentemente descritas a las dosis habitualmente utilizadas son xerosis, queilitis, hipertrigliceridemia y leves y transitorias elevaciones de los niveles séricos de enzimas hepáticas (transaminasas, fosfatasa alcalina y bilirrubina). La hepatotoxicidad de los retinoides orales parece estar relacionada con dos mecanismos distintos 11: una hepatitis pseudoalérgica idiosincrásica que ocasionalmente puede progresar a hepatitis crónica activa o una toxicidad farmacológica dependiente de la dosis, posiblemente promotora de cirrosis hepática y probablemente favorecida por otros productos hepatotóxicos, como el alcohol o daño hepático previo (esteatosis hepática). Aunque en ensayos clínicos los retinoides orales se asociaron a alteraciones analíticas hepáticas en el 25 % de los pacientes, la existencia de graves reacciones hepatotóxicas histológicamente confirmadas ha sido descrita en pocos casos, mostrando distintas imágenes histológicas 12, incluyendo hepatitis aguda, hepatitis por hipersensibilidad a fármacos, colestasis, hepatitis crónica activa, esteatosis, fibrosis y cirrosis. Estas dos últimas sucedieron habitualmente en pacientes con hepatopatía previa, en muchos casos histológicamente confirmada, tras tratamientos prolongados con retinoides orales. En la mayoría de los casos descritos, el inicio de la enfermedad hepática se produjo entre 3 y 6 meses tras el inicio del tratamiento 12. Existen también casos descritos con desarrollo de hepatitis por retinoides en períodos tan precoces como una semana 13 o incluso 3 semanas 14 tras el inicio del tratamiento.
En nuestro caso, el punto clínico de mayor importancia fue determinar si el aumento de transaminasas fue secundario al acitretino o fue por el contrario la primera manifestación analítica de una colangitis neutrofílica en asociación con una PPG. Dado que los retinoides orales fueron suspendidos cuando se detectaron las primeras alteraciones analíticas hepáticas, el curso clínico favorable subsiguiente podría apoyar la etiología farmacológica. No obstante, la naturaleza transitoria y autolimitada de la elevación de los marcadores analíticos hepáticos también encaja con la historia natural de la colangitis neutrofílica en el contexto de la PPG. En nuestra opinión, el corto lapso de tiempo (3 días) en la aparición de las alteraciones analíticas tras el inicio del tratamiento con retinoides orales, en relación con los casos descritos en la literatura especializada, hacen poco probable el origen farmacológico. Alguno de los casos de hepatitis de inicio precoz tras tratamiento con retinoides fue descrito en pacientes que previamente habían tomado vitamina A durante varios meses 14, lo que sugiere una posible reacción de hipersensibilidad. Sin embargo, nuestra paciente no había recibido tratamiento con retinoides orales previamente y, sobre todo, la imagen histopatológica de la biopsia hepática con infiltrados neutrofílicos alrededor de los conductos biliares sin signos de reacción de hipersensibilidad apoyan firmemente el diagnóstico de hepatitis neutrofílica en relación con PPG. En todo caso, el curso clínico favorable con tratamiento exclusivamente tópico no hizo necesario reintroducir retinoides ni otra terapia sistémica.
La distinción entre hepatotoxicidad por retinoides y colangitis neutrofílica tiene implicaciones terapéuticas, dado que la posibilidad de toxicidad farmacológica obligaría a suspender el uso de retinoides y desaconsejaría el uso de estos fármacos ante eventuales nuevos brotes de PPG, donde siguen siendo una terapia de primera elección. Por el contrario, la confirmación mediante biopsia hepática de una colangitis neutrofílica es altamente sugestiva de una manifestación hepática en relación con la PPG, permitiendo mantener o reintroducir el tratamiento con retinoides en el caso de ser necesario.
Viguier et al 9 investigaron la prevalencia de alteraciones analíticas hepáticas en 22 pacientes con PPG, encontrando que 20 de ellos (90 %) presentaban al menos un parámetro analítico hepático elevado, y en 11 pacientes (50 %) estas alteraciones fueron acusadas. El parámetro más frecuentemente elevado fue la GGT (17 pacientes, 77 %) y la FA (13 pacientes, 59 %), y con menor frecuencia, la GOT y la GPT (12 pacientes, 50 %). La bilirrubina fue superior a los valores de normalidad en 8 pacientes (36 %). La mediana del valor máximo de los niveles de estos parámetros se alcanzó en el sexto día para la bilirrubina, 11.º para la FA, 15.º para la GGT y 16.º para la GPT y GOT. Nuestro caso difiere, por tanto, de los resultados descritos en esta serie y de otros casos de colangitis neutrofílica en relación con PPG, en el tipo de alteraciones analíticas hepáticas; así la mayor y más precoz elevación de los marcadores hepáticos citolíticos con respecto a los marcadores de colestasis (GGT y FA), puede aparecer de forma similar a lo que ocurre en estadios precoces en algunos pacientes con patología obstructiva de la vía biliar. Es importante tener cuenta que, mientras que las elevaciones marcadas de las transaminasas (con niveles más de 10 veces superiores a los normales) son bastante específicas de enfermedades hepáticas que cursan con intensa citolisis (hepatitis virales y tóxicas, hígado de shock, etc.), las elevaciones moderadas como en nuestro caso (menos de 10 veces los valores normales), son más difíciles de interpretar, pudiendo corresponder a una hepatitis crónica, a una hepatitis aguda de poca intensidad, a la fase de regresión de una hepatitis aguda o a un trastorno de origen biliar, como en nuestro paciente 15.
Declaración de conflicto de intereses Declaramos no tener ningún conflicto de intereses.
Correspondencia:
Miguel Cabanillas. Departamento de Dermatología.
Facultad de Medicina. San Francisco, s/n.
15782 Santiago de Compostela. España.
mejaime@usc.es
Recibido el 17 de noviembre de 2005.
Aceptado el 24 de marzo de 2006.





