INTRODUCCION
Las metástasis cutáneas aparecen hasta en el 10 % de los pacientes con neoplasia interna 1 y son el primer signo de un tumor no conocido en casi el 1 % de los casos 2. La localización acral es infrecuente y su pronóstico es muy malo. En muchas ocasiones no se sospechan inicialmente, porque se confunden con patología infecciosa o inflamatoria. Presentamos un nuevo caso de metástasis digital acral secundaria a un carcinoma de pulmón no conocido previamente.
CASO CLINICO
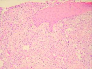
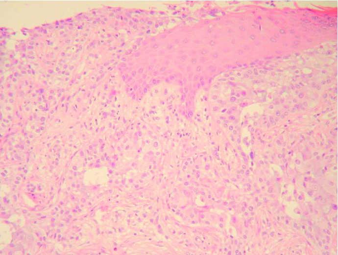
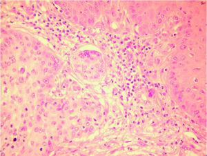
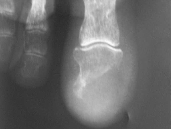
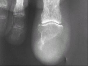
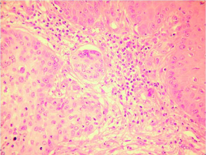
Un varón de 88 años, con antecedentes de demencia e hipertensión arterial, consultó por la aparición de una lesión muy dolorosa, de 3 meses de evolución, en el primer dedo del pie izquierdo, de rápido crecimiento. Había realizado tratamiento con antibióticos tópicos y orales sin mejorar. En la exploración se observaba una placa ulcerada, rojiza y exudativa que afectaba el extremo distal del dedo con destrucción ungueal (fig. 1). Con la sospecha de tumor maligno primario o metastásico, se realizó estudio radiológico y biopsia. En la radiografía se observaba una lesión lítica que destruía totalmente el extremo de la falange distal del primer dedo respetando la articulación interfalángica, apoyando el diagnóstico de un tumor maligno (fig. 2). En el estudio histológico, la epidermis estaba ulcerada parcialmente y a nivel de la dermis se evidenciaba una proliferación de células neoplásicas de aspecto epitelial, con abundantes mitosis y atipia nuclear (figs. 3 y 4). Algunas de estas células eran positivas con la tinción con ácido peryódico de Schiff (PAS). La tinción con citoqueratinas fue positiva. Ante la posibilidad de que se tratara de una metástasis acral, se realizó tomografía computarizada (TC) toracoabdominopélvica en la que se objetivó una gran tumoración de más de 7 cm de diámetro en el lóbulo inferior izquierdo, un nódulo de 1 cm en el lóbulo posterior derecho compatible con metástasis y adenopatías hiliares. El estudio abdominopélvico fue normal. Con estos datos se realizó el diagnóstico de carcinoma de pulmón con metástasis digital acral. Debido al intenso dolor que provocaba la metástasis se amputó el primer dedo del pie. El paciente falleció a las pocas semanas.
Fig. 1.--En la exploración se observa una tumoración carnosa, rojiza y exudativa que afecta el extremo distal del dedo con destrucción ungueal.
Fig. 2.--Radiografía del dedo afectado en la que se observa osteolisis de la falange distal sin reacción perióstica asociada.
Fig. 3.--En la biopsia cutánea se observa una epidermis ulcerada y una proliferación de células neoplásicas de estirpe epitelial en la dermis. (Hematoxilina-eosina, ×100.)
Fig. 4.--A mayor aumento se evidencian abundantes figuras de mitosis y atipias celulares. (Hematoxilina-eosina, ×200.)
DISCUSION
Las metástasis localizadas en la región distal de los dedos son muy poco frecuentes. En la revisión de metástasis acrales realizada por Cohen 3, con 133 casos, éstas representan el primer signo de una neoplasia interna no conocida en casi la mitad de los pacientes a diferencia de las metástasis cutáneas en otras localizaciones que suponen el primer signo en aproximadamente el 1 % 2. Los tumores primarios más frecuentemente implicados en las metástasis acrales son el carcinoma de pulmón (41 % de los casos), de riñón (11 %) y de mama (9 %). Otros primarios menos frecuentes son carcinomas del tracto gastrointestinal, de útero, testículos, ovario, laringe, cavidad oral, parótida, condrosarcomas y melanoma. Según la localización, cuando la metástasis afecta la falange distal de los dedos de las manos la causa más frecuente es el carcinoma de pulmón y en los pies, el carcinoma renal y de hipofaringe 3,4.
La mayoría de los casos de las metástasis acrales se localizan en los dedos de las manos (86 %) sobre todo en el pulgar. Pueden ser monostóticas, poliostóticas, unilaterales y bilaterales pero raramente son simétricas. A veces se afectan los dedos de las manos y de los pies (6 %). Sin embargo la metástasis única en el primer dedo del pie es muy rara (el 8 % del total) 3. Además, en el caso de las metástasis en los pies son más frecuentes las localizadas en los huesos del tarso que en los dedos 4-7. Generalmente, en las metástasis digitales primero se produce la invasión ósea y secundariamente se afecta la piel y sólo raramente es a la inversa 3-5.
Algunos autores postulan que la rareza de las metástasis digitales puede deberse a la ausencia de médula ósea roja en los huesos acrales. Sin embargo, otros factores locales hemodinámicos, de temperatura, u hormonales podrían contribuir a su presencia. En el caso de las metástasis de los dedos de los pies, las células tumorales se extenderían a través de las válvulas del sistema venoso vertebral, que se comunica con venas lumbares espinales y del sistema iliofemoral y la incompetencia del sistema valvular iliofemoral permitiría el paso de émbolos hasta el pie favorecido además por la gravedad 4,6,7.
Las metástasis digitales acrales suelen ser más frecuentes en los varones con edades comprendidas entre los 40 y 60 años (media 55). La clínica es variable pero típicamente son muy dolorosas. En la mayoría de los casos el dedo afectado se deforma distalmente adquiriendo un aspecto de maza conocido como «falsa acropaquia». La falange distal aparece tumefacta, roja, dolorosa y fluctuante. Esto hace que se confunda con un proceso infeccioso. En ocasiones se acompaña de onicomadesis o de pérdida de la uña. Menos frecuentemente la metástasis acral se manifiesta como un nódulo rojo, ulcerado, o de aspecto verrucoso en el lecho o en los pliegues ungueales, con destrucción de la uña y pérdida de la misma 3-9.
El diagnóstico se realiza mediante estudio histológico y radiológico. Histológicamente, se asemejan al tumor primario aunque son más indiferenciados. La metástasis se localiza en la dermis y la epidermis suele estar intacta, con una estrecha zona de colágeno comprimido en la dermis que separa el tumor de la epidermis (zona «Grenz»). En los casos de metástasis por carcinoma epidermoide el diagnóstico diferencial con un primario es difícil porque puede estar afectada la epidermis y esta zona de separación dermoepidérmica desaparece. Las metástasis epidermotropas son muy raras salvo en los casos de melanoma. La inmunohistoquímica es de gran ayuda, sobre todo cuando el primario es desconocido. Radiológicamente, en la mayoría de los casos se observa osteolisis de la falange afectada. Es típica la ausencia de reacción perióstica u ósea reactiva asociada que suele observarse en la osteomielitis. Además, aunque la destrucción ósea es intensa en general se respeta la articulación. Paradójicamente no se producen fracturas patológicas 4.
El diagnóstico diferencial hay que realizarlo con procesos infecciosos (bacterias, micobacterias, virus), inflamatorios (gota, artritis reumatoide, tejido de granulación), tumores benignos (granuloma piogénico, tumor glómico, quiste epidermoide), malignos primarios (enfermedad de Bowen, epiteliomas, melanoma, porocarcinoma ecrino, sarcoma) y enfermedades hematológicas (leucemia, mieloma, histiocitosis de células de Langerhans) 3-9.
El pronóstico de las metástasis digitales acrales es muy malo con una supervivencia de pocos meses, ya que el tumor primario suele estar ya diseminado. El tratamiento es fundamentalmente paliativo para disminuir el dolor, amputando el dedo afectado bajo anestesia local. También se ha descrito el empleo de radioterapia o de quimioterapia sistémica según cada caso.
Declaración de conflicto de intereses Declaramos no tener ningún conflicto de intereses.
 Correspondencia:
 Mónica García-Arpa.
 Rda. de Alarcos, 36.
 13002 Ciudad Real. España.
 mgarciaa73@yahoo.es
Recibido el 17 de noviembre de 2005.
 Aceptado el 14 de febrero de 2006.





 
		
