HISTORIA CLÍNICA
Varón de 80 años, con antecedentes patológicos de diabetes mellitus, hipertensión arterial, enfermedad pulmonar obstructiva crónica y amputación de ambas extremidades inferiores por arteriosclerosis grave. Hacía 3 años que había sido diagnosticado de una gammapatía monoclonal de origen incierto IgG-kappa. El paciente se encontraba asintomático de su gammapatía y las pruebas complementarias (serie ósea, densitometría, proteinuria de Bence-Jones y analítica completa) que se realizaron fueron normales o sin alteraciones significativas.
Acudió a nuestra consulta por la aparición progresiva desde hacía 3 meses de lesiones amarillentas, asintomáticas, en el tronco.
EXPLORACIÓN FÍSICA
En la exploración física se apreciaban pápulas amarillentas, con tendencia a la formación de placas en caras anterior y posterior de tronco (fig. 1) y en las flexuras axilares (fig. 2).
Fig. 1.—Lesiones papulosas amarillentas, con tendencia a la formación de placas en la cara anterior de tronco.
Fig. 2.—Detalle de las lesiones en flexura axilar.
EXPLORACIONES COMPLEMENTARIAS
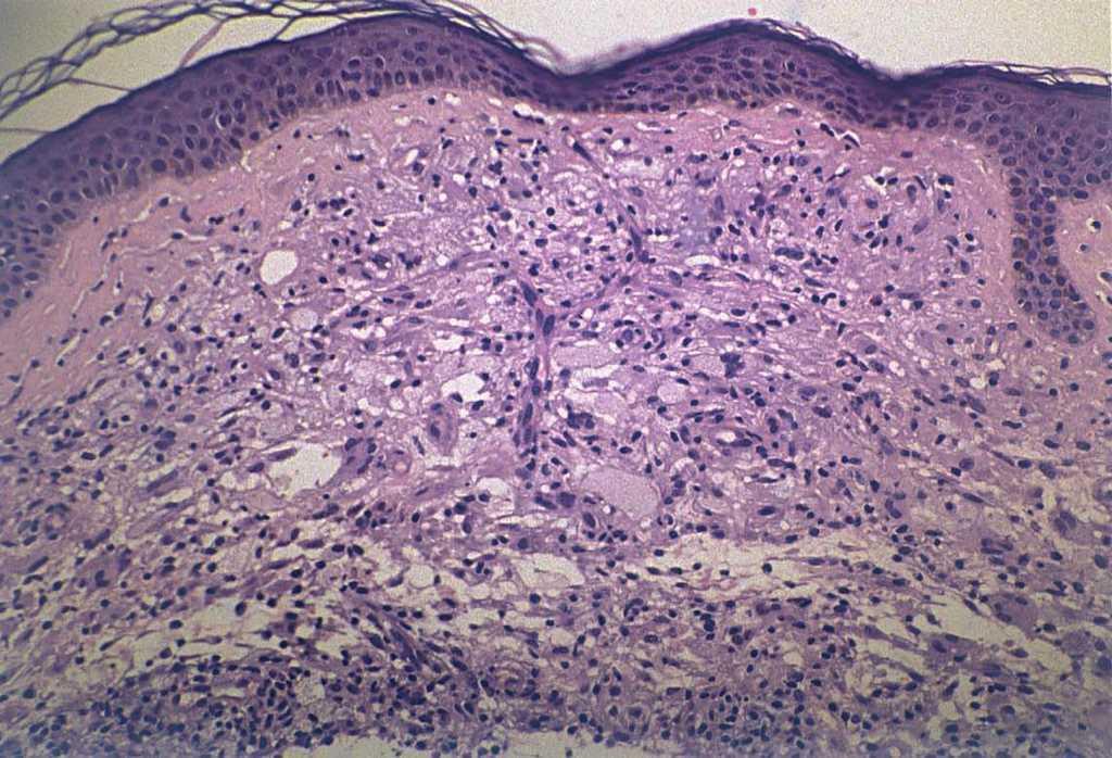
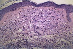
El hemograma y la bioquímica, incluyendo los niveles de colesterol y triglicéridos, fueron normales. Se realizó biopsia cutánea de una de las lesiones de la espalda (fig. 3).
Fig. 3.—Infiltrado difuso de histiocitos espumosos en dermis acompañado de alguna célula gigante multinucleada. (Hematoxilina-eosi-na, ×40.)
DIAGNÓSTICO
Xantoma plano difuso asociado a gammapatía monoclonal de origen incierto.
HISTOPATOLOGÍA
En el examen histopatológico se observó un infiltrado difuso de histiocitos espumosos en dermis superficial y media acompañado de alguna célula gigante multinucleada (fig. 3).
EVOLUCIÓN
Durante los controles periódicos realizados a lo largo de 2 años, el componente monoclonal ha permanecido estable, pero las lesiones cutáneas siguen extendiéndose.
COMENTARIO
El xantoma plano difuso es una entidad clinicopatológica bien definida, aunque poco frecuente, que se engloba dentro de las xantomatosis normolipémicas. Se caracteriza por la aparición lentamente progresiva de máculas o pápulas amarillo-anaranjadas, escasamente sobrelevadas, que confluyen en extensas placas que pueden ocupar gran parte de la superficie corporal. Son asintomáticas y normalmente comienzan como xantelasmas palpebrales que se van extendiendo a caras laterales de cuello y parte superior del tórax1-14 . Es frecuente la afectación de flexuras y cicatrices antiguas. También se ha descrito afectación de mucosas y, de forma excepcional, tendones y otros órganos5,6 . Es una enfermedad poco frecuente, con incidencia similar en ambos sexos y que por lo general afecta a individuos mayores de 50 años4,6 . En el estudio histológico se pueden observar acumulaciones de células xantomatosas grandes con núcleo central redondeado y con citoplasma espumoso, difusamente distribuidas por la dermis junto a un moderado infiltrado inflamatorio constituido por leucocitos y linfocitos. En ocasiones se encuentran células gigantes tipo Touton1-14 .
Inicialmente fue descrito por Atlman y Winkelmann en 1962 como entidad benigna no asociada a otras enfermedades1 . Cuatro años después Lynch y Winkelmann detectaron una fuerte asociación del xantoma plano difuso con alteraciones del sistema reticuloendotelial, en especial con gammapatías monoclonales y mieloma múltiple2 . Desde su descripción original se han publicado casos asociados a distintos procesos2-14 que pueden resumirse en:
Varias teorías intentan explicar la patogenia del xantoma plano difuso; la más aceptada se basa en la interacción de lipoproteína-paraproteína con la formación de inmunocomplejos que se depositarían en la dermis y serían fagocitados por los macrófagos7,11,12 . También se ha postulado que podría ser una xantomatosis derivada de una histiocitosis dentro del espectro de las histiocitosis no X, o que se deba a una infiltración directa de la piel similar a la infiltración de otros órganos por células leucémicas como ocurre en la leucemia mieloide crónica. Estas teorías pueden ser válidas para casos concretos, pero no existe un mecanismo patogénico que explique todos los casos7 .
El tratamiento debe ser el de la enfermedad de base, aunque se ha descrito algún caso de xantoma plano difuso que remitió después del tratamiento del proceso subyacente14 . El resto de opciones terapéuticas se basan en la excisión mecánica como dermoabrasión, laserterapia u otras15 .
Correspondencia:
Izaskun Trébol. Departamento de Dermatología. Hospital de Cruces. Pl. de Cruces, s/n. 48903 Barakaldo. Vizcaya. España. itrebur@aedv.es
Recibido el 15 de julio de 2004. Aceptado el 12 de noviembre de 2004.





