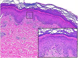
Un varón de 26 años, sin antecedentes de interés, acudió a urgencias por unas lesiones asintomáticas palmoplantares de 3 semanas de evolución, que no habían respondido al tratamiento tópico con prednicarbato, 2 veces al día, durante 20 días. Negaba fiebre u otro tipo de sintomatología sistémica. El paciente tampoco refería antecedentes de úlcera oral o genital en las últimas semanas o meses, ni relaciones sexuales de riesgo. A la exploración física se observaban unas placas ovaladas eritematosas, algunas de ellas con una descamación fina en collarete, localizadas en palmas (fig. 1), plantas y caras laterales de los pies (fig. 2). El estudio histopatológico mostró una dermatitis perivascular superficial linfocitaria, con una mínima exocitosis epidérmica asociada a una espongiosis leve (fig. 3). La inmunohistoquímica para T. pallidum fue negativa. La serología de cribado mediante inmunoanálisis de quimioluminiscencia para anticuerpos totales contra T. pallidum fue negativa en una primera determinación y repetida un mes después junto a las pruebas treponémica y no treponémica de interpretación visual (TPHA y RPR) siendo todas ellas negativas de nuevo. Las lesiones se resolvieron sin tratamiento en 4 semanas manteniéndose libre de lesiones durante el seguimiento, que finalizó a los 3 meses de la resolución de las mismas tras una nueva prueba de cribado negativa para T. pallidum. Dada la evolución, los datos clínicos, histológicos y de laboratorio se llegó al diagnóstico de pitiriasis rosada (PR) atípica palmoplantar.
La PR es una entidad frecuente que afecta principalmente a adolescentes y adultos jóvenes, de forma que un 75% de los casos se diagnostica entre los 10 y los 35 años1. Clínicamente se presenta como una erupción papuloescamosa, de curso autolimitado, distribuida principalmente en tronco y parte proximal de las extremidades siguiendo las líneas de Langer. Normalmente estas lesiones son precedidas por una lesión descamativa más grande llamada «medallón heráldico» y, en ocasiones, algunos pacientes tienen sintomatología seudogripal previa1. Existen formas atípicas infrecuentes descritas en la literatura, ya sea por tener unas lesiones morfológicamente diferentes o por presentarse estas en otras localizaciones. Entre estas formas atípicas se encuentran la PR vesiculosa, purpúrica, inversa, unilateral y palmoplantar. La afectación palmoplantar en la PR es muy infrecuente y existen muy pocos casos descritos en la literatura. En algunos de ellos se afectan las palmas y las plantas en el contexto de una erupción más típica por el tronco2,3, otros tienen afectación palmoplantar en forma de lesiones vesiculosas4, mientras que en otros las lesiones son más típicas y exclusivamente palmoplantares5. Consideramos que nuestro caso se engloba dentro del último grupo, en el que llegar al diagnóstico puede ser más difícil. En todos los casos de PR con afectación palmoplantar el principal diagnóstico diferencial es una sífilis secundaria. Es por ello que lo descartamos tanto desde el punto de vista serológico como histológico para poder llegar al diagnóstico. La histología de la PR es inespecífica, y en este caso la biopsia mostraba datos que podrían ser compatibles con un proceso eccematoso. Sin embargo, dado el aspecto clínico de las lesiones, la ausencia de prurito y la resolución sin tratamiento descartamos esta entidad del diagnóstico diferencial.
El tratamiento de la PR es controvertido y, aunque existen datos a favor del tratamiento con eritromicina6, dada la evolución natural de la enfermedad, se opta generalmente por el tratamiento sintomático del prurito con corticoides tópicos, antihistamínicos orales o la abstención terapéutica como decidimos con nuestro paciente.
Hemos descrito un caso compatible con PR palmoplantar, una variante rara de la PR de la que existen muy pocos casos descritos en la literatura. Conocer las variantes atípicas de la PR, pese a ser poco frecuentes, es de suma importancia ya que pueden simular otras entidades.





