INTRODUCCION
El pioderma gangrenoso es una dermatosis neutrofílica que puede presentarse de forma aislada o asociada a enfermedades sistémicas, principalmente gastrointestinales 1-3. Existen varias formas clínicas de las que la ulcerosa es la más frecuente. Presenta fenómeno de patergia y, así, existen casos de pioderma gangrenoso después de traumatismos o intervenciones quirúrgicas, por lo que en estos pacientes se ha propuesto utilizar suturas sintéticas e intradérmicas para minimizar la respuesta inflamatoria 2,4.
Los marcadores serológicos asociados más frecuentemente al pioderma gangrenoso son los anticuerpos anticitoplasma del neutrófilo circulantes (ANCA-c), que inducen proliferación de células T y estimulan la interacción neutrófilo-endotelio 5.
Describimos el caso de un paciente de 69 años con pioderma gangrenoso sobre cicatriz de safenectomía, con ANCA-c positivos y diverticulitis colónica.
DESCRIPCION DEL CASO
Un hombre de 69 años con antecedentes de hipercolesterolemia, ulcus gástrico, hernia de hiato y sustitución valvular aórtica con triple bypass coronario de vena safena interna de extremidad inferior izquierda, comenzó a desarrollar, un mes después de sufrir la safenectomía sobre la herida quirúrgica, en la zona pretibial, una úlcera dolorosa que aumentó de tamaño de manera progresiva. En la exploración cutánea se observó una úlcera de 17 x 12 cm con bordes eritematosos violáceos, congestivos, sobreelevados e irregulares, junto con abundante tejido de granulación (fig. 1). No se palpaban adenopatías ni organomegalias.
Fig. 1.--Pioderma gangrenoso en miembro inferior.
Un hemograma y bioquímica resultaron normales; la velocidad de sedimentación globular (VSG) fue de 39 mm. El proteinograma mostró albúmina de 51,8 % (normal, 59,5-67,5 %), α1-globulina de 7,8 % (normal, 4-6,2 %) y γ -globulina de 19,2 % (normal, 9,8-14,4 %). Las concentraciones de anticuerpos antiestreptolisina (ASLO), inmunoglobulinas y complemento fueron normales. La proteína C reactiva (PCR) estaba elevada, 17 mg/l (normal, 0-5 mg/l). Los valores de ANA, anticuerpos antimitocondriales, antimúsculo liso, anticardiolipinas, antigliadina, antiendomisio negativos y ANCA-p fueron negativos, pero los ANCA-c resultaron positivos. La serología hepática, las hormonas tiroideas el análisis de orina y aclaramiento de creatinina y los cultivos para bacterias y hongos del lecho ulceroso resultaron normales o negativos.
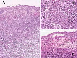
La eco-Doppler del miembro afectado, así como la ecografía abdominal y la radiografía de tórax fueron normales. En la biopsia de uno de los bordes ulcerosos se observó la presencia de un infiltrado inflamatorio, principalmente de neutrófilos, localizado en dermis media y reticular, que estaba edematosa. Existían imágenes focales de vasculitis necrosante junto con exocitosis neutrofílica y pústulas en la epidermis (fig. 2).
Fig. 2.--A) Intenso infiltrado neutrofílico en dermis con extravasación hemática (hematoxilina-eosina, x10); B) vasculitis de algunos vasos (hematoxilina-eosina, x40), y C) pústulas intraepidérmicas (hematoxilina-eosina, x40).
Se inició tratamiento con ciclosporina (5 mg/kg/ día), limpieza con suero fisiológico y aplicación tópica de valerato de betametasona con gentamicina, sin mejoría significativa. La infiltración intralesional del borde activo de la úlcera con corticoides, sólo consiguió discreta mejoría, por lo que se añadió prednisona oral a dosis de 80 mg/día, con lo que se estabilizó la lesión.
Al mes del ingreso, y en ausencia de sintomatología previa gastrointestinal, el paciente sufrió cuadro de abdomen agudo con fiebre, dolor en fosa ilíaca izquierda y empeoramiento del estado general. Fue intervenido de urgencia y se detectó una peritonitis fecaloidea secundaria a perforación de diverticulitis cólica izquierda, por lo que se practicó resección de hemicolon izquierdo con derivación tipo Hartmann.
A partir de este momento el pioderma gangrenoso comenzó a evolucionar de forma favorable, sin necesidad de tratamiento inmunosupresor, quedando una ulceración de 5 cm que cerró totalmente con la aplicación tópica de tacrolimus al 0,03 %, dos veces al día. El paciente sigue libre de enfermedad después de 2 años de seguimiento.
COMENTARIO
La etiología del pioderma gangrenoso es desconocida; la existencia de una alteración en el sistema inmunitario explicaría la frecuente asociación a enfermedad sistémica, principalmente gastrointestinal 1-3,5,6. La colitis ulcerosa fue la primera patología que se describió asociada al pioderma gangrenoso y actualmente es la más frecuente, seguida de la enfermedad de Crohn. Otras asociaciones son la artritis reumatoide, la gammapatía monoclonal, linfomas, leucemias mieloides, enfermedad de Takayasu, hepatitis crónica activa, tumor carcinoide, granulomatosis de Wegener, lupus sistémico, dermatomiositis y dermatitis herpetiforme 1-3. En los pacientes con colitis ulcerosa, enfermedad de Crohn o artritis reumatoide no hay relación entre la actividad de la enfermedad y el pioderma gangrenoso asociado. Sin embargo, existen casos de pioderma gangrenoso y de artritis reumatoide asociados a diverticulosis, con tratamientos médicos ineficaces, que respondieron sólo a la resección quirúrgica del colon afectado por la diverticulosis, sin presentar posteriormente ninguna recidiva 7,8.
El fenómeno de patergia podría explicar el hecho de que, a veces, el pioderma gangrenoso ocurra después de traumatismos mínimos o intervenciones quirúrgicas, en pacientes con o sin enfermedad sistémica inmunitaria asociada. Si es precipitado por un traumatismo, las lesiones suelen aparecer en las extremidades inferiores. Algunos autores han propuesto el pioderma gangrenoso en el diagnóstico diferencial de complicaciones de heridas posquirúrgicas, enfatizando el hecho de que su diagnóstico precoz puede facilitar un tratamiento adecuado, evitando procedimientos innecesarios e ineficaces 2,4. Se han descrito al menos 60 casos de pioderma gangrenoso relacionados con heridas quirúrgicas destacando los localizados en los injertos cutáneos, zonas con catéter, después de varicocectomía, mastectomía, prostatectomía, colecistectomía y apendicectomía además de 3 casos después de bypass coronario, similar a nuestro paciente 4.
En pacientes con historia pasada de pioderma gangrenoso, se ha propuesto minimizar el riesgo usando suturas intradérmicas en vez de seda 4. Se ha sugerido que el desarrollo de lesiones de pioderma gangrenoso sobre áreas cicatrizales está predispuesto por un potencial «factor circulante», que podría corresponder con un factor sérico proteináceo de 160 kDa que parece aumentar la migración tisular de los leucocitos mono y polinucleares.
Los ANCA caracterizan a un grupo de enfermedades en las que parecen tener un papel patogénico. Sus dianas principales a nivel de los neutrófilos son la proteinasa 3, en el caso de los ANCA-c, y mieloperoxidasa, en el caso de los ANCA-p. Son capaces de inducir proliferación de células T y los ANCA-c tienen un efecto estimulador directo en la interacción neutrófilo-endotelio y en la expresión endotelial de molécula de adhesión vascular de tipo 1 (VCAM-1). Además, in vitro, los ANCA inducen desgranulación de neutrófilos, aumento de citotoxicidad por los neutrófilos y efecto citotóxico sobre las células endoteliales. Hasta ahora, no se ha encontrado ningún marcador serológico específico de pioderma gangrenoso, excepto un caso en el que se detectó ANCA-p 5. También se han descrito casos de pioderma gangrenoso asociados a anticuerpos antifosfolípidos.
Nuestro paciente presentó positividad de los ANCA-c, siendo el resto de autoanticuerpos negativos. Esta positividad se mantuvo constante a lo largo de toda la evolución, incluso después de la curación de la úlcera. Los ANCA-c podrían estar implicados en la patogenia del pioderma gangrenoso o bien ser un hallazgo ocasional ya que, por la evolución favorable después de la hemicolectomía, se podría pensar que la presencia de los divertículos cólicos fueron, por algún mecanismo desconocido, los que estaban manteniendo la sintomatología cutánea.






 
 
		
