INTRODUCCION
El penfigoide ampolloso es una enfermedad autoinmune caracterizada por el depósito de autoanticuerpos IgG dirigidos contra antígenos situados en la lámina lúcida, con la consiguiente aparición de una ampolla subepidérmica. Clásicamente aparece en personas mayores (> 60 años) pero se han descrito varios casos en niños y algunos de ellos están relacionados con la ingesta de fármacos 1 y la administración de determinadas vacunas 2,3.
Presentamos una niña de 2 meses de edad con lesiones ampollosas aparecidas una semana después de recibir la primera dosis de la vacuna hexavalente y un mes después, a los 3 días de la segunda dosis de la misma vacuna.
DESCRIPCION DEL CASO
Una niña de 3 meses de edad, con buen desarrollo pondoestatural, sin incidencias en el periodo gestacional y sin antecedentes familiares ni personales de interés, fue traída a nuestra consulta tras la aparición de lesiones cutáneas de una semana de evolución. Se trataba de ampollas tensas y confluentes localizadas en palmas y plantas. En la anamnesis, el único antecedente de interés era la administración de la primera dosis de la vacuna contra la hepatitis B, poliomielitis, DTP (difteria, tétanos y tos ferina) y Haemophilus influenzae, 2 semanas antes de la aparición de las lesiones. Se inició tratamiento con agua sulfatada, dexametasona (0,3 mg/kg/día por vía intramuscular) y ácido fusídico con lo que progresivamente fueron atenuándose las ampollas hasta desaparecer a las 2 semanas. Un mes más tarde, estando las lesiones en fase descamativa, reapareció el cuadro de forma similar pero con una localización más amplia en palmas, plantas, cabeza y extremidades (figs. 1 y 2). Tres días antes, la paciente había recibido la segunda dosis de la vacuna hexavalente. La niña permaneció en todo momento afebril y con buen estado general.
Fig. 1.--Ampollas tensas localizadas en plantas.
Fig. 2.--Ampollas tensas en cara interna de los muslos.
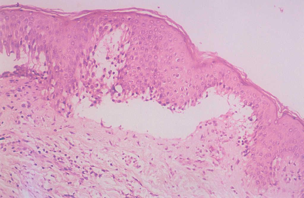
La analítica general, que incluyó hemograma, velocidad de sedimentación globular (VSG), bioquímica general con perfil hepático, coagulación y anormales y sedimento urinario no mostró ningún valor patológico excepto una discreta eosinofilia (1,1 x 103/μl, 10 %). Además los anticuerpos antinucleares (ANA) estaban dentro de los límites normales. Ante la recidiva de las lesiones cutáneas se realizó biopsia de una de ellas. El estudio anatomopatológico demostró ampollas subepidérmicas y un infiltrado en la dermis papilar constituido fundamentalmente por linfocitos y eosinófilos. El estudio con inmunofluorescencia directa puso de manifiesto depósitos de IgG y C3 en la membrana basal epidérmica (fig. 3).
Fig. 3.--Ampolla subepidérmica con infiltrado rico en eosinófilos en dermis superficial y en el interior de la ampolla. (Hematoxilina-eosina, x100.)
Para controlar el segundo brote, se instauró tratamiento con deflazacort (1 mg/kg/día por vía oral), con lo que desaparecieron las lesiones en 15 días. No obstante, al mes de iniciado el tratamiento, hubo un rebrote al intentar bajar la dosis de esteroides, por lo que fue preciso mantener los corticoides orales, a dosis de 0,3-1 mg/kg/día, durante 3 meses en total. A los 5 años de seguimiento, la paciente se encuentra asintomática, sin haber presentado nuevos episodios. Ha recibido el resto de vacunas según el calendario oficial, sin ningún efecto secundario.
COMENTARIO
El penfigoide ampolloso es una enfermedad ampollosa adquirida que afecta por lo general a los ancianos, aunque se han descrito aproximadamente 50 casos en la infancia 4,5. En los niños, la sintomatología, anatomía-patológica, evolución y respuesta al tratamiento con corticoides orales son esencialmente iguales a los de los adultos, aunque difieren en la localización de las lesiones ya que en los niños es más frecuente la afectación de mucosa oral, palmas y plantas 6.
El pronóstico en niños es muy bueno en la mayoría de los casos, con resolución espontánea del cuadro. La respuesta a corticoides sistémicos es excelente aunque también se han conseguido buenos resultados con sulfona 7. Otros antimicrobianos como eritromicina, trimetoprima-sulfametoxazol, oxacilina y fluoxacilina han tenido poco éxito 8,9. El uso de inmunosupresores como ciclosporina, azatioprina o la inmunoglobulina intravenosa es todavía debatido y sería conveniente la realización de ensayos multicéntricos, por lo que actualmente se reservan como tratamiento de segunda línea en casos graves 10.
Nuestro paciente es peculiar por tres motivos. En primer lugar, por la rareza en sí del caso, ya que se han descrito sólo 50 casos de penfigoide ampolloso infantil. Otra característica importante es la precocidad de la aparición de las lesiones puesto que el paciente más joven descrito tenía 2 meses y medio de edad, y en nuestro caso las lesiones iniciales aparecieron a los 2 meses de vida. Finalmente, destaca la relación con la administración de vacunas.
En la revisión de la literatura médica de los últimos años hemos encontrado 14 pacientes (10 adultos y 4 niños) con penfigoide ampolloso relacionado con la administración de varias vacunas (toxoide tetánico, anti-Influenzae, difteria, poliomielitis, tos ferina y hepatitis B). Entre los casos de adultos, tres se han relacionado con vacunación con el toxoide tetánico y siete con la vacuna anti-Influenzae como posibles factores desencadenantes o agravantes y el tiempo de latencia ha variado entre 1 día y 3 semanas. Los 4 casos ocurridos en niños y relacionados con vacunación comprenden 3 pacientes menores de 4 meses en los que las manifestaciones clínicas se inician tras la primera dosis de vacuna tetravalente (tétanos, difteria, poliomielitis y tos ferina) y otro caso con lesiones tras la vacuna de la hepatitis B. En todos ellos, las ampollas aparecieron horas después de la vacunación, excepto en el último caso, en que tardaron una semana.
No se ha podido comprobar en ningún caso que las vacunas sean el factor desencadenante real de la clínica, aunque parece existir una relación, si bien el mecanismo de acción aún no está aclarado. Nuestro paciente podría contribuir a la hipótesis de que la vacunación sea el factor que desenmascare un penfigoide ampolloso subclínico mediante una respuesta inmunitaria no específica, ya que en dos ocasiones presentó las lesiones propias de esta enfermedad ampollosa tras recibir una determinada inmunización.








 
 
		
