El penfigoide gestacional es una enfermedad ampollosa autoinmune, relativamente rara, que se manifiesta durante el embarazo. La aparición de lesiones generalizadas con afectación de la mucosa oral es un cuadro muy poco frecuente que puede complicar la evolución del proceso.
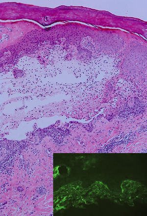
Una mujer sana de 33 años, en su segunda gestación de 35semanas con la misma pareja, comenzó con unas lesiones generalizadas y en la boca, sin referir procesos infecciosos previos ni nuevas medicaciones. En la exploración física se apreciaban unas placas eritemato-edematosas, grandes, periumbilicales y en el cuello. En las palmas y en las plantas se apreciaban unas lesiones en forma de diana tipo eritema exudativo multiforme. En las mucosas orales yugales presentaba erosiones extensas sin vesículas ni ampollas (fig. 1). En la biopsia cutánea se apreció la presencia de una ampolla subepidérmica con espongiosis eosinofílica, sin degeneración vacuolar de la membrana basal epidérmica (fig. 2). En la inmunofluorescencia directa se apreciaban depósitos lineales focales de C3 en la membrana basal. En la inmunofluorescencia indirecta los anticuerpos anti BP-180 fueron negativos. La serología para Mycoplasma pneumoniae fue negativa para IgM e IgG. Se inició corticoterapia oral con prednisona a dosis de 0,75mg/kg/día y tópica con propionato de clobetasol al 0,05% en crema. Las lesiones fueron mejorando progresivamente hasta su desaparición 2meses después del parto y dejando pigmentación residual. En el momento del parto el bebé nació sin lesiones cutáneas ni otras complicaciones como parto prematuro o bajo peso. Tras un seguimiento de 6meses la paciente no volvió a presentar lesiones.
El penfigoide gestacional, antiguamente llamado herpes gestationis, es una enfermedad ampollosa autoinmune rara asociada al embarazo. Ocurre generalmente durante el segundo-tercer trimestre del embarazo (68%) con una incidencia de 1:20.000-50.000, y aunque suele resolverse tras el parto, puede haber brotes durante el posparto y las menstruaciones1.
Clínicamente las lesiones se inician como pápulas y placas urticariformes pruriginosas que rápidamente comienzan con vesiculación. Es poco frecuente la evolución hasta grandes ampollas. Hasta en el 65% de los casos pueden localizarse primero en la zona periumbilical para después extenderse a otras zonas como el abdomen, las piernas, los brazos, las palmas y las plantas2. En sus series, Hallaji et al.2 no encuentran ningún caso con afectación mucosa, y en su serie de Castro et al.3 encontraron una paciente con afectación de la mucosa del paladar duro y otra con afectación de la mucosa genital. Sin embargo, en estos trabajos no especifican si el tipo de afectación era en forma de erosiones, úlceras, ampollas o vesículas. En nuestro caso, otra peculiaridad es la aparición de lesiones tipo eritema exudativo multiforme en las palmas y las plantas, que también se describen de forma esporádica pero menos frecuentemente1.
Los hallazgos histológicos dependen del momento evolutivo y de la intensidad de las lesiones. La presencia de abundantes eosinófilos es un hallazgo constante en el penfigoide gestacional. En la fase de ampollas, la condición sine qua non es la presencia de una ampolla subepidérmica en la membrana basal. En la inmunofluorescencia directa, la presencia de depósitos de C3 de forma lineal a lo largo de la membrana basal se observa en el 100% de los casos. Los depósitos de IgG, subclase IgG1, se observan en el 25-30% de los casos. En la inmunofluorescencia indirecta, dependiendo de la técnica empleada, entre el 30-100% de los casos pueden detectarse anticuerpos IgG contra el antígeno BP-180, pero no siempre los títulos se correlacionan con la actividad de la enfermedad.
Con respecto al diagnóstico diferencial, la primera entidad con la que es necesario diferenciarlo son la pápulas y placas urticariformes y pruriginosas del embarazo. Dos características que pueden ayudarnos son la ausencia de striae gravidarum en el penfigoide gestacional y la presencia en este último de lesiones periumbilicales. Al ser una enfermedad ampollosa, es necesario diferenciarlo de otras que pueden coincidir en el embarazo, como el penfigoide ampolloso, la dermatitis herpetiforme, la enfermedad por IgA lineal, el lupus eritematoso ampolloso sistémico, el eritema exudativo multiforme, las toxicodermias y las dermatitis de contacto.
Para el tratamiento, la prednisolona a dosis de 0,5-1mg/kg/día de peso se ha mostrado uno de los más efectivos y seguros en el embarazo. En casos de corticoterapia sistémica prolongada puede haber una mayor incidencia de partos pretérmino o bajo peso al nacer. En los casos refractarios y progresivos pueden valorarse otros tratamientos, como las inmunoglobulinas y la ciclosporina, siempre teniendo en cuenta el riesgo fetal4,5. Se debe recordar que pueden producirse brotes de mayor gravedad durante embarazos posteriores y con la toma de anticonceptivos6. El pronóstico fetal en general es bueno, con una afectación leve del 10% de los casos en forma de lesiones habonosas o vesículas.
Como conclusiones, presentamos un caso de penfigoide gestacional con extensas lesiones de tipo eritema exudativo multiforme y afectación de mucosa oral, confirmado con histología e inmunofluorescencia directa. La afectación oral en este tipo de enfermedad ampollosa es muy infrecuente.
Conflicto de interesesLos autores declaran no tener ningún conflicto de intereses.




