INTRODUCCION
El penfigoide ampolloso puede relacionarse con diversas enfermedades autoinmunes y tumores. Recientemente, se ha descrito una posible asociación entre el penfigoide ampolloso y diferentes enfermedades neurológicas. Presentamos un caso de penfigoide ampolloso que se desarrolló únicamente en el lado hemipléjico.
DESCRIPCION DEL CASO
Una mujer de 80 años de edad consultó por un cuadro de prurito generalizado de 2 meses de evolución. Entre sus antecedentes destacaba un accidente cerebrovascular (ACV) isquémico con hemiplejía izquierda residual desde hacía 9 años, cardiopatía isquémica y enfermedad de Paget.
La exploración física reveló múltiples excoriaciones, así como máculas hiperpigmentadas de coloración pardusca de pequeño tamaño, localizadas en el brazo, hombro y nalga izquierdos, así como en la mitad izquierda de la espalda (fig. 1). En la región superoexterna de la nalga se observaban tres mínimas lesiones ampollosas tensas, de contenido seroso y disposición lineal.
Fig. 1.--Lesiones escoriadas y máculas hipercrómicas en el hemicuerpo izquierdo.
Los exámenes complementarios mostraron una leve eosinofilia (6.600 leucocitos con 10 % de eosinófilos), fosfatasa alcalina de 1.355 U/l, IgE de 19 U/ml, velocidad de sedimentación globular (VSG) de 22 mm/h, factor reumatoide < 11 U/ml y ASLO < 100 U/ml. El análisis sistemático de orina fue normal y no se detectaron parásitos en heces. Las serologías frente a herpes virus simple y varicela-zóster, virus de la hepatitis B y sífilis no fueron relevantes.
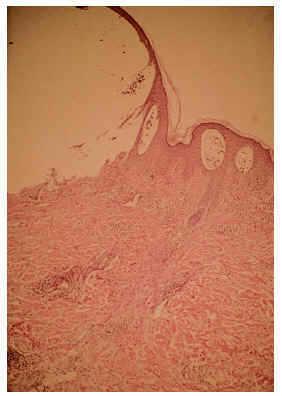
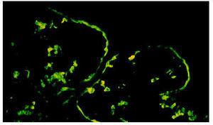
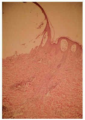
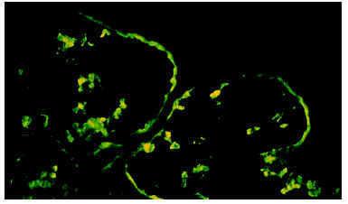
El estudio histopatológico de una lesión de contenido líquido reveló una ampolla subepidérmica, con un infiltrado perivascular en dermis superficial con predominio de eosinófilos, que también se hallaban en el interior de la ampolla (fig. 2). Con la inmunofluorescencia directa se encontraron depósitos de IgG y C3 a nivel de la membrana basal (fig. 3) y la indirecta demostró anticuerpos frente a la membrana basal a títulos de 1/80. La inmunofluorescencia directa del lado sano fue negativa.
Fig. 2.--Detalle de un lateral de la ampolla, con infiltrados perivasculares de eosinófilos y en el interior de la cavidad (HE, x100).
Fig. 3.--Inmunofluorescencia directa positiva para IgG.
Se instauró tratamiento con 100 mg cada 12 h de doxicilina por vía oral; 400 mg cada 8 h de nicotinamida también por vía oral y antihistamínicos. Debido a la persistencia del prurito tras un mes de tratamiento, se sustituyó por prednisona oral en dosis de 30 mg/día en pauta descendente, con lenta resolución del cuadro.
DISCUSION
Se ha postulado la posible asociación del penfigoide ampolloso con diferentes enfermedades neurológicas como la esclerosis múltiple1, la esclerosis lateral amiotrófica2, los ACV3-6, y el síndrome de Shy-Drager7. Incluso algunos autores han detectado más de un 60 % de pacientes con penfigoide ampolloso con antecedentes de enfermedades neurológicas6.
Una posible explicación al supuesto aumento en la incidencia de penfigoide ampolloso en enfermos neurológicos podría basarse en un fenómeno de reactividad inmunológica causada entre el antígeno mayor del penfigoide ampolloso y proteínas neuronales homólogas recientemente descritas6.
A nuestro saber, sólo se han publicado 4 casos con hemiplejía tras un ACV isquémico y lesiones de penfigoide ampolloso circunscritas al lado paralítico3-6. La explicación de este raro fenómeno es incierta. En nuestro paciente, la inmunofluorescencia directa en el brazo sano resultó negativa, a diferencia de un caso previo similar en que era positiva en ambos lados5.
Una posible explicación sería un fenómeno de Koebner secundario al rascado en el lado enfermo4. Sin embargo, ciertos datos parecen reflejar una mayor susceptibilidad para la aparición de este tipo de lesiones en el lado paralítico5.
Igualmente se han descrito cuadros de livedo reticularis8 o eccema seborreico9 circunscritos al lado paralítico han sido descritos, al igual que casos de eccema numular, dermatitis atópica10 o líneas de Beau11 afectando únicamente al lado sano.





