INTRODUCCION
Los trastornos vasculares son las lesiones cutáneas observadas con más frecuencia en los recién nacidos1. Entre ellos se encuentran los nevos flámeos, lesiones benignas de origen congénito debidas a malformación de los plexos vasculares de la dermis2.
La mancha de vino de Oporto o nevo flámeo se observa sólo en el 0,3 a 1,4 % de los recién nacidos1,3. Se localiza preferentemente en la cara, en el territorio inervado por el trigémino, aunque puede encontrarse en cualquier parte del cuerpo. En contraste con la mancha de salmón3-5, tiende a oscurecerse y elevarse con los años, adquiriendo un aspecto nodular.
Los nevos flámeos adquiridos son lesiones de presentación infrecuente, similares a las descritas anteriormente, pero que aparecen después del nacimiento.
DESCRIPCION DEL CASO
Una mujer de 64 años de edad consultó por presentar desde hacía 2 años una mácula eritematosa en la región infraclavicular izquierda, asintomática, que había aumentado progresivamente de tamaño, y se había extendido al cuello y región mamaria de ese lado. No existían antecedentes de traumatismo en la zona ni de ingesta de medicamentos o anticonceptivos.
Al examen presentaba una mácula eritematosa compuesta por numerosas telangiectasias que tendía a desaparecer a la compresión y que se extendía desde la cara lateral izquierda del cuello hacia la región infraclavicular izquierda y mamaria de ese lado (fig. 1).
Fig. 1.--Mácula eritematosa-telangiectásica desde la cara lateral izquierda del cuello hacia las regiones infraclavicular y mamaria de ese lado.
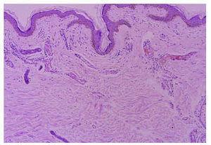
Se realizó una biopsia de la lesión, cuyo estudio histopatológico mostró una piel delgada, con atrofia epidérmica y con vasos dilatados en la dermis papilar y reticular revestidos por un endotelio de una capa celular sin atipias (fig. 2).
Fig. 2.--Vasos dilatados en la dermis papilar y reticular (HE, x100).
No se realizó ningún tratamiento sobre la lesión.
DISCUSION
La etiopatogenia del nevo flámeo es desconocida. En los últimos años se ha sugerido que se produciría por un defecto en la modulación simpática del tono vascular, por déficit de maduración en el caso de las lesiones congénitas y por pérdida de función en las lesiones adquiridas6. Estas últimas se han descrito en algunos pacientes con antecedente de traumatismo o lesiones locales en la zona de la lesión7,8, y se ha planteado que un proceso reparativo alterado de los vasos dañados tras el traumatismo originaría la atrofia dérmica perivascular o una contractilidad defectuosa de las paredes del vaso, que resultaría en la formación de telangiectasias8. Sin embargo, existen otros casos sin antecedente de traumatismo previo; en una reciente revisión de la literatura médica al respecto9 se reunieron 59 casos de nevo flámeo adquirido de los que sólo 17 (29 %) se relacionaban con un traumatismo; la edad promedio de los casos fue de 24-16 años con un leve predominio femenino.
Otros posibles factores precipitantes que se han relacionado con la aparición de la lesión incluyen el uso de anticonceptivos orales10, hiperestrogenismo asociado11, existencia de malformación arteriovenosa central asociada12, herpes zóster reciente13, exposición al sol2 o frío intenso14 en intervenciones quirúrgicas en la zona afectada15. En el presente caso no se detectaron posibles causas desencadenantes, pudiendo clasificarse entre los diversos descritos con origen idiopático16.
Respecto al tratamiento de las lesiones, el empleo de distintas modalidades de láser ha dado resultados satisfactorios16-18.




