INTRODUCCION
El pénfigo vulgar es una enfermedad ampollosa, autoinmune e intraepidérmica que afecta las mucosas y la piel1. Histológicamente se caracteriza por un despegamiento acantolítico y suprabasal de la epidermis y es la forma de pénfigo más frecuente2.
La lesión característica es una ampolla flácida asentada sobre una piel normal o ligeramente eritematosa. El techo de estas lesiones ampollosas es muy frágil y se rompe con facilidad, dejando superficies erosivas en la piel y sobre todo en las mucosas3. En más de la mitad de los casos la mucosa oral es el lugar de comienzo de las lesiones, para después extenderse y generalizarse por el tegumento cutáneo, pero en ocasiones las lesiones se circunscriben a la musosa oral, sin afectación de la piel. La sintomatología más común es prurito o dolor, de intensidad variable, según la extensión y gravedad de las lesiones cutaneomucosas4.
La espongiosis eosinofílica fue descrita por Emmerson y Wilson-Jones5 en 1968 como un hallazgo histológico frecuente en las fases iniciales del pénfigo. Esta imagen histológica era conocida desde muchos años antes en procesos como la fase vesiculoampollosa de la incontinencia de pigmento. Cuatro de los siete pacientes de la publicación original de Emmerson y Wilson-Jones presentaban un pénfigo con una imagen clínica que recordaba a la dermatitis herpetiforme. La aparición de los estudios de inmunofluorescencia demostró que estos casos eran realmente pénfigos. Así, en 1975 Jablonska et al6 proponen el término pénfigo herpetiforme para designar pacientes con hallazgos histológicos de espongiosis eosinofílica y hallazgos clínicos tanto de un pénfigo como de una dermatitis herpetiforme. En los años siguientes Knight et al7 y posteriormente Ackerman8 señalaron que este patrón histopatológico podía aparecer en numerosas dermatosis (tabla 1).
CASO CLÍNICO
Se trata de un varón de 37 años que consultó por una placa pruriginosa en espalda, localizada en el área interescapular, de un mes de evolución y 10 cm de diámetro. La lesión tenía un intenso aspecto inflamatorio con pústulas en su superficie (fig. 1). No existían lesiones en otras localizaciones ni alteración del estado general. Se realizaron cultivos micológicos y bacteriológicos de la lesión, que fueron negativos. La analítica básica, incluyendo un hemograma, bioquímica y sistemático de orina y la radiografía de tórax, no demostraron alteraciones significativas.
Fig. 1.--Placa inflamatoria con pústulas excoriadas en superficie en el área interescapular.
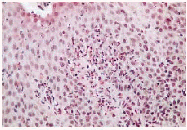
Se realizó una biopsia cutánea en la que se observó, en la epidermis, una espongiosis intensa con exocitosis eosinofílica entre los queratinocitos (fig. 2) y algunas vesículas intraepidérmicas dispersas. En la dermis media y superficial se apreciaba un intenso infiltrado inflamatorio de disposición difusa, formado por linfocitos y eosinófilos. Ocasionalmente este infiltrado podía observarse también en los folículos. La prueba de inmunofluorescencia directa realizada en piel lesional demostró depósitos de IgG entre los queratinocitos epidérmicos (fig. 3). La inmunofluorescencia indirecta fue negativa.
Fig. 2.--Epidermis con espongiosis y exocitosis de eosinófilos.
Fig. 3.--Inmunofluorescencia directa con depósitos de IgG entre los queratinocitos.
Se instauró tratamiento con minociclina a dosis de 500 mg/12 horas durante 3 semanas sin respuesta. Pasado este tiempo se sustituyó por sulfona a dosis de 100 mg/día, con desaparición total de las lesiones en 3 semanas. Posteriormente fue disminuyéndose la dosis hasta su retirada total. Dos años después de la suspensión de la sulfona el paciente continúa asintomático.
DISCUSIÓN
El pénfigo vulgar raras veces se presenta como lesiones localizadas. Éstas son frecuentes como formas de inicio, pero en poco tiempo evolucionan hacia formas generalizadas. En un pequeño número de casos, sin embargo, permanecen como localizadas durante su evolución. El pénfigo localizado es más frecuente en la mucosa oral y raras veces las lesiones localizadas persistentes ocurren en la piel. En estos casos suelen afectarse de forma preferente las áreas de presión, como la espalda, pero se han descrito diversos tipos de lesiones cutáneas localizadas como manifestación clínica de un pénfigo, entre las que tenemos lesiones sobre cicatrices posquirúrgicas9 o postquemadura10, lesiones en áreas previamente tratadas con radioterapia11, lesiones con aspecto clínico de queratosis seborreica12, nódulos aislados13, lesiones lineales de distribución zosteriforme14 o una placa vegetante en un brazo15. Una placa inflamatoria aislada con pústulas en superficie es una presentación excepcional de pénfigo que no hemos encontrado descrita en la literatura.
La espongiosis eosinofílica o espongiosis con exocitosis epidérmica de eosinófilos es un hallazgo bien conocido en las fases iniciales de pénfigo vulgar. Es más frecuente en el pénfigo vulgar y en el foliáceo, pero también puede observarse en otros tipos de pénfigos como el herpetiforme, el vegetante o el paraneoplásico. En algunas ocasiones la espongiosis eosinofílica precede a los hallazgos histopatológicos típicos de un pénfigo, pero el verdadero interés de este patrón histológico es que constituye un marcador de una presentación clínica e histopatológica peculiar de pénfigo16. Bajo el patrón histológico de una espongiosis eosinofílica aparece un tipo especial de pénfigo, que muestra unos hallazgos especiales como los observados en nuestro caso. Presentan manifestaciones clínicas atípicas con una morfología inusual y en algunos casos, incluso con signo de Nikolsky negativo, suelen presentarse a una edad temprana, es bastante frecuente encontrar una eosinofilia periférica, la evolución es normalmente benigna y tienen una buena respuesta terapéutica a los esteroides y/o pequeñas dosis de sulfonas.
De este modo, en los casos en que nos encontremos lesiones aisladas con un patrón histopatológico de espongiosis eosinofílica, es esencial realizar una prueba de inmunofluorescencia para descartar una enfermedad ampollosa autoinmune.






