INTRODUCCIÓN
El término pápulas colagénicas auriculares fue introducido por Sánchez, quien en 1983 describió en 4 casos la presencia de lesiones papulosas, simétricas, asintomáticas, en ambas conchas auriculares, compuestas por masas de colágena alterada1. Previamente Echevarría et al2, Dupre et al3 y Mascaró et al4 habían descrito casos clínicos similares a los de Sánchez, sugiriendo la presencia de amiloide papuloso en las lesiones. No obstante, el término propuesto por Sánchez y la naturaleza colagénica de las pápulas fueron aceptados a la vista de los estudios realizados con microscopia electrónica5. Frost describió en 1986 un nuevo caso de pápulas colagénicas, localizadas en esta ocasión en el conducto auditivo externo6. Desde su descripción inicial, los nuevos casos aportados han intentado demostrar la presencia de amiloide de origen queratinocítico como principal componente de las pápulas, por otro lado de etiología desconocida, puesto que la intervención de un traumatismo crónico como factor causal no siempre ha podido ser establecido en la historia clínica7. Describimos un nuevo caso de esta infrecuente entidad y repasamos los hallazgos descritos referentes a la naturaleza del material depositado y su relación con las lesiones de amiloide papuloso.
CASO CLINICO
Se trata de una mujer de 32 años de edad que presentaba desde hacía 10 años, de modo simétrico en ambas conchas auriculares, pápulas de 2-3 milímetros, perladas, confluentes, brillantes, traslúcidas, que permanecían estables y asintomáticas (fig. 1). Al preguntarle sobre hábitos que pudieran justificar un roce o fricción continua, la paciente no asociaba su aparición a ningún proceso externo.
Fig. 1.--Múltiples pápulas confluentes, puntiformes, perladas, pseudovesiculosas, en la concha de ambos pabellones auriculares.
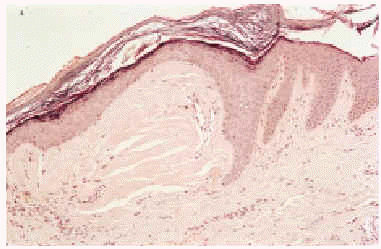
Se realizó una biopsia de una de las pápulas. El estudio histológico mostraba, bajo un revestimiento epidérmico sin alteraciones, lesiones papulosas constituidas por colágena hialinizada escasamente celular con fisuración irregular (fig. 2). La tinción con la coloración de rojo congo resultó negativa, así como la tinción con orceína. Además, el material que constituía la pápula se teñía en azul con la técnica de Masson y con fucsina con la técnica de van Gieson, tal y como corresponde a la colágena. La técnica con anticuerpos anti-CK (anticuerpos anticitoqueratina AE1-AE3) mostró una mínima expresión en la dermis superficial. El diagnóstico realizado fue de pápulas colagénicas auriculares.
Fig. 2.--La dermis papilar se muestra expandida ocupada por un material acidófilo acelular, compacto, resquebrajado tras la fijación (hematoxilina-eosina, x100).
Se realizó como medida inicial tratamiento con crioterapia, obteniéndose una mejoría parcial de las mismas.
COMENTARIO
El origen del material que forma la entidad descrita como pápulas colagénicas auriculares ha sido mantenido en debate durante años con trabajos que se esforzaban en negar o afirmar la naturaleza amiloidea o colagénica del mismo.
El amiloide cutáneo se consideraba una entidad heterogénea de diferentes orígenes: derivado de las cadenas ligeras de las inmunoglobulinas en la amiloidosis nodular y derivado de los filamentos intermedios de los queratinocitos que, por apoptosis, «caían» en la dermis papilar en la amiloidosis macular y amiloidosis liquenoide (amiloide-K)8, 9. La descripción de los casos presentados por Sánchez1 mostraba un material hialino que se teñía de rojo con la tinción de van Gieson (característico de la colágena), PAS (tinción con ácido peryódico de Schiff) ligeramente positivo y diastasa resistente. No presentaba metacromasia con violeta cristal ni las tinciones eran positivas con rojo congo ni orceína. El análisis con microscopia electrónica mostraba «islotes» de material electrodenso rodeados por largas bandas de gruesas fibras de colágena. A mayor aumento, estos «islotes» estaban formados por un entramado de filamentos (5-10 mm de diámetro), en cuyo interior era posible ver también estructuras densas, redondas, correspondientes a fibras de colágena degenerada. Estos resultados permitieron diferenciar este material del depositado en las lesiones de amiloide nodular. Mascaró et al5 apuntaron años después la posibilidad de que el material de las pápulas colagénicas fuera positivo para violeta cristal y tioflavina T, lo que, según los autores, podía inducir a un diagnóstico incorrecto al interpretar el material depositado como amiloide. Frost6 también negaba la presencia de amiloide tras sus estudios tanto con tinciones habituales como con microscopio electrónico, completamente acordes con los de Sánchez.
Por otro lado, Hicks et al describeron 4 casos clínicamente superponibles a los de Sánchez en los que, tras analizar los resultados obtenidos con las tinciones ya referidas (anticuerpos monoclonales antiqueratina y microscopia electrónica), confirmaban la presencia de amiloide cutáneo-K en las pápulas10. Así, Barnadas et al describieron un caso de amiloidosis «bifásica» donde coexistían pápulas traslúcidas en la concha auricular junto a placas dorsales de amiloidosis maculosa11. Ishii et al habían introducido en 1981 la posibilidad de que el material presente en la amiloidosis maculosa y liquenoide tuviera su origen a partir de fibras de colágeno modificadas12. En 1990 estos mismos autores presentaron de nuevo un detallado estudio realizado en 9 casos de amiloidosis maculosa y 4 de amiloidosis papulosa con anticuerpos monoclonales anticolágeno y microscopio electrónico. Las conclusiones fueron similares: origen a partir de fibras de colágeno degeneradas de este material amiloide13.
El origen colagénico del liquen amiloideo podría explicar de forma unitaria los infrecuentes casos de lesiones papulosas localizadas en el oído externo (concha auricular, hélix y conducto auditivo externo), aunque la causa última sigue siendo desconocida.




