Varón de 81 años, con antecedentes personales de diabetes mellitus tipo 2, hipertensión, hipercolesterolemia y bronquitis crónica, acude a consulta por la presencia de una lesión en fosa poplítea izquierda desde hace un año, asintomática y de crecimiento progresivo.
Exploración físicaSe aprecia una pápula eritematosa pediculada, de 6mm de longitud, de consistencia firme, no adherida a planos profundos, sin erosión o ulceración en hueco poplíteo izquierdo (fig. 1). No se palpaban adenopatías locorregionales.
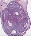
HistopatologíaSe realiza exéresis completa de la lesión, observándose en el estudio anatomopatológico una neoformación polipoide, no encapsulada (fig. 2), compuesta por nódulos tumorales localizados en dermis, separados entre sí por tractos fibrosos. Dichos nódulos están formados por 2 tipos de células: unas de forma redondeada y citoplasma claro, que presentan tinción PAS positiva (fig. 3), y otras poliédricas, de núcleos redondeados y citoplasma levemente basófilo. No se aprecian imágenes de mitosis ni invasión angiolinfática o perineural. Se demuestran quistes de contenido eosinófilo homogéneo, revestidos de una hilera de células de epitelio cuboidal, sin evidencia de secreción por decapitación.
¿Cuál es su diagnóstico?
DiagnósticoHidroadenoma nodular.
EvoluciónAl año de seguimiento, no se observa recidiva de la lesión.
ComentarioEl hidroadenoma nodular (también denominado hidroadenoma apocrino, hidroadenoma de células claras, hidroadenoma sólido-quístico, acrospiroma ecrino y acrospiroma de células claras) es una tumoración benigna, cuya diferenciación apocrina o ecrina es controvertida. Algunos autores han evidenciado secreción por decapitación, lo que sugiere un origen apocrino; sin embargo, otros han demostrado la ausencia de secreción apocrina y la existencia de rasgos ultraestructurales de glándulas ecrinas inmaduras1. Es más común en mujeres y tiende a aparecer entre la cuarta y sexta décadas de vida; sin embargo, se han notificado casos en edad pediátrica2,3. Suele presentarse como un nódulo solitario, de lento crecimiento, color piel o eritemato-marronáceo, menor de 2-3cm de diámetro y consistencia firme o fluctuante cuando predomina el componente quístico. Generalmente, son asintomáticos, pero pueden erosionarse o ulcerarse y exudar material seroso en las formas quísticas2. Se ha descrito la existencia de formas pediculadas como la de este caso, muy poco frecuentes4. Puede presentarse en cualquier localización, aunque asienta habitualmente en cabeza y cuello, tronco y extremidades superiores.. A la dermatoscopia, pueden observarse áreas homogéneas de color rojizo, azulado, rojo-azulado o marrón cubriendo la lesión total o parcialmente, estructuras blanquecinas y vasculares, como telangiectasias arboriformes y vasos polimorfos atípicos, por lo que son difíciles de diferenciar de carcinomas basocelulares y melanomas5. Los estudios inmunohistoquímicos revelan positividad para CAM 5.2 en la mayoría de los tumores. Algunos casos expresan CEA, EMA, S100, actina de músculo liso y vimentina. La tinción con anticuerpos dirigidos contra diversos subtipos de citoqueratinas es variable en distintas partes del tumor2. Sin embargo, no suele ser precisa la realización de análisis inmunohistoquímico, dado su fácil diagnóstico con técnicas convencionales, como hematoxilina-eosina. Su transformación maligna a hidroadenocarcinoma es muy rara y debe sospecharse cuando en el estudio histológico se demuestre un patrón de crecimiento infiltrativo, necrosis, pleomorfismo nuclear, abundantes mitosis e invasión angiolinfática y perineural6.
La resección quirúrgica es curativa; no obstante, se ha notificado una tasa de recurrencia de aproximadamente el 10%, debido a resecciones incompletas del tumor2.
En este artículo, presentamos una variedad inusual de hidroadenoma nodular, por su apariencia pediculada, poco frecuente, que debe diferenciarse de otras entidades de morfología similar, como fibroepitelioma de Pinkus, fibrolipoma o angioma. Desde el punto de vista histológico, plantea diagnóstico diferencial con otros tumores de células claras, como metástasis (fundamentalmente de adenocarcinoma renal) y tumores primarios cutáneos con diferenciación folicular, sebácea y de glándulas sudoríparas6.
Conflicto de interesesLos autores declaran no tener ningún conflicto de intereses.





