INTRODUCCION
La calcifilaxia es una complicación poco frecuente de la insuficiencia renal crónica en la que se produce una necrosis isquémica de la piel como consecuencia de la calcificación de arteriolas subcutáneas1. Este síndrome aparece, aunque no siempre, en el contexto de una anomalía del metabolismo calcio-fósforo secundaria a un hiperparatiroidismo primario o secundario2. Es importante diagnosticarla de forma precoz, dado que cuanto antes se instaure el tratamiento más posibilidades se tiene de evitar la progresión de la enfermedad3. Sus características clínicas han sido ampliamente descritas en la literatura, aunque la mayor parte de los trabajos se centran en las características clínicas y analíticas del episodio agudo, mientras que existen pocos datos acerca de manifestaciones clínicas iniciales1-4. Describimos una paciente con nódulos subcutáneos abdominales dolorosos con las características histológicas de una calcifilaxia que precedieron en varios meses a la aparición de necrosis cutánea en la pierna.
DESCRIPCION DEL CASO
Una mujer de 86 años de edad fue remitida a nuestro servicio por la presencia de unas lesiones abdominales dolorosas de 4 meses de evolución. La paciente estaba en tratamiento con hemodiálisis desde hacía 8 años como consecuencia de una insuficiencia renal secundaria a una nefropatía obstructiva. Además, la paciente tenía antecedentes de insuficiencia cardíaca crónica severa por valvulopatía aórtica y de broncopatía crónica obstructiva. La paciente no padecía ni de diabetes ni de obesidad mórbida.
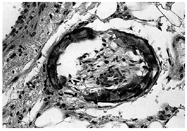
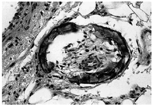
En la exploración se observó, bajo una piel de aspecto clínicamente normal, la presencia de unos nódulos subcutáneos de 3 a 5 cm de diámetro, de consistencia firme, dolorosos a la palpación y localizados en la región abdominal. El examen histológico de la biopsia de uno de estos nódulos evidenció la presencia de múltiples focos de calcificación de la media, con hiperplasia de la íntima, presentes en las arteriolas del tejido celular subcutáneo y de la unión dermohipodérmica (fig. 1).
Fig. 1.--Calcificación de la media e hiperplasia de la íntima en arteriolas del tejido celular subcutáneo (H&E; x200).
La paciente estaba monitorizada para su función renal y en los últimos 6 meses presentaba como hallazgos más notables los siguientes: calcio sérico, de 9 a 10,3 mg/dl (normal, de 8,9 a 10,1 mg/dl); fósforo, de 5,8 a 6,7 mg/dl (normal, de 2,5 a 4,5 mg/dl); creatinina, de 7,0 a 9,0 mg/dl (normal, de 0,6 a 1,2 mg/dl); y pa-rathormona, de 3.900 a 5.500 ng/l (normal, de 100 a 360 mg/l). El producto calcio-fósforo se mantuvo siempre por debajo de 60. Tanto la proteína C, la proteína S y la antitrombina III estaban en el rango normal.
Se practicó una radiografía de las piernas que mostraron la presencia de calcificación de las arterias de gran calibre, así como una calcificación difusa de los tejidos blandos.
Dado su estado general se descartó la realización de una paratiroidectomía y se pautó tratamiento sin-tomático con prednisona (30 mg/día) y cimetidina (400 mg dos veces al día). Se suspendieron los aportes de vitamina D y se instauró una dieta baja en fosfatos. Sin embargo, las medidas no fueron eficaces y 3 meses más tarde se desarrollaron unos nódulos dolorosos en las piernas junto con un área de necrosis en la pierna derecha. Dos días después de la aparición de la necrosis la paciente entró en insuficiencia cardíaca aguda y falleció.
DISCUSION
La presencia de nódulos subcutáneos dolorosos precediendo en meses a la necrosis cutánea por calcifilaxia en pacientes con insuficiencia renal crónica ya ha sido descrita en algún trabajo anteriormente5. En nuestro caso se demostró la presencia de los hallazgos típicos de calcifilaxia, con calcificación de la media en las arteriolas de la unión dermohipodérmica y del tejido celular subcutáneo en los nódulos dolorosos abdominales. Tres meses más tarde desarrolló nódulos en las piernas que evolucionaron a necrosis cutánea. Aunque los nódulos de las piernas no fueron biopsiados por el mal estado general de la paciente, se consideraron una manifestación clínica del mismo proceso. Parece razonable pensar que la calcificación vascular es un proceso progresivo cuyo estadio final es la obstrucción completa de la luz vascular; los nódulos subcutáneos dolorosos parecen representar una manifestación clínica de la isquemia resultante de una obstrucción parcial de los vasos y por tanto un paso previo a la obstrucción total y la necrosis6-8.
En la actualidad no existen datos clínicos ni bioquímicos que puedan predecir el desarrollo de calcifilaxia en un paciente3,9. Por esta razón la presencia de nódulos subcutáneos dolorosos en un paciente con insuficiencia renal crónica podría representar una manifestación, quizá poco reconocida a la luz de lo referido en la literatura, de una calcifilaxia subclínica y por ello tenerla en cuenta como signo de alarma ante el posible desarrollo posterior de necrosis. La realización de una biopsia confirmará el diagnóstico y puede permitir la planificación terapéutica antes de la aparición de la necrosis. Futuros estudios demostrarán si el pronóstico mejora o no con una actuación más precoz.



