Un varón de 52 años con antecedente personal de vitíligo que consulta por múltiples lesiones asintomáticas en el escote de 4 años de evolución.
Exploración físicaSe observan 6 nódulos ovalados subcutáneos, hipopigmentados y blandos al tacto. No presentan componente piloso pero sí un leve eritema a la fricción, sin induración (fig. 1).
Pruebas complementariasEn la exploración mediante dermatoscopia únicamente se observaban máculas acrómicas coincidentes con cada uno de los nódulos.
Se realizó una ecografía de alta frecuencia (18MHz, Esaote® MyLabTM25Gold) de 2 lesiones contiguas en la que se evidenciaron 2 zonas focales ovaladas de engrosamiento y disminución de la ecogenicidad dérmica, de aspecto sólido y que solevantan la epidermis. El plano dérmico superficial entre las 2 zonas focales no mostraba alteraciones ecográficas (fig. 2). Estas lesiones no captaban flujo vascular en el estudio con Doppler color. La ecoestructura de las otras lesiones era similar a la descrita.
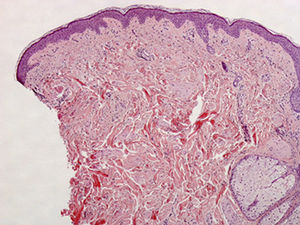
En el examen histológico de una biopsia punch de una de las lesiones se observaba la ausencia de melanocitos en la capa basal de la epidermis y múltiples fascículos delgados de fibras musculares lisas, orientados en distintas direcciones en la dermis media (fig. 3).
¿Cuál es su diagnóstico?DiagnósticoHamartoma de músculo liso (HML) adquirido múltiple hipopigmentado por vitíligo.
Evolución y tratamientoPor deseo del paciente se realizó tratamiento mediante extirpación quirúrgica de una de las lesiones. El resto de los nódulos se han mantenido estables a lo largo del tiempo.
ComentarioEl HML es una entidad benigna poco frecuente, con un ligero predominio en el sexo masculino, que se presenta habitualmente de forma solitaria y congénita, siendo excepcional su forma adquirida1,2.
A diferencia del HML congénito, en la forma adquirida a menudo encontramos ausencia de hipertricosis, hiperpigmentación y pseudosigno de Darier. Además, mientras que los HML congénitos suelen localizarse en la región lumbosacra y la parte proximal de las extremidades, los HML adquiridos suelen hacerlo en el tronco, el cuello, las extremidades superiores, la vulva o el escroto1–3.
El diagnóstico del HML es principalmente clínico, aunque el estudio histológico puede ser imprescindible, sobre todo en las formas con una presentación clínica atípica, como es nuestro caso. Histológicamente se caracteriza por la proliferación de haces de músculo liso en la dermis orientados en distintas direcciones, entremezclándose con los haces de colágeno. Estos haces pueden estar o no conectados a los folículos pilosos, se ponen de relieve con la tinción histoquímica de tricrómico de Masson y son positivos con técnicas de inmunohistoquímica como la actina de músculo liso y la desmina. A veces pueden verse cambios epidérmicos como acantosis, papilomatosis e hipermelanosis3,4. Además, Koizumi et al. describieron células dendríticas dérmicas positivas para CD34 alrededor de los fascículos musculares, y lo interpretaron como un dato característico con posibles implicaciones desde el punto de vista de la patogénesis5.
El diagnóstico diferencial es amplio e incluye el nevus de Becker, el mastocitoma solitario, el nevus de tejido conectivo y los leiomiomas eruptivos, entre otros1,4. La mayoría de los autores consideran que el nevus de Becker y el HML constituyen polos opuestos de un mismo espectro. En un extremo estaría el nevus de Becker, con predominio de cambios epidérmicos como la hiperpigmentación y la hipertricosis, mientras que en el otro extremo encontraríamos el HML, con un predominio de la proliferación de músculo liso por encima de los cambios epidérmicos1–4.
Los hallazgos ecográficos de esta entidad son inespecíficos, debiendo hacer el diagnóstico diferencial con otros tumores de partes blandas con semejanzas clínicas y ecográficas, como los dermatofibromas, el granuloma anular, los piloleiomiomas múltiples o los queloides espontáneos, entre otros. A veces podemos encontrar características diferenciales que nos pueden orientar hacia un diagnóstico, como las líneas hipoecoicas periféricas en los dermatofibromas o el patrón lineal fibrilar hiperecogénico en los queloides. No obstante, a menudo precisaremos de la información histopatológica para alcanzar el diagnóstico definitivo.
En conclusión, hemos presentado un caso excepcional de HML adquirido múltiple e hipopigmentado por vitíligo, probablemente por un fenómeno isotópico. Nuestro paciente presentaba una clínica atípica de HML debido a la hipopigmentación, la ausencia de hipertricosis y la multiplicidad de las lesiones, por lo que el diagnóstico clínico precisó de la confirmación del estudio histopatológico. Además, hemos descrito por primera vez en la literatura las características ecográficas de esta rara entidad. Los tumores de partes blandas son un grupo amplio y heterogéneo de tumores infrecuentes, lo cual explica la escasez de información sobre sus características ecográficas. Creemos que, en el futuro, el desarrollo de sistemas de diagnóstico asistido por ordenador nos permitirá diferenciar más fácilmente los tumores malignos de los benignos mediante ecografía de alta frecuencia6.
Conflicto de interesesLos autores declaran no tener ningún conflicto de intereses.
Al Dr. Luis Requena Caballero, del Servicio de Dermatología del Hospital Universitario Fundación Jiménez Díaz.





