Sr. Director:
El nevus del folículo piloso es un hamartoma muy infrecuente que suele presentarse de forma congénita o en los primeros años de vida como una pápula, placa o un nódulo en la cara1-6.
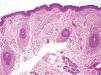
Presentamos el caso de una paciente de 16 años de edad, sin antecedentes personales de interés, que consultó por una lesión localizada en el párpado inferior del ojo derecho que estaba presente desde el nacimiento. Se trataba de una placa de 1cm × 0,5cm aproximadamente, mal delimitada, homogénea, sin orificios ni comedones en su superficie, de color de piel normal y de aspecto aterciopelado (fig. 1). La lesión era asintomática y su evolución había sido siempre estable, sin cambios bruscos en su tamaño, forma o aspecto. Se practicó un punch-biopsia de 4mm en el centro de la lesión, donde se pudo observar una neoplasia de diferenciación folicular. Se realizaron cortes seriados de toda la biopsia y en todos ellos se observó una proliferación de folículos pilosos maduros en similar estadio de diferenciación, localizados en zonas altas de la dermis reticular, inmersos en un estroma densamente celular (fig. 2). La vaina de tejido conectivo de todos los folículos presentaba un llamativo engrosamiento fibroso (fig. 3). No se encontró en toda la muestra ninguna cavidad quística central. Con las características clínicas y los hallazgos histológicos la lesión se diagnosticó de nevus del folículo piloso. Como la lesión era asintomática y a la paciente no le preocupaba desde el punto de vista estético, se decidió no extirparla y se le aconsejó consultar cualquier cambio que notara.
El nevus del folículo piloso es un raro hamartoma folicular. Se presenta como una pápula, placa o un nódulo, de color de piel normal o eritematosa y localizada en la cara. Puede tener lugar en los primeros años de vida o desde el nacimiento y generalmente no produce síntomas1,3-5.
Desde el punto de vista histológico se caracteriza por la proliferación en la parte alta de la dermis de folículos pilosos generalmente de pequeño tamaño, con un engrasamiento fibroso perifolicular, rodeados de un estroma altamente celular. En ocasiones se pueden encontrar glándulas sebáceas, glándulas ecrinas o fibras musculares, lo que motiva a considerar al nevus del folículo piloso como un auténtico hamartoma1,3.
Hasta la descripción de Pippione et al en 19846, el significado exacto del nevus del folículo piloso era incierto. Muchos de los casos descritos como nevus del folículo piloso eran casos claros de tricofoliculomas 7. También había quien consideraba estos dos términos como sinónimos de la misma neoplasia, tal y como revisan Labandeira et al en su revisión3. Incluso Ackerman et al8, en 1993, sostenían que el nevus del folículo piloso es realmente un tricofoliculoma cortado en su periferia y, por lo tanto, no se observa la cavidad quística central propia de este último. Al igual que Pippione, otros autores consideran que el nevus del folículo piloso es una lesión con suficiente entidad como para diferenciarlo del tricofoliculoma. Sugieren que para realizar un correcto diagnóstico de nevus de folículo piloso es necesario realizar cortes seriados de la pieza, para descartar la presencia de una estructura quística propia del tricofoliculoma3-6. En cualquier caso, tal y como apunta Requena9, «aunque se trate de dos lesiones diferentes, el tricofoliculoma y el nevo del folículo piloso, probablemente representan dos hamartomas foliculares estrechamente relacionados, ya que el denominado nevo del folículo piloso está constituido por diminutos folículos vellosos rodeados de un estroma similar al del tricofoliculoma».
También ha habido autores que relacionan el nevus del folículo piloso con el trago accesorio, puesto que pueden tener una histología común, a excepción de la presencia de cartílago en el caso de este último10.
Lo que sí parece cierto es que se trata de una lesión extremadamente rara. Davis y Cohen2 realizan una revisión de los 20 casos publicados hasta 1996; desde entonces hasta la última descripción de Okada et al5 han sido publicados 7 casos más.
Conflicto de intereses
Declaramos no tener ningún conflicto de intereses.





