INTRODUCCION
La mucinosis eritematosa reticular (MER) es una rara entidad caracterizada por la aparición de placas eritematosas e infiltradas en zonas de exposición solar de tórax y espalda, que con el tiempo toman un aspecto retículo-pigmentado. Tiene un claro predominio por el sexo femenino, en edades medias de la vida. Fue descrita en 1974 por Steingleder et al1 y desde entonces se han publicado unos 70 casos.
Histológicamente, presenta depósitos de mucina en dermis superficial y media, así como un infiltrado linfocitario fundamentalmente constituido por linfocitos Th12. Aunque en su inicio se describió como una dermatosis primaria, posteriormente se ha relacionado con exposición solar, alteraciones hormonales, procesos reumatológicos y neoplasias3,4.
DESCRIPCION DEL CASO
Una mujer de 26 años de edad consultó por presentar una placa eritematosa, infiltrativa, asintomática, de crecimiento continuo excéntrico, localizada en zona pretorácica, de más de 10 años de evolución. En su comienzo coincidió topográficamente con la zona de extirpación de un nevo intradérmico en la zona supramamaria izquierda. No presentaba síntomas subjetivos ni había observado relación en su crecimiento con la exposición solar.
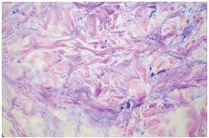
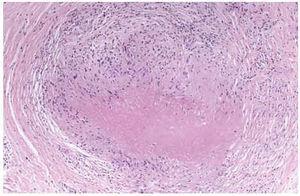
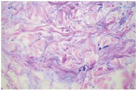
En la exploración física se observó una gran placa eritema-infiltrativa de contornos poco delimitados, que se extendía por toda la zona mamaria y supramamaria, presentando a la palpación una textura blanda y suave (figs. 1 y 2). No existían otros datos de interés en la exploración general. Los exámenes complementarios tanto hematológicos como bioquímicos fueron todos normales. Igualmente, los anticuerpos antinucleares, proteinograma e inmunoglulinas fueron normales o negativos. Otras pruebas complementarias realizadas, como la radiología de tórax y la ecografía abdominal, también estaban dentro de la normalidad. Practicada una biopsia de la zona mamaria izquierda, se observó la existencia de un infiltrado linfocitario perivascular y perianexial, que se acompañaba de evidentes depósitos de mucina en dermis superior y media (figs. 3 y 4).
Fig. 1.--Placa eritematosa reticulada infiltrada que afecta a las dos mamas, sobre todo a la izquierda, antes del tratamiento.
Fig. 2.--Detalle de mama izquierda antes del tratamiento con colchicina.
Fig. 3.--Infiltrado inflamatorio linfohistiocitario en dermis superficial y medio, de tipo perivascular y perianexial. (Hematoxilina-eosina ×40.)
Fig. 4.--Detalle del depósito de mucina entre las bandas de colágena. (Azul alcián.)
Se instauró tratamiento con protección solar e hidroxicloroquina oral (400 mg/día) con escasa respuesta y, posteriormente, con colchicina oral (200 mg/día), lo que se obtuvo a los 3 meses una notable reducción del grosor de las lesiones, así como de su extensión.
DISCUSION
La etiología de la MER sigue siendo desconocida. La acumulación de mucina en la dermis se ha relacionado con la existencia de poblaciones de dendrocitos dérmicos específicos (FXIIa +/HAS +) más que con los fibroblastos5. Así mismo, estos fibroblastos mostraron una respuesta anormal a la estimulación mediante IL-1b, citocina a menudo implicada en el metabolismo del ácido hialurónico6. Aunque la mayoría de los casos son idiopáticos, el hecho de que el factor desencadenante más frecuente haya sido la radiación lumínica justificó que algunos autores pensaran que podría tratarse de una forma especial de lupus eritematoso sistémico (LES). La observación de una inmunofluorescencia directa positiva, así como el desarrollo de un LES varios años después, apoyaban esta teoría7,8. Otros factores desencadenantes descritos han sido la menstruación, toma de anticonceptivos orales, enfermedades autoinmunes, trastornos de la función tiroidea, neoplasias de mama y tiroides e infección VIH3,4,9. La MER tiene dos formas clínicas de presentación en placas y reticulada. Mientras que en los pacientes en edad prepuberal predomina las placas infiltradas, en los adultos es más frecuente la forma reticulada. Asimismo, en los pacientes jóvenes las lesiones suelen evolucionar hacia la resolución espontánea con la sustitución del eritema por áreas pigmentadas que desaparecen en meses o años10.
El tratamiento de la MER es muy limitado. Los protectores solares, corticoides tópicos y betacarotenos orales han sido ineficaces11 La hidroxicloroquina ha demostrado eficacia en algunos casos2,4,10. Igualmente, corticoides tópicos asociados a ultravioleta B y láser de colorante pulsado consiguieron cierta mejoría de las lesiones12, mientras que la ciclosporina oral fue ineficaz13. Dada la escasa respuesta inicial que presentó nuestra paciente al tratamiento con hidroxicloroquina se inició tratamiento con colchicina, obteniendo una buena respuesta con reducción de la extensión de las lesiones14.






