INTRODUCCION
La enfermedad de Fox-Fordyce o miliaria apocrina, descrita por dichos autores en 1902, consiste en un trastorno crónico inflamatorio, de etiopatogenia poco conocida, que afecta a las áreas que poseen glándulas apocrinas como las axilas, ingles, región púbica, periné, labios mayores, areolas y ombligo. Aparece principalmente en mujeres pospuberales, entre 13 y 35 años de edad, aunque se han comunicado casos prepuberales1 y tras la menopausia. De forma ocasional se ha descrito algún caso en varones2. Se manifiesta en forma de múltiples pápulas muy pruriginosas del mismo color que la piel sana, con distribución folicular. Con la estimulación emocional o física de las glándulas apocrinas se observan exacerbaciones paroxísticas. Su tratamiento es discutido, habiéndose utilizado distintos regímenes terapéuticos, con resultados dispares y no siempre satisfactorios.
DESCRIPCION DEL CASO
Una mujer de 16 años de edad, sin antecedentes familiares ni personales de interés, que consultó por presentar, desde hacía aproximadamente 3 meses, lesiones papulosas hiperqueratósicas perifoliculares, de 1-2 mm de diámetro, en axilas, formando placas de límites bien definidos, de forma bilateral y simétrica (fig. 1). Estas lesiones eran levemente pruriginosas. Se observaba una disminución del vello axilar. Existían también lesiones similares menos llamativas en areolas mamarias y región púbica. Se realizó biopsia cutánea de las lesiones axilares, que mostró espongiosis en el punto de entrada de la glándula apocrina en el epitelio infundibular, coincidiendo con un tapón córneo suprayacente, y un ligero infiltrado inflamatorio perifolicular (figs. 2 y 3). No presentaba ningún trastorno en las hormonas sexuales ni estaba tomando anticonceptivos orales. Dada la escasa sintomatología, se mantuvo una actitud conservadora y se pautó corticoterapia tópica en caso de cursar con prurito.
Fig. 1.--Pápulas de distribución folicular en la axila.
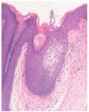
Fig. 2.--Piel axilar en la que se observa un foco de espongiosis en el epitelio indundibular. (Hematoxilina-eosina ×20.)
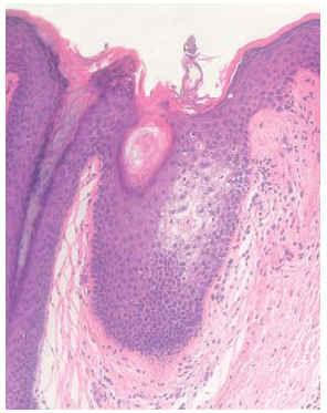
Fig. 3.--Espongiosis en el punto de entrada de la glándula apocrina en el epitelio infundibular, que coincide con un tapón córneo suprayacente, y un ligero infiltrado inflamatorio perifolicular. (Hematoxilina-eosina ×100.)
DISCUSION
La enfermedad de Fox-Fordyce es un trastorno infrecuente de etiopatogenia poco clara. Parece atribuirse un importante papel a la obstrucción del conducto excretor de la glándula apocrina3, que llevaría a la retención del sudor, rotura del sistema excretor distendido e inflamación secundaria. Sin embargo, Hurley y Shelley4 realizaron un estudio en el cual se bloqueaba el conducto apocrino en voluntarios sanos, produciéndose una dilatación de la glándula apocrina, demostrada histológicamente, pero sin ninguna repercusión clínica. Deben, por tanto, existir otros factores que intervengan en el proceso, aún desconocidos. Se han involucrado elementos genéticos, endocrinos, metabólicos o ambientales, sin que exista evidencia a favor de ninguno de ellos. El papel hormonal parece claro, ya que el cuadro aparece tras la pubertad, y las mujeres se ven afectadas con una frecuencia nueve veces superior a los hombres. Asimismo, se ha descrito una mejoría en el embarazo, debida probablemente a la reducción de la producción apocrina presente durante la gestación, pero no se han encontrado las claves hormonales que regulan todos estos procesos, y en la mayoría de las pacientes no se encuentra ninguna alteración hormonal ni metabólica.
El diagnóstico de este trastorno se basa en la sospecha clínica y se confirma mediante biopsia. Histopatológicamente, los hallazgos típicos consisten en hiperqueratosis ortoqueratósica del conducto excretor apocrino intradérmico, con obstrucción del orificio de salida por tapones ortoqueratósicos, que se acompañan de un infiltrado inflamatorio perifolicular, predominantemente formado por linfocitos. Puede verse dilatación de la glándula apocrina, acantosis epidérmica y espongiosis en la pared del infundíbulo folicular. Este último hallazgo se ha considerado como específico en el diagnóstico5,6. Se ha propuesto la realización de cortes transversos seriados de las piezas de biopsia para asegurar el diagnóstico5, ya que en ocasiones en el examen anatomopatológico convencional con cortes verticales pueden no encontrarse los hallazgos característicos de este trastorno.
Se han utilizado distintos regímenes terapéuticos para este trastorno, con resultados dispares. Estos incluyen tratamientos hormonales (estrógenos, anticonceptivos orales), corticoides tópicos, intralesionales o sistémicos, retinoides tópicos o sistémicos, clindamicina tópica, radiación UV o incluso procedimientos quirúrgicos2,7-15.





