La milia son quistes epidérmicos benignos, que pueden presentarse en forma aislada o asociados a otros hallazgos clínicos. Si estas lesiones se encuentran agrupadas sobre una base eritematosa se denominan milia en placa (MEP).
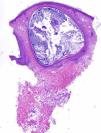
Presentamos el caso de un varón de 48 años de edad, con antecedentes de adenocarcinoma de pulmón con metástasis cerebrales, que recibió tratamiento paliativo con radioterapia holocraneal que incluye a los pabellones auriculares a dosis de 30Gy en 10 fracciones (2 campos laterales y opuestos conformados de fotones sobre el sistema nervioso central; la dosis total que reciben los pabellones auriculares se calcula que está entre 20-25Gy). Acudió por presentar lesiones en la cara posterior de ambos pabellones auriculares de 3 meses de evolución, asintomáticas. Había padecido alguna lesión similar aislada desde la juventud, pero habían aparecido múltiples lesiones un mes después de recibir radioterapia. A la exploración clínica se observaron múltiples pápulas blanquecinas milimétricas, de superficie brillante, agrupadas sobre una base eritematosa, bilaterales y localizadas en los pabellones auriculares (figs. 1 y 2). Se realizó una biopsia en sacabocados que evidenció un quiste folicular infundibular, con queratina ortoqueratósica en su interior (fig. 3). En función de los antecedentes personales y los hallazgos clínicos e histológicos se diagnosticó MEP posradioterapia.
La MEP es una entidad poco común, cuya primera descripción fue realizada por Balzer y Fouquet en 1903, quienes hicieron referencia a quistes de millium agrupados en la región posterior del pabellón auricular. En 1978, Hubler et al. denominaron a la entidad como MEP1.
Habitualmente afecta a adultos de edad media con un leve predominio en las mujeres (3:1). Clínicamente se manifiesta como pápulas blanco-amarillentas agrupadas sobre una base eritematosa, asintomáticas, con prurito ocasional2,3. Los sitios que suelen verse afectados son el lóbulo de la oreja, la región preauricular, periocular2, la nariz y las extremidades4.
Los quistes pueden aparecer de forma espontánea (milia primaria)5 o después de diferentes procesos (milia secundaria) tales como los traumatismos repetidos, tratamientos tópicos con corticoides o con 5-fluoruracilo, crioterapia6, quimioterápicos (6-mercaptopurina)4 y la radioterapia, como el paciente que presentamos7. En la literatura se han descrito 2 casos de MEP que se desarrollaron tras recibir radioterapia; en ambos casos las lesiones aparecieron en la piel normal que recibió radioterapia7,8.
En la literatura se han descrito alteraciones foliculares por quimioterápicos especialmente con los fármacos que tienen como diana el receptor del factor de crecimiento epidérmico (EGFR). Pero las alteraciones por quimioterápicos más frecuentes descritas en la literatura se producen en la glándula o el ducto ecrino en forma de siringometaplasia escamosa ecrina. Creemos que en nuestro caso los quimioterápicos no son relevantes en la patogenia pues no se encontraron lesiones fuera del campo de radiación4.
En la histología se evidencian pequeños quistes en la dermis, que contienen queratina ortoqueratósica revestida por un epitelio escamoso con capa granulosa, acompañados de un leve infiltrado perivascular mixto o de linfocitos2,4.
La patogenia de las lesiones de milia en placa es desconocida, aunque se puede presuponer un daño en el infundíbulo folicular, en nuestro caso debido a un efecto directo por la radioterapia sobre el epitelio folicular. En otros casos puede ser debido a múltiples causas que pueden afectar de algún modo el epitelio folicular, como las dermoabrasiones, el 5-fluorouracilo, el acitretin o el daño solar6.
Los diagnósticos diferenciales que se deben plantear son el nevo comedoniano, el tricoadenoma de Nikolowski, el esteatocistoma múltiple, el síndrome de Favre-Racouchot, la mucinosis folicular y la micosis fungoide foliculotropa9. Song JC et al. publicaron un caso de metástasis cutánea de carcinoma de glándula parótida con aspecto milialike10. La metástasis cutánea debe ser un diagnóstico a considerar aunque la ausencia de atipia en el estudio histopatológico del paciente que presentamos ayudó a excluir este diagnóstico.
El tratamiento se puede plantear en aquellos pacientes que tienen algún síntoma o por motivos estéticos. En la literatura se describen múltiples tratamientos con resultados satisfactorios tales como retinoides tópicos, crioterapia, electrocoagulación, radiofrecuencia, láser de CO22, escisión quirúrgica, tetraciclinas orales y terapia fotodinámica3,9. Dado el carácter benigno de la enfermedad y ante la falta de molestia estética, nuestro paciente no fue candidato a recibir tratamiento.
En conclusión, la MEP es una rara entidad, de fácil diagnóstico, aunque en la mayoría de los casos no se detecta una causa. En nuestro caso, el antecedente reciente de exposición a radioterapia, con una relación temporal plausible, nos sugiere una relación causal.





