INTRODUCCION
Las metástasis cutáneas son un hecho infrecuente y tardío en la enfermedad neoplásica1. La localización acral es especialmente atípica. En esta región anatómica a menudo los implantes tumorales son primariamente óseos, con extensión cutánea posterior2,3.
Se presenta el caso de una paciente diagnosticada de adenocarcinoma renal en los meses previos que consultó por eritema y tumefacción del extremo distal del segundo dedo de la mano izquierda.
DESCRIPCION DEL CASO
Mujer de 67 años diagnosticada en junio de 2002 de adenocarcinoma renal diseminado con metástasis cerebrales y pulmonares y una hipercalcemia grave por lo que el servicio de oncología decidió entonces instaurar tratamiento paliativo estricto, con esteroides y pamidronato (hipocalcemiante).
En octubre de 2002 nos consultan porque la paciente presentaba una tumefacción en el segundo dedo de la mano izquierda, escasamente dolorosa, de 4 días de evolución. Estaba afebril y no refería ningún antecedente traumático.
En la exploración se observaba un engrosamiento marcado del extremo distal del segundo dedo de la mano izquierda con una coloración eritematoviolácea (figs. 1 y 2). Era levemente dolorosa a la palpación, apreciándose una consistencia gomosa del pulpejo del dedo afectado sin observarse fluctuación. El resto de los dedos no mostraban hallazgos patológicos.
Fig. 1.--La paciente consultó por tumefacción en el segundo dedo de la mano izquierda, escasamente dolorosa, de 4 días de evolución. No había antecedente traumático.
Fig. 2.--Engrosamiento marcado del extremo distal del dedo, con una coloración eritematoviolácea.
Se procedió a la punción del área afectada sin obtenerse material purulento, aunque se remitió muestra del exudado para cultivo microbiológico. A pesar de que el cultivo fue negativo se instauró tratamiento empírico con ciprofloxacino y fluconazol sin mejoría aparente. La bioquímica y el hemograma no revelaron datos patológicos.
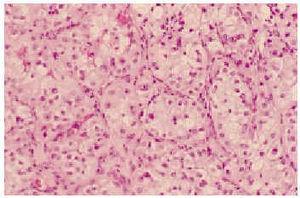
Se solicitó una radiografía de la mano izquierda en la que se observaba una lesión lítica que destruía totalmente el extremo distal de la tercera falange del segundo dedo (fig. 3). Con la sospecha clínica de lesión de origen tumoral, muy probablemente metastásica, se efectuó una biopsia cutánea del pulpejo en la que se observaba en la dermis profunda una infiltración por un carcinoma de células claras. El tumor se disponía en nidos sólidos separados por finos septos de estroma vascularizada (fig. 4), formando luces las cuales contenían abundantes hematíes, hallazgo éste muy característico de los carcinomas renales. Las células presentaban un citoplasma claro y vacuolado y núcleos vesiculosos con macronucléolos (fig. 5). Con esta histología y dados los antecedentes clinicopatológicos de la paciente, se estableció el diagnóstico de metástasis acral digital ósea por adenocarcinoma renal, con afectación cutánea secundaria.
Fig. 3.--En la radiografía se observaba una lesión lítica que destruía totalmente el extremo distal de la tercera falange del segundo dedo.
Fig. 4.--En la biopsia cutánea se observaba en dermis profunda una infiltración por un carcinoma de células claras. El tumor se disponía en nidos sólidos separados por finos septos de estroma vascularizada.
Fig. 5.--Las células presentaban un citoplasma claro y vacuolado y núcleos vesiculosos con macronucléolos.
DISCUSION
Las metástasis cutáneas resultan de la colonización de la piel por células malignas que llegan a través de la sangre o de la linfa. La probabilidad de que un tumor maligno metastatice a piel aumenta si la lesión es anaplásica y de larga evolución. Los tumores primarios que metastatizan con mayor frecuencia a la piel son mama, estómago, pulmón, útero, intestino grueso, riñón, próstata, ovario, hígado y hueso1.
Las metástasis cutáneas acrales son muy infrecuentes. Las metástasis en las manos representan algo más del 0,1 % del total de la metástasis2,3. Es más frecuente que se produzca en primer lugar la invasión ósea, con extensión posterior a la piel, como es el caso de nuestra paciente, que la afectación inicialmente cutánea3-6. Los tumores que metastatizan a la mano son, en orden de frecuencia, pulmón (50 %), mama (15 %) y riñón (14 %)2-6.
En las metástasis óseas que secundariamente se extienden a piel el dedo aparece rojizo o azulado en su parte distal, doloroso, fluctúa y muestra la característica deformidad en maza. La uña a menudo está afectada, produciendo onicólisis. La radiografía es concluyente, y en ella se observa claramente la afectación ósea3-5.
Cuando las metástasis afectan primariamente a la piel aparecen como nódulos eritematosos de consistencia variable no adheridos a los tejidos profundos. A diferencia de las metástasis primariamente óseas con extensión posterior a piel no causan deformidad del dedo3,5,7.
Las diferencias entre ambos tipos de metástasis acrales están esquematizadas en la tabla 1.
El diagnóstico diferencial clínico de las metástasis cutáneas acrales primariamente óseas incluye las paroniquias de etiología infecciosa, los panadizos herpéticos, la osteomielitis, la tuberculosis8-10, las reacciones por cuerpo extraño, los hematomas y las paroniquias asociadas a quimioterápicos11.
En esta discusión debe considerarse también el diagnóstico diferencial anatomopatológico de las lesiones que cursan con proliferación de células claras12,13.
Los carcinomas metastásicos de células claras derivan típicamente del riñón, pero otras fuentes incluyen neoplasias de pulmón, hígado y carcinomas de células claras de origen mesonéfrico. El tumor se compone de cordones y en ocasiones es de estructuras tubulares formadas por células claras y uniformes que contienen lípidos y glucógeno. La estroma suele ser delicada y altamente vascular, lo que contribuye a las características clínicas de estas metástasis. Es muy característico del adenocarcinoma renal la tendencia a constituir luces (patrón alveolar), así como la presencia en éstas de abundantes hematíes, hasta el punto de que, en ausencia de tumor renal primario conocido, y ante esta imagen histológica, estaríamos obligados a descartarlo. Este rasgo histológico no está presente en ninguno de los otros tumores con los que puede plantearse el diagnóstico diferencial. El tumor renal original exhibe a menudo rasgos diferentes en la tinción con hematoxilina-eosina o en la inmunohistoquímica, debido a que son tumores altamente heterogéneos y los clones que metastatizan son los más agresivos.
El carcinoma de células escamosas (variedad de células claras) es un tumor infrecuente que se localiza primariamente en cabeza y cuello, a menudo en varones ancianos con antecedentes de exposición solar. Las células claras aparecen como focos en el seno de un tumor por lo demás típicamente escamoso y ocupan la mayor parte de la lesión. Generalmente las células claras son el resultado de la acumulación de glucógeno, pero también pueden estar causadas por degeneración hidrópica.
El carcinoma sebáceo se caracteriza por múltiples lóbulos irregulares compuestos por una mezcla de células basaloides y células sebáceas maduras. Las células tumorales maduras tienden un núcleo redondo y oval, a menudo con múltiples nucléolos eosinofílicos. El pleomorfismo, la necrosis y la actividad mitótica son hechos variables. Si la naturaleza espumosa del citoplasma no se aprecia puede surgir la confusión con los tumores de células claras.
El hidradenocarcinoma de células claras es un tumor infrecuente con predilección por la cara y extremidades. Se compone de una población epitelial pleomórfica y con actividad mitótica variable que presenta focalmente diferenciación ductal. Las células presentan un citoplasma vacuolado que define a esta variedad de hidradenocarcinoma.
Otra entidad con la que es necesario hacer diagnóstico diferencial es el melanoma amelanótico, que histológicamente se presenta con celularidad epitelioide o fusiforme sin pigmento, lo que puede dificultar el diagnóstico, en particular en las lesiones metastásicas. En estos casos la inmunohistoquímica con S-100 resulta imprescindible.
El sarcoma de células claras, también conocido como melanoma maligno de los tejidos blandos, es un tumor raro que a menudo afecta a los tejidos blandos de las áreas distales de los miembros de adultos jóvenes. La afectación cutánea es excepcional. Histológicamente consiste en nidos y fascículos de células fusiformes o epitelioides con citoplasma eosinófilo o claro. Las similitudes con el melanoma maligno son numerosas: el núcleo suele ser grande y vesiculoso con un nucléolo eosinófilo prominente. A menudo hay melanina y las células tumorales expresan S-100 y HMB-45.








