INTRODUCCION
El lupus miliar diseminado de la cara (LMDF), también llamado acné agminata, es una enfermedad granulomatosa, de curso crónico, que generalmente afecta a adolescentes y adultos jóvenes de ambos sexos. El LMDF es infrecuente en nuestro medio, pero especialmente prevalente en Japón 1,2. Se caracteriza por pápulas asintomáticas de pocos milímetros, que tienden a localizarse en el área central de la región facial. Su imagen histológica característica se corresponde con granulomas epitelioides con necrosis 3. Su asociación con quistes epidérmicos se ha descrito muy rara vez en la literatura médica.
Se presenta un caso de LMDF asociado a quistes epidérmicos en una paciente de raza blanca.
DESCRIPCION DEL CASO
Una mujer de 27 años de edad, de raza caucasiana, de nacionalidad española, acudió a nuestra consulta por la presencia de múltiples pápulas eritematosas y asintomáticas que se localizaban en la zona central de la cara. Refería que habían aparecido de forma progresiva desde hacía un año y que, junto a estas lesiones, había observado la aparición simultánea de pápulas amarillentas asintomáticas. A pesar de realizar tratamiento con doxiciclina 200 mg/día durante 3 meses las lesiones permanecían estables. No refería historia personal ni familiar de tuberculosis. En la exploración física se observaban múltiples pequeñas pápulas eritematosas parduscas, de tamaño variable entre 1 y 3 mm. Las lesiones se localizaban fundamentalmente en los párpados superior e inferior, mejillas y región perioral. Algunas de estas lesiones se encontraban adyacentes a unas pápulas amarillentas de 1 a 3 mm de diámetro, fundamentalmente en los párpados (figs. 1 y 2).
Fig. 1.--Pápulas eritematosas y amarillentas localizadas en la región central del área facial.
Fig. 2.--Detalle de pápulas amarillentas en párpado inferior izquierdo.
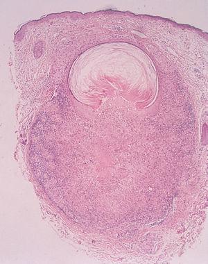
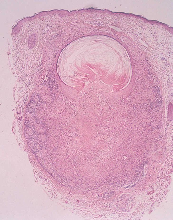
Los estudios de bioquímica sanguínea, hemograma y radiografía de tórax estaban dentro de la normalidad. La prueba de Mantoux fue negativa. El estudio histológico, que incluía los dos tipos de lesiones descritas, mostraba un granuloma tipo tuberculoide, bien definido, con necrosis central y un infiltrado de linfocitos alrededor de un pequeño quiste epidérmico roto. La necrosis caseosa estaba en contacto con el contenido del quiste (fig. 3). Se realizó otra biopsia de una pápula eritematosa, donde se observaba de forma aislada un granuloma tipo tuberculoide con necrosis central (fig. 4). La tinción de Ziehl fue negativa. Tras la exploración física, el estudio histológico y las pruebas complementarias para excluir otras enfermedades granulomatosas, se estableció el diagnóstico de LMDF.
Fig. 3.--Biopsia de una lesión de la figura 2. Se observa un granuloma tuberculoide con necrosis central, un infiltrado linfocítico en contacto con un quiste epidérmico roto y necrosis caseosa íntimamente asociada al contenido del quiste. (Hematoxilina y eosina, x4.)
Fig. 4.--Biopsia de una pápula eritematosa. Granuloma tuberculoide aislado con necrosis. (Hematoxilina y eosina, x4.)
El tratamiento con 30 mg/día de prednisona y 0,75 mg/kg/día de isotretinoína consiguió la desaparición de las lesiones inflamatorias en 2 meses. El tratamiento con isotretinoína se suspendió a los 4 meses y la dosis de corticoides se redujo gradualmente hasta 5 mg/día alternos, permaneciendo así la paciente sin lesiones inflamatorias, aunque persistían las pápulas amarillentas. Posteriormente se realizó la escisión de los quistes.
COMENTARIO
El LMDF es una enfermedad granulomatosa de patogenia desconocida. Inicialmente se pensó que era una variante del lupus vulgar, una tubercúlide o una forma micropapulosa de tuberculosis 4. Algunos autores han sugerido que podría tratarse de una reacción por cuerpo extraño, pero los estudios de inmunohistoquímica han detectado una gran actividad lisosómica en el LMDF y no en las reacciones granulomatosas por cuerpo extraño, por lo que concluyen que son entidades diferentes y que el LMDF se podría producir por un mecanismo inmunológico asociado a inmunidad celular 5. En la actualidad, la mayoría de los autores consideran el LMDF como una forma papular de rosácea 6, aunque su curso y clínica le distinguen de la rosácea clásica 7, ya que la rosácea tiene más prevalencia en el sexo femenino, las lesiones se localizan en zonas más periféricas, se asientan en un eritema con telangiectasias persistentes y tiene escasa afectación palpebral.
La hipótesis etiopatogénica más aceptada es que el LMDF se produciría por una reacción granulomatosa por rotura de unidades pilosebáceas, en la que la caseosis central es considerada una forma de necrosis por coagulación 3,6. Se han observado granulomas epitelioides y necrosis caseosa adyacente o conectada al epitelio folicular, entre los lóbulos de las glándulas sebáceas o en la vecindad de fragmentos de estructuras pilosebáceas desestructuradas 3. En un estudio que defiende esta hipótesis, se realizaron biopsias de lesiones iniciales de LMDF, que mostraban un infiltrado perivascular y perianexial, de lesiones maduras, donde se observaba rotura de la pared folicular con granulomas epitelioides perifoliculares y de lesiones tardías, que mostraban una extensa fibrosis, especialmente en áreas perifoliculares 4.
El LMDF se ha descrito ocasionalmente en asociación con quistes epidérmicos hasta el momento únicamente por autores japoneses 8-11. En nuestra paciente, los quistes y las lesiones de LMDF estaban íntimamente asociados y la necrosis caseosa estaba directamente conectada a la queratina del quiste. Estos hallazgos sugieren que el LMDF podría ser una reacción granulomatosa al contenido del quiste epidérmico roto, que se libera en la dermis. Sin embargo, la observación de lesiones de LMDF y quistes epidérmicos, aparentemente clínica e histológicamente independientes, nos hace pensar que probablemente existan otros factores que contribuyan a la patogenia del LMDF.






