INTRODUCCION
El lupus eritematoso es una enfermedad inflamatoria crónica heterogénea con una amplia variedad de manifestaciones cutáneas. Clínicamente se clasifica en el grupo de las conectivopatías, e histopatológicamente en el grupo de las dermatitis de patrón liquenoide.
Más del 50 % de los pacientes con lesiones de lupus eritematoso cutáneo subagudo tienen un lupus eritematoso sistémico (LES), y del 7 al 21 % de los pacientes con LES tienen lesiones de lupus eritematoso cutáneo subagudo (LECS). Las lesiones cutáneas de este grupo de pacientes pueden llegar a ser muy intensas, de forma que predomine una extensa necrosis cutánea. Se presentan 2 casos de LES que se manifestaron con intensas lesiones de LECS.
DESCRIPCION DE LOS CASOS
Caso 1
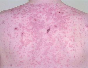
Un hombre de 42 años de edad, con antecedentes personales de tuberculosis pulmonar, fumador de un paquete al día, ulcus duodenal, ex alcohólico y con distonía ocular derecha. Recibía tratamiento únicamente con omeprazol desde hacía años. Acudió a nuestra consulta por presentar, desde hacía un mes, unas lesiones muy pruriginosas que comenzaron en las mejillas y se extendieron posteriormente al resto de la cabeza, zona del escote y parte alta de la espalda (fig. 1). El paciente había sido tratado con doxiciclina, cinc y corticoides tópicos potentes, sin mejoría clínica.
Fig. 1.--Caso 1. Exantema formado por pápulas y placas eritematosas violáceas, con algunas costras superficiales en el tronco.
En la exploración física se apreciaba una erupción cutánea constituida por pápulas y placas eritematosas violáceas, con descamación discreta y algunas costras necróticas, en la cabeza y el tronco. Entre las pruebas complementarias destacaban: leucocitos, 3.900 (normal: 5.000-10.000), con 12,2 % de linfocitos (normal: 18-45); triglicéridos, 252 mg/dl (normal: 50-200); C3 de 43,2 mg/dl (normal: 79-152); C4 de 12,2 mg/dl (normal: 16-38); properdina factor B del complemento de 17,4 mg/dl (normal: 19-50), título de anticuerpos antinucleares (ANA) positivo con patrón granular de 1/640, autoanticuerpos anti-ENA positivos (Anti-RNP/Sm, Anti-Sm, Anti-RNPA, Anti-RNPC, Anti-SmB y Anti-SmD, con el resto negativos) y autoanticuerpos anti-ADN positivos de más de 29,9 U/ml (normal: 0-15). El resto de los resultados analíticos, así como las serologías para virus de las hepatitis B y C (VHB, VHC), de la inmunodeficiencia humana (VIH), pruebas reagínicas de serología luética (VDRL) y fosfatasa alcalina-Abs resultaron normales o negativos.
En la radiografía de tórax se observaron unas lesiones nodulares milimétricas de alta densidad en ambos vértices pulmonares, acompañadas de tractos fibrosos cicatrizales relacionadas con su proceso tuberculoso previo. El electrocardiograma mostró la existencia de un aleteo auricular con bloqueo auriculoventricular 2:1. El ecocardiograma con Doppler puso de manifiesto un ventrículo izquierdo dilatado con función sistólica ligeramente deprimida, con válvulas normales y sin derrame pericárdico. El paciente fue diagnosticado de miocardiopatía dilatada, de probable origen etílico.
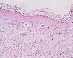
Se realizó una biopsia de las lesiones cutáneas. El estudio histopatológico con hematoxilina-eosina mostró una epidermis con ligera hiperqueratosis, con algunos focos de paraqueratosis, un estrato espinoso adelgazado y una intensa degeneración vacuolar de la capa basal. También existían algunos queratinocitos necróticos aislados. En la dermis aparecía un infiltrado inflamatorio perivascular de linfocitos e histiocitos, con depósitos basófilos de mucina (fig. 2). En el estudio con inmunofluorescencia directa se observaba un depósito lineal de C3, IgG e IgM a lo largo de la membrana basal. Con todos estos hallazgos, nuestro paciente fue diagnosticado de LES de presentación cutánea subaguda.
Fig. 2.--Caso 1. Degeneración vacuolar de la capa basal, queratinocitos necróticos y atrofia de la epidermis. (Hematoxilina-eosina, x100.)
Caso 2
Una mujer de 30 años de edad, con antecedentes personales de artritis reumatoide, psoriasis estable en placas y síndrome ansioso-depresivo, en tratamiento con diazepam, refería la aparición de unas lesiones cutáneas pruriginosas en relación con la exposición solar, de 15 días de evolución, localizadas en la cara y en el tronco. Se estaba tratando con corticoides orales en dosis bajas y antihistamínicos, sin mejoría. La paciente reveló que sufría una caída de cabello intensa y difusa desde hacía unos meses, y unas aftas orales muy dolorosas; se había recuperado de ambos cuadros.
En la exploración física presentaba una erupción cutánea formada por pápulas y placas eritematosas, con costras profundas, de aspecto cicatrizal, en las mejillas, la vértebra torácica y la parte alta de la espalda (fig. 3). En las determinaciones analíticas destacaban las siguientes alteraciones: leucocitos normales con linfopenia relativa de 13,4 % (normal: 18-45), transaminasa glutamicooxalacética (GOT) de 55 U/l (normal: 10-40), proteínas totales de 6,3 g/dl (normal: 6,6-8,3), triglicéridos de 225 mg/dl (normal: 50-200), C3 de 70,6 mg/dl (normal: 79-152), C4 de 10,7 mg/dl (normal: 16-38), properdina factor B del complemento de 17,6 mg/dl (normal: 19-50), título de ANA positivo con patrón granular de 1/640, autoanticuerpos anti-ENA positivos (anti-SSA/Ro, anti-SSB/La, anti-RNP/Sm, anti-Sm, anti-RNPA, anti-RNPC, anti-SmB y anti-SmD, con el resto negativos) y autoanticuerpos anti-ADN nativo de 313 U/ml (normal: 0-15). El estudio de los anticuerpos antifosfolípidos mostró anticuerpos anticardiolipina IgG 3,56 GPL U/ml (normal: 0-10) y anticuerpos anticardiolipina IgM 8,54 MPL U/ml (normal: 0-7). Los inmunocomplejos circulantes fueron positivos, 26,06 g/ml (normal: 0-4) y las inmunoglobulinas normales excepto la IgA, que fue de 496 mg/dl (normal: 82-453). El resto de resultados analíticos y serologías resultaron normales o negativos.
Fig. 3.--Caso 2. Exantema formado por placas eritematosas con costras necróticas en la cara anterior del tronco.
La radiografía torácica no mostró alteraciones significativas. La biopsia de una de las lesiones demostró una epidermis con ligera hiperqueratosis ortoqueratósica, con el estrato espinoso adelgazado, una degeneración vacuolar de la capa basal y abundantes queratinocitos necróticos. En la dermis, los vasos superficiales estaban dilatados y rodeados de un infiltrado inflamatorio de linfocitos e histiocitos. El estudio con inmunofluorescencia reflejó un depósito lineal de IgG, C3 e IgA a lo largo de la membrana basal.
Con todos estos hallazgos se diagnosticó a la paciente de LES de presentación cutánea subaguda.
COMENTARIO
El lupus eritematoso es una enfermedad autoinmune que afecta a la piel y/o a los órganos internos. Desde el punto de vista cutáneo, el lupus eritematoso se clasifica en manifestaciones específicas de lupus y manifestaciones inespecíficas. Entre las manifestaciones cutáneas específicas se encuentran las dos formas clínicas de LECS: la forma anular policíclica y la forma papuloescamosa o psoriasiforme 1. Tanto una forma como la otra pueden presentar un intenso componente de necrosis epidérmica que origina el desarrollo de úlceras necróticas. A menudo, las lesiones producen alteraciones de la pigmentación, pero no se desarrollan ni cicatrices ni atrofia cutánea. De hecho, se han descrito pacientes con una afectación cutánea tan intensa que se diagnosticaron inicialmente de una necrolisis epidérmica tóxica en ausencia de enfermedad del tejido conjuntivo subyacente 2.
El LECS predomina en la mujer. Es típicamente fotosensible, y las lesiones se limitan a la piel fotoexpuesta. Hay estudios que lo asocian a una mayor incidencia de haplotipos HLA-B8 y HLA-DR3, especialmente cuando tiene características que se superponen con el síndrome de Sjögren. Una característica importante del LECS es la presencia de autoanticuerpos anti-Ro en la mayoría de los pacientes.
Desde el punto de vista histopatológico es posible orientar el diagnóstico de las diferentes manifestaciones específicas del lupus eritematoso (agudo, subagudo o crónico). Se analizan la hiperqueratosis, la atrofia de la epidermis, la degeneración vacuolar de la capa basal, la presencia de queratinocitos necróticos, el infiltrado inflamatorio, el depósito de mucina y la banda lúpica. El test de la banda lúpica, es decir, la presencia en la unión dermoepidérmica de IgG, IgM, IgA y C3 no se incluye entre los criterios diagnósticos del LES. El motivo es la positividad de esta banda en otras enfermedades, como la esclerodermia, la artritis reumatoide, la dermatomiositis, la polimiositis, el síndrome de Sjögren y la enfermedad de Raynaud. Esta prueba es positiva en el 100 % de los casos de piel lesionada por lupus eritematoso cutáneo agudo y en el 90 % de los casos de piel sana fotoexpuesta 3,4. El depósito de IgA en la unión dermoepidérmica se ha asociado con mayor frecuencia a los casos de LECS que posteriormente desarrollan un LES, como el caso de nuestra paciente 5.
Todos los tipos de lupus cutáneo pueden asociarse a un LES, pero la frecuencia de esta relación varía de una forma a otra de lupus cutáneo 1-7. Así, el 90 % de los pacientes con un lupus eritematoso cutáneo agudo tienen o tendrán un LES. Sin embargo, sólo del 16 al 61 % de los LES presentan lesiones de LECS. Más del 50 % de los pacientes con lesiones de LECS, con los años, desarrollan un LES, y del 7 al 21 % de los pacientes con LES tienen lesiones de LECS. En cuanto al lupus eritematoso cutáneo crónico (LECC), se ha descrito que del 15 al 20 % de los pacientes con LES presentan lesiones de LECC, y que del 10 al 20 % de los pacientes con LECC tienen o tendrán un LES. Debemos tener en cuenta que no existe ningún parámetro para predecir la evolución clínica de los pacientes.
En muchas series, como ya hemos comentado, el 50 % de los pacientes con lesiones típicas de LECS cumplen cuatro o más criterios de la American Rheumatologist Association (ARA) para el LES. Sin embargo, las manifestaciones sistémicas son, principalmente, musculoesqueléticas y constitucionales. Por ello, se puede considerar que el LECS es un marcador de enfermedad sistémica benigna. En un estudio, la mitad de los pacientes con LECS presentaron una afectación sistémica grave 6. En concreto, dicho estudio mostró que los hombres con lesiones cutáneas de tipo papuloescamoso presentaron mayor riesgo de padecer LES grave 6. En otro estudio, se llegó a la conclusión de que las variables más significativas a la hora de predecir qué pacientes con lesiones típicas de LECS podrían desarrollar un LES eran los signos de nefropatía, la presencia de artralgias y títulos de ANA ≥ 1/320 7.
Los autoanticuerpos anti-ADNds no son útiles para diferenciar el LES del LECS. Son mucho más característicos del LES idiopático, pero estos autoanticuerpos se han hallado hasta en el 20 % de los pacientes con LECS/LECC, aunque a títulos bajos, mientras que el 39-55 % de los pacientes con LES los presentan, y ello indica mayor riesgo de padecer nefritis lúpica. La presencia de anti-ADNds no indica transición de una forma cutánea de lupus eritematoso a LES. Los ANA no son específicos del lupus eritematoso, ya que pueden hallarse en otras enfermedades reumáticas y no reumáticas. Los ANA están presentes en el 60-80 % de los pacientes con LECS, y en casi todos los pacientes con LES. Sin embargo, en concentraciones elevadas, indican riesgo de padecer LES. Los títulos elevados de anticuerpos anti-Ro/SSA son típicos del LECS, y se encuentran en el 45 y el 100 % de los pacientes. Y en el caso del LES, el porcentaje varía, según los estudios, entre el 25 y el 50 %.








 
 
		
