INTRODUCCION
La lepra es una enfermedad granulomatosa crónica, causada por Mycobacterium leprae, que afecta principalmente a la piel y los nervios periféricos. Aunque ha sido una enfermedad prevalente en la mayoría de países, desapareció en muchos de ellos, incluido el norte de Europa, mucho antes de que se desarrollara un tratamiento eficaz. Sin embargo, al final del siglo xx, la lepra era todavía una enfermedad endémica en países en vías de desarrollo, afectando sobre todo a los estratos más pobres de estas sociedades 1,2. Actualmente es endémica en 28 países, encabezados por India y Brasil 3.
El creciente fenómeno de inmigración que está sufriendo Europa durante los últimos años hace que se diagnostiquen enfermedades que raramente habían sido detectadas desde hacía décadas. Lejos de considerarse eliminada como problema de salud, la lepra todavía causa una morbilidad importante a largo plazo, tanto en los países desarrollados como en aquellos en vías de desarrollo.
Presentamos 2 casos de lepra diagnosticados en un periodo de 5 meses en nuestra ciudad, Valladolid, en 2 pacientes inmigrantes. La última vez que se había declarado un caso de lepra en Castilla y León fue hace 20 años.
DESCRIPCION DE LOS CASOS
Caso 1
Un paciente de 33 años, originario de Ecuador y residente en España desde hacía 7 meses, acudió a nuestra consulta en julio de 2003 por presentar unas lesiones cutáneas eritematosas que comenzaron en tórax anterior y posteriormente se extendieron a la cara y las extremidades. Las lesiones habían comenzado un año antes de la consulta y eran asintomáticas. No había tomado ninguna medicación ni se había aplicado ningún tratamiento tópico.
Por lo demás el paciente tenía buen estado general, sin antecedentes personales de interés. En cuanto a los antecedentes personales, afirmó tener un familiar en Ecuador afectado de lepra (tío materno).
En la exploración presentaba numerosas placas eritematosas, infiltradas, alopécicas y mal delimitadas, de diverso tamaño, distribuidas en tronco y cara (fig. 1).
Fig. 1.--Placas eritematosas, alopécicas e infiltradas en cara. Aspecto de facies leonina.
Los exámenes de laboratorio que incluyeron velocidad de sedimentación globular (VSG), proteína C reactiva (PCR), funciones renal y hepática, y hemograma no mostraron ninguna alteración. Se practicó radiografía de tórax sin observar ningún hallazgo de interés. También se realizó una exploración neurológica completa en la que se observó una ligera disminución de la sensibilidad térmica en las zonas afectadas, siendo el resto normal.
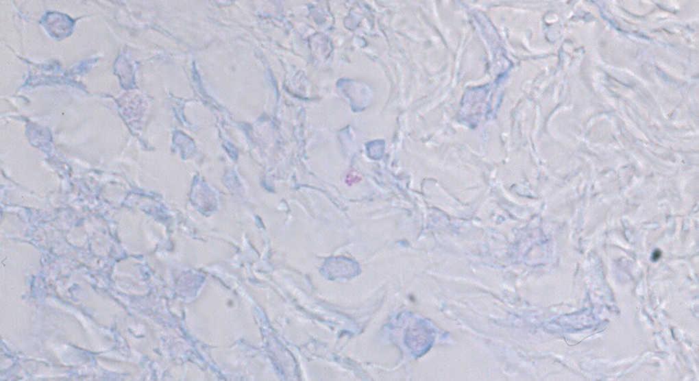
Se practicó biopsia de una de las placas observándose un denso infiltrado inflamatorio compuesto en su mayoría por linfocitos e histiocitos, rodeando vasos y nervios, con lesión neurológica incipiente. El infiltrado ocupaba toda la dermis y se extendía hasta el tejido celular subcutáneo. Se observaba una clara banda subepidérmica respetada, que separaba epidermis de dermis. La tinción de Ziehl-Nielsen demostró bacilos ácido-alcohol resistentes (BAAR) (fig. 2).
Fig. 2.--Tinción de Ziehl-Nielsen que demuestra varios bacilos ácido-alcohol resistentes en el interior de macrófagos. (Ziehl-Nielsen, x100.)
El paciente fue diagnosticado de lepra lepromatosa y comenzó tratamiento según la pauta de la OMS para la lepra multibacilar con rifampicina, 600 mg/mes en toma supervisada; clofazimina, 300 mg/mes en toma supervisada, y 50 mg/día y dapsona, 100 mg/día durante 2 años.
Caso 2
Un hombre colombiano de 35 años de edad acudió a nuestro servicio en diciembre de 2003 refiriendo la presencia de numerosas placas eritematosas, asintomáticas, en tronco y extremidades, que había observado desde hacía un año aproximadamente. Refería estar viviendo en España desde hacía 7 años; su padre había sido diagnosticado de lepra hacía 15 y todos los miembros de la familia fueron explorados en su momento sin que se hallara afectación en ninguno de ellos.
En la exploración física se observaron varias placas eritematosas, infiltradas, sobre tronco y muslos, que confluían en algunas zonas, formando figuras geográficas (fig. 3). Por lo demás no existía ninguna otra alteración y el examen neurológico fue normal.
Fig. 3.--Placas eritematosas, mal delimitadas y confluentes en tórax anterior.
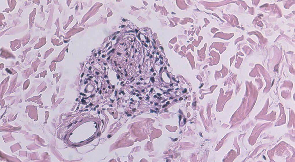
Las exploraciones complementarias realizadas (incluyendo analítica sanguínea con funciones renal, hepática, VSG y PCR y radiografía de tórax) tampoco demostraron ninguna alteración significativa. La biopsia cutánea de una de las placas de la espalda demostró un infiltrado inflamatorio dérmico superficial y profundo con extensión perianexial y perineural, compuesto principalmente por linfocitos y macrófagos, con algunas células epitelioides. Existía daño neural evidente con linfocitos y macrófagos invadiendo algunos nervios (fig. 4). Algunos macrófagos mostraban citoplasmas espumosos. La tinción de Ziehl-Nielsen evidenció BAAR dentro del citoplasma de algunos macrófagos. También se realizó la técnica de inmunofluorescencia con auramina-rodamina y se demostró igualmente la presencia de BAAR.
Fig. 4.--Infiltrado linfocitario dérmico superficial y profundo perianexial y perineural. (Hematoxilina-eosina, x100.)
El paciente fue diagnosticado de lepra lepromatosa y comenzó tratamiento con la misma pauta que se había administrado al paciente 1.
COMENTARIO
La lepra sigue presente en 91 países y la situación es tan grave que se considera un problema de salud pública de trascendencia epidemiológica en 28 de ellos. Cada año se detectan más de 700.000 casos nuevos y el 15 % son niños 4,5. A pesar de los esfuerzos de la OMS y gobiernos de países afectados, esta enfermedad no ha podido eliminarse a nivel global antes del año 2000. Esta fecha fue fijada por la OMS en 1991 como fecha límite para eliminar la lepra 6,7. Se considera que una enfermedad representa un problema de salud pública es endémica cuando existe una prevalencia superior a 1 caso por 10.000 habitantes. Pero, al contrario de lo previsto, a comienzos del año 2000, la prevalencia de la enfermedad era de 1,25 por 10.000 habitantes. Este dato supone una reducción de la prevalencia en todo el mundo del 85 % en 15 años. Sin embargo, estas modificaciones epidemiológicas no han repercutido en la incidencia, que se mantiene prácticamente constante en torno a los 730.000 casos anuales 3. La OMS fijó una nueva fecha, 2005, para la eliminación de esta enfermedad en todo el mundo 8.
En Europa la prevalencia actual es de 0,1 por 10.000 habitantes, claramente por debajo de las cifras que establece la OMS como endémicas. En España esta cifra es incluso menor y actualmente es de 0,03 por 10.000 habitantes. Según el Registro Estatal de Lepra, con fecha 1 de enero de 2003, existían 118 casos prevalentes y 14 incidentes en 2002, de los que seis fueron inmigrantes (dos ecuatorianos, dos brasileños, un portugués y un colombiano). Se diagnosticaron en las comunidades autónomas de Andalucía, Aragón, Comunidad Valenciana, Extremadura, Galicia y Madrid. De los casos prevalentes, el 49,2 % residía en Andalucía. En nuestra comunidad, Castilla y León, no se declaraba un caso de lepra desde hacía más de 2 décadas.
En cuanto al perfil epidemiológico de los casos nuevos de lepra detectados en Europa y Estados Unidos, este se centra básicamente en sujetos emigrados de áreas endémicas 9-11. En nuestro continente, excluyendo los reservorios históricos, los casos autóctonos de la enfermedad son excepcionales y parecen confinados a pacientes inmunodeprimidos en contacto con enfermos bacilíferos. En nuestro caso, los 2 pacientes presentados eran inmigrantes inmunocompetentes procedentes de países endémicos. Dada la gran movilidad de pacientes y el creciente fenómeno migratorio desde países en vías de desarrollo, debemos tener presente en nuestros diagnósticos diferenciales aplicados a diversas dermatosis el de lepra 12. Actualmente este diagnóstico no suele ser considerado por los dermatólogos de países no endémicos.
Efectivamente, la lepra puede ser muy difícil de diagnosticar fuera de las áreas de endemia por su rareza y porque se expresa con una gran variedad de lesiones cutáneas, una neuropatía que en muchas ocasiones sólo se detecta inicialmente mediante un examen neurológico exhaustivo, y un periodo de incubación tan largo que hace que los pacientes hayan abandonado la zona de contagio mucho antes de que aparezcan los primeros síntomas 9, como es el caso de nuestro segundo paciente.
En la lepra es necesaria una buena formación dermatológica para poder realizar un diagnóstico temprano que permita instaurar un tratamiento rápido evitando las secuelas y el riesgo de contagio 10. El retraso en el diagnóstico no sólo se relaciona de forma muy significativa con la discapacidad, sino que aumenta el riesgo de transmisión en los países de acogida. Esta enfermedad debe sospecharse en todo paciente procedente de zonas endémicas con sintomatología cutánea y/o neurológica en forma de lesiones cutáneas anestésicas (placas eritematosas, máculas acrómicas) o engrosamiento nervioso.
Queremos resaltar la necesidad de declaración de todos los pacientes que sean diagnosticados de lepra, ya que, en ocasiones, los dermatólogos españoles no lo hacemos y esto hace que las estadísticas se vean sesgadas, por lo que no se corresponde el número real de casos de la enfermedad con los declarados en el Registro Estatal de Lepra.
Por último, queremos recordar que la terminología utilizada por la OMS para designar la «eliminación» de la lepra como problema de salud pública no equivale a la erradicación de la enfermedad. Actualmente hay demasiadas incógnitas en cuanto a incidencia, transmisión, protección y diagnóstico como para diseñar un programa de erradicación. Cuando todas estas incógnitas se aclaren se podrá afrontar un programa de erradicación más realista 13.






