INTRODUCCION
Las miopatías inflamatorias idiopáticas constituyen un grupo heterogéneo de procesos de etiología desconocida y patogenia autoinmunitaria caracterizados por la inflamación no supurativa del músculo esquelético. El síndrome antisintetasa es un trastorno poco frecuente incluido dentro del grupo de las miopatías inflamatorias idiopáticas 1-3, que engloba un subgrupo clínico homogéneo de pacientes que se caracterizan por la presencia en el suero de anticuerpos antisintetasa (ACAS), miositis, fibrosis pulmonar intersticial, artritis o artralgias, fiebre, fenómeno de Raynaud y de lesiones cutáneas características en las manos, conocidas como «manos de mecánico». El anticuerpo anti-Jo-1 es el ACAS más frecuente y fue el primero en describirse 4.
Describimos un paciente con la manifestación cutánea de manos de mecánico; este signo cutáneo nos llevó a establecer el diagnóstico de síndrome antisintetasa.
DESCRIPCION DEL CASO
Un varón de 61 años, sin alergias conocidas, soldador de profesión en su vida laboral activa (jubilado hace 5 años, desde el año 2000), tenía antecedentes patológicos de polimiositis primaria y enfermedad pulmonar intersticial leve inespecífica diagnosticada en septiembre del año 1999. El paciente había recibido tratamiento con dosis iniciales elevadas, 60 mg/día de prednisona, hasta conseguir una dosis de mantenimiento de 10 mg prednisona/día, dosis que muy ocasionalmente tiene que aumentar cuando presenta exacerbación de la sintomatología con brotes de fiebre, artromialgias y aumento de las enzimas musculares. Tres años después comenzaron a aparecer lesiones cutáneas escasamente pruriginosas en los primeros 3 dedos de ambas manos, motivo por el que fue remitido a la consulta de dermatología.
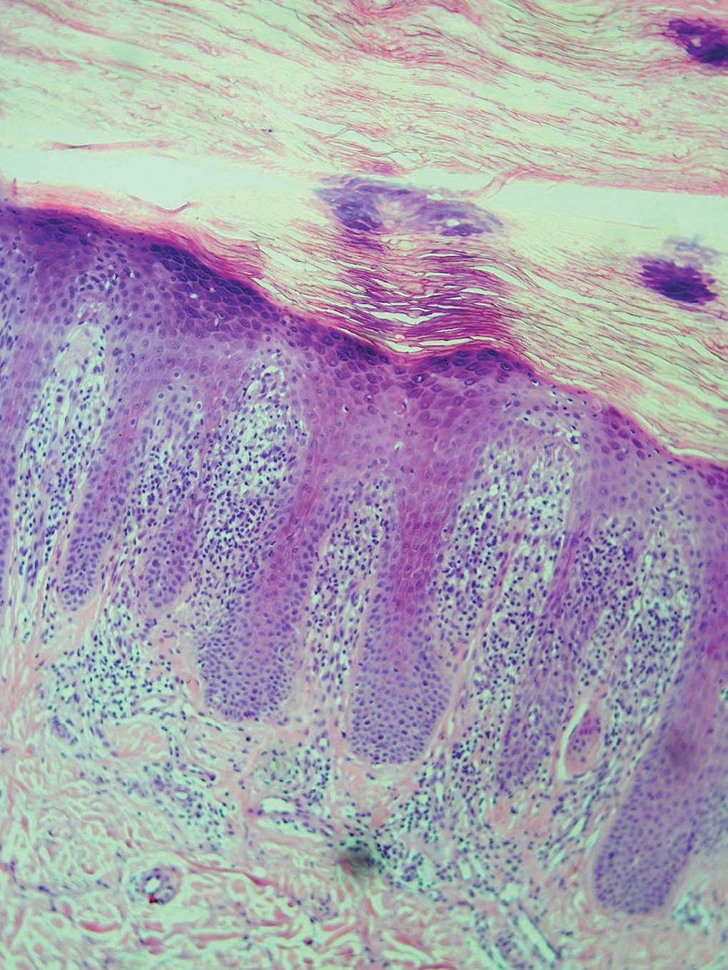
En la exploración física se observaba de forma bilateral y simétrica en las caras laterales (de predominio radial) y en la cara palmar de los primeros 3 dedos de ambas manos y salpicando de forma aislada las palmas de las manos, lesiones hiperqueratósicas, escamosas, hiperpigmentadas, con alguna zona fisurada, que recordaban callosidades (figs. 1 y 2). La afectación de la mano derecha era más intensa. El paciente no presentaba lesiones cutáneas en otras localizaciones. Las pruebas epicutáneas resultaron positivas (+ +) para la mezcla de mercaptos. Se prescribió un corticoide tópico, se insistió en la utilización de cremas emolientes y se le proporcionó una hoja informativa del alérgeno positivo. En las revisiones posteriores a los 4 y 8 meses el paciente apenas presentaba mejoría a pesar de haber seguido los consejos indicados. En ese momento no realizaba ningún trabajo manual, ni refería tener contacto actual con el alérgeno positivo (mezcla de mercaptos). Se realizó una biopsia de las lesiones cutáneas, que mostró una epidermis con hiperqueratosis y acantosis irregular, con zonas de degeneración vacuolar, cuerpos coloides y focos de exocitosis linfocitaria. En toda la dermis superficial se observó un infiltrado inflamatorio linfocitario denso dispuesto de forma paralela a la epidermis (fig. 3).
Fig. 1.--Lesiones hiperqueratósicas, descamativas y pigmentadas en la cara radial del segundo dedo de ambas manos.
Fig. 2.--Detalle de las lesiones cutáneas que afectan a la cara palmar y el pulpejo.
Fig. 3.--Epidermis: con acantosis irregular y zonas de degeneración vacuolar, cuerpos coloides y exocitosis escasa de linfocitos. Dermis con infiltrado denso linfocitario en la dermis superficial. (Hematoxilina-eosina, x10.)
Con estos hallazgos clínicos y microscópicos se estableció el diagnóstico de «manos de mecánico». Con posterioridad, el paciente desarrolló un fenómeno de Raynaud que unido al hallazgo en el suero del paciente del anticuerpo antisintetasa anti-Jo-1 y el resto de manifestaciones clínicas sistémicas que presentaba (miositis, fibrosis pulmonar intersticial, episodios de fiebre y artromialgias en los brotes) permitieron establecer el diagnóstico de síndrome antisintetasa.
COMENTARIOS
Se acepta universalmente la clasificación de las miositis inflamatorias idiopáticas propuesta por Bohan y Peter en 1975 5 a la que se ha sumado posteriormente el concepto de dermatomiositis amiopática 6. Hoy en día, estas enfermedades se agrupan junto con las miositis por cuerpos de inclusión bajo el nombre de miopatías inflamatorias idiopáticas (tabla 1).
El mayor conocimiento de los autoantígenos que tienen especial relevancia en la respuesta inmunitaria de las miopatías inflamatorias idiopáticas ha favorecido el avance en el diagnóstico inmunológico de estas entidades. Según la experiencia de algunos autores 7-9 la presencia de anticuerpos específicos de miositis en el suero define subgrupos de pacientes más homogéneos que los que describen la clasificación tradicional de Bohan y Peter. Sin embargo, estos anticuerpos son poco sensibles, ya que se detectan en menos del 40 % de los pacientes con miositis, lo que limita la posible utilidad de su detección para el diagnóstico y la clasificación en todos y cada uno de los casos. El grupo de los anticuerpos específicos de miositis mejor conocidos y más estudiados son los ACAS 10. Son anticuerpos tipo IgG dirigidos contra las enzimas aminoacil-tARN sintetasa, que son enzimas citoplasmáticas que catalizan la unión de los aminoácidos a su ARN de transferencia, por lo que existe una enzima distinta para cada aminoácido. En los estudios de inmunofluorescencia para anticuerpos antinucleares se presentan con un patrón citoplasmático. Hasta el momento los ACAS descritos en la bibliografía son seis (tabla 2). El anticuerpo anti-Jo-1 es el ACAS más frecuente de todos ellos, y va dirigido contra la sintetasa que media la unión entre el ARN y el aminoácido histidina 4.
Los pacientes con ACAS presentan un cuadro clínico bastante homogéneo que se ha denominado «síndrome antisintetasa» caracterizado por la combinación completa o incompleta de los siguientes signos: miositis, enfermedad pulmonar intersticial, artralgias o artritis, fiebre, lesiones hiperqueratósicas en las manos («manos de mecánico») y fenómeno de Raynaud 1-3. Esta variabilidad en la presentación clínica del síndrome ya ha sido referida por distintos autores 11, y es difícil que se observen todos los signos en un mismo paciente. La afectación cutánea característica de este síndrome son las denominadas «manos de mecánico», que aparece en el 70 % de los casos 10 y que consiste en hiperqueratosis, hiperpigmentación y fisuración de la piel de las caras laterales, sobre todo la cara radial y en la cara palmar de los dedos de ambas manos, afectando también a la palma. Las lesiones de «manos de mecánico» fueron descritas por primera vez por Stahl et al 12 como lesiones cutáneas asociadas a procesos de diferente índole que cursaban con miositis. Otros casos descritos con posterioridad confirmaron esta idea 13-15. Recuerdan a una dermatitis irritativa de las manos por una actividad laboral intensa. Son lesiones apenas pruriginosas. Histológicamente se caracterizan por una epidermis hiperqueratósica con algún foco de paraqueratosis y acantosis irregular con zonas de degeneración vacuolar, cuerpos coloides y focos de exocitosis de linfocitos hacia epidermis. En la dermis existe un infiltrado linfocitario denso paralelo a la epidermis.
La ausencia de reconocimiento de este signo puede dar lugar a establecer diagnósticos clínicos erróneos como dermatitis crónica de manos, dermatitis irritativa friccional o lesiones psoriasiformes.
En la actualidad las denominadas «manos de mecánico» se consideran un signo cutáneo infrecuente de miositis en el contexto no sólo de polimiositis-dermatomiositis idiopática y del síndrome antisintetasa, sino también de miositis que acompañan a otras enfermedades del tejido conjuntivo en síndromes de solapamiento 16-18. La presencia de este signo cutáneo en el contexto de una miositis, junto con el hallazgo en el suero de el anticuerpo anti-Jo-1 debe hacer pensar en la posibilidad de un síndrome antisintetasa y descartar la afectación pulmonar, lo cual permitiría así instaurar un tratamiento precoz, que aborte o retrase la evolución del proceso pulmonar hacia una fibrosis pulmonar severa e irreversible. En nuestro paciente la sintomatología respiratoria era leve, sólo mínima disnea con el esfuerzo moderado y la fibrosis pulmonar había mejorado de forma importante con el tratamiento con corticoides orales como se ponía de manifiesto en las pruebas de imagen que se le realizaron al paciente de forma periódica.







