INTRODUCCION
La asociación de lesiones acrómicas en pacientes con melanoma se ha discutido con frecuencia en la literatura médica y en ocasiones se ha relacionado con un pronóstico más favorable de la enfermedad1-4. Estas lesiones pueden estar presentes antes o después del diagnóstico del melanoma. Existen también casos de vitíligo asociados a tratamiento con interferón (IFN) tanto en pacientes con melanoma como en pacientes con otras enfermedades5-7. Nosotros presentamos 3 pacientes diagnosticados de melanoma con metástasis ganglionares en tratamiento con IFN-α2b, que desarrollaron lesiones de leucodermia o similares al vitíligo.
DESCRIPCION DE LOS CASOS
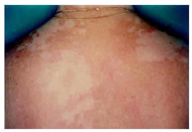
Caso 1. Mujer de 61 años que en agosto de 1993 fue diagnosticada de melanoma nivel III, de 1,52 mm de espesor en la pierna izquierda. En diciembre de 1998 se extirpó una metástasis ganglionar de melanoma en la cara interna del muslo izquierdo. En enero de 2000 presentó otra metástasis ganglionar en la región inguinal izquierda, por lo que se le realizó linfadenectomía inguinal izquierda. El estudio histológico de los ganglios demostró metástasis de melanoma en 3 de 17 ganglios. Se inició tratamiento con IFN-α2b según el protocolo de Kirkwood, pero la paciente presentó toxicidad hepática que obligó a una reducción de la dosis al 75 % en la tercera semana. A los 5 meses de haberse iniciado el tratamiento, comenzaron a aparecer de manera progresiva lesiones maculosas acrómicas asintomáticas en el tercio superior del tronco anterior y posterior y en la región cervical (fig. 1). La biopsia de piel mostraba negatividad para el antígeno de diferenciación melanocítica Melan-A/MART-1 en la piel afectada y la presencia de melanocitos basales en la piel sana. Las lesiones cutáneas descritas fueron progresando durante el tratamiento y permanecieron estables 10 meses después de finalizar el tratamiento con IFN.
Fig. 1.--Caso 1. Lesiones acrómicas maculosas en el tercio superior de la espalda.
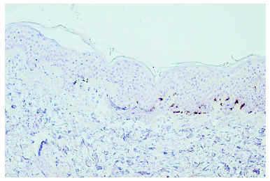
Caso 2. Varón de 28 años, diagnosticado en febrero de 2000 de un melanoma de extensión superficial en la región infraclavicular derecha, nivel III de 1,175 mm de espesor, asociado a una proliferación melanocítica benigna de apariencia congénita. Diez meses después se le realizó una linfadenectomía por una metástasis ganglionar supraclavicular derecha. Se inició tratamiento con IFN-α2b según el protocolo de Kirkwood, aunque fue necesario reducir la dosis al 50 % por la aparición de toxicidad hepática en la tercera semana. A los 5 meses de haber comenzado el tratamiento, aparecieron lesiones maculosas acrómicas asintomáticas en las regiones frontoparietales y frontotemporales. El estudio inmunohistoquímico de la biopsia de piel con Melan-A/Mart-1 mostraba una ausencia de diferenciación melanocítica en la piel afecta y la presencia de melanocitos basales en la piel sana (fig. 2). En noviembre de 2001 presentó una nueva metástasis supraclavicular derecha por lo que se le realizó disección cervical funcional y se añadió tratamiento con 6 ciclos mensuales de dacarbacina intravenosa. Terminó el tratamiento con IFN en mayo de 2002 y las lesiones cutáneas permanecieron estables. Durante el último ciclo de dacarbacina el paciente presentó metástasis cerebrales y falleció en junio de 2002, 28 meses después del diagnóstico.
Fig. 2.--Tinción con Melan A/MART-1 en la piel sana (derecha) y en la piel acrómica (izquierda). En la piel afectada existía una ausencia de diferenciación melanocítica y en la piel sana se observan los melanocitos basales.
Caso 3. Varón de 37 años con antecedentes personales de hepatitis C sin tratamiento, que fue remitido a nuestras consultas por presentar en una punción-aspiración con aguja fina (PAAF) de un ganglio cervical izquierdo células sugestivas de metástasis de melanoma. En la exploración física se detectó una lesión maculosa eritematosa de 10 años de evolución en la región clavicular izquierda, con halo blanquecino, cuyo estudio histológico correspondió a un melanoma sin conexión con la epidermis. Se realizó linfadenectomía cervical izquierda y se inició tratamiento con IFN-α2b según el protocolo de Kirkwood, con buena tolerancia. A los 5 meses comenzaron a aparecer progresivamente lesiones hipocrómicas en la cicatriz en la región cervical y leucotriquia en las regiones parietales, temporales, frontales, fosas nasales, la región de la barba y las pestañas del ojo izquierdo (fig. 3). Las lesiones permanecen estables y hasta el momento el paciente continúa en tratamiento con IFN, con buena tolerancia. En la biopsia cutánea se observaba una ausencia de diferenciación melanocítica con Melan-A/MART-1 en la epidermis supra y adyacente a la lesión.
Fig. 3.--Caso 3. Leucotriquia en las pestañas del ojo izquierdo.
DISCUSION
La aparición de lesiones acrómicas en pacientes con melanoma es un hallazgo infrecuente, aunque bastante referido en la literatura médica. Algunos autores utilizan la palabra leucodermia para referirse a estas lesiones acrómicas que aparecen en pacientes con melanoma. Otros autores las denominan vitíligo o similares al vitíligo. Se han tomado biopsias de estas lesiones en algunas ocasiones cuyos resultados han mostrado una ausencia o una disminución en el número de melanocitos, hallazgos que son compatibles con vitíligo1,4. Se estima que la frecuencia de leucodermia en pacientes con melanoma debe ser menor del 5 %3,5. Sin embargo, esta frecuencia probablemente es mayor en los pacientes tratados con IFN. Le Gal et al5 describen 4 pacientes que desarrollaron vitíligo en una serie de 12 pacientes tratados con IFN por melanoma metastásico (33 %), y en estos pacientes se asociaba a una buena respuesta al tratamiento. En nuestros pacientes las lesiones acrómicas aparecen en el quinto mes de tratamiento con IFN-α2b, si bien el tercer paciente ya presentaba un halo blanquecino en la lesión extirpada inicialmente. Esto nos sugiere que la aparición de la leucodermia se deba no sólo a la enfermedad de base, sino probablemente se vea favorecida también por la inmunoterapia.
La aparición de lesiones acrómicas en pacientes con melanoma puede considerarse el resultado de la destrucción de melanocitos por una respuesta inmunológica frente a antígenos comunes presentes en los melanocitos y en las células de melanoma. En las biopsias de nuestros pacientes se observó una ausencia de diferenciación melanocítica en las lesiones acrómicas en los primeros 2 casos y en el halo blanquecino del tercer paciente, lo que apoya la hipótesis de la destrucción melanocítica. El mecanismo por el cual aparece la leucodermia se desconoce. Se ha observado una respuesta de anticuerpos contra antígenos similares de células pigmentadas en pacientes con vitíligo y en pacientes con melanoma8, y se ha observado que autoanticuerpos de pacientes con vitíligo, fundamentalmente en las formas difusas, pueden ser efectivos experimentalmente contra el melanoma in vitro e in vivo9. Asimismo, se ha relacionado la respuesta de células T citotóxicas específicas contra antígenos de células de melanoma y melanocitos, a regresión tumoral y a aparición de lesiones de tipo vitíligo5,10-12. Por otra parte, la inmunoterapia podría estimular la respuesta inmunológica y favorecer no sólo la destrucción de células malignas, sino también de melanocitos, con la consiguiente aparición de la leucodermia. En la literatura encontramos la aparición de lesiones de leucodermia en pacientes con melanoma tratados con inmunoterapia combinada con interleucina 2 (IL-2) e IFN-α con o sin quimioterapia, con IL-2 sola, con inmunoterapia específica y con IFN-α11-15. Existen también casos aislados de vitíligo asociado al tratamiento con IFN-α en otras enfermedades, fundamentalmente en hepatitis C7.
Las lesiones de leucodermia aparecen con mayor frecuencia en pacientes con estadios avanzados de melanoma en la mayoría de las series, pero por otra parte parece existir una supervivencia mayor en los pacientes que desarrollan estas lesiones, comparando pacientes con factores de riesgo similares1-4.
Posiblemente en nuestros pacientes la leucodermia se deba a una respuesta inmunológica selectiva contra antígenos comunes en los melanocitos y en las células de melanoma, y esta respuesta se vería favorecida por la inmunoterapia con IFN. Sin embargo, no puede descartarse que la aparición de la leucodermia se deba únicamente a la enfermedad de base, o únicamente al tratamiento con IFN. La aparición de las lesiones acrómicas podría significar que la inmunoterapia está siendo, al menos parcialmente, efectiva. En nuestros casos, no puede afirmarse que la aparición de estas lesiones se asocie a mejor pronóstico. Uno de los 3 pacientes falleció por metástasis cerebrales y los otros dos continúan en seguimiento.





