Un varón de 40 años, sin antecedentes personales de interés, acudió a nuestra consulta por una lesión tumoral subungueal que afectaba al quinto dedo del pie derecho de aproximadamente 2 años de evolución, con crecimiento rápido inicial y posterior estabilización. Según el paciente la lesión le causaba molestias con el roce del calzado, sin haber presentado episodios de sangrado ni ulceración.
Exploración físicaA la exploración se observaba una lesión nodular subungueal de 1cm de diámetro, hiperqueratósica en la superficie, con un tacto rugoso y bien delimitada, que provocaba el despegamiento de la uña (fig. 1).
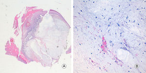
Pruebas complementariasSe realizó la exéresis completa de la lesión tumoral, mostrando la histopatología una lesión dérmica difusa no encapsulada con extensión al borde profundo de resección (fig. 2A). La tumoración contenía un estroma mixoide prominente con escasa celularidad, constituida por células fusiformes sin evidenciar atipias ni mitosis. Destacaba la presencia de una red vascular de numerosos capilares elongados con una luz estrecha, sin hallar ningún infiltrado inflamatorio acompañante (fig. 2B).
El estudio inmunohistoquímico expresaba positividad para CD34 únicamente en el componente vascular de la tumoración, siendo negativo para S100, EMA y MUC4, tanto en el componente vascular como fibroblástico.
¿Cuál es el diagnóstico?
DiagnósticoAngiomixoma superficial subungueal.
Tratamiento y evoluciónTras extirpar la lesión tumoral subungueal realizamos una sutura con cierre directo. Como el margen profundo de la pieza resecada estaba afecto, se consideró inicialmente la ampliación quirúrgica. Sin embargo, el paciente rechazó la reintervención, no evidenciando en los sucesivos controles recidiva tumoral a los 12 meses.
ComentariosEl angiomixoma superficial representa un tumor mesenquimatoso poco frecuente, incluido en el grupo de mixomas cutáneos de naturaleza benigna. Fue descrito inicialmente por Carney et al. asociado al complejo de Carney1. Principalmente hay que descartar un síndrome de Carney en los pacientes con angiomixomas superficiales localizados en el oído externo o cuando son múltiples2. Nuestro paciente no asociaba un síndrome de Carney, pues la tumoración subungueal no se acompañaba de mixomas extracutáneos, pigmentaciones cutáneas o alteraciones endocrinas.
El angiomixoma superficial es más frecuente en varones, principalmente entre los 20 y los 50 años, presentándose como lesiones normalmente únicas3, clínicamente muy heterogéneas. Se manifiestan como una pápula, un nódulo o una lesión polipoide del color de la piel, con un tamaño que varía entre 1 y 5cm2. En las series publicadas4,5 la localización más frecuente es el tronco, seguido por las extremidades inferiores, la cabeza y el cuello. La localización subungueal, como ocurre en nuestro caso, es excepcional. Únicamente han sido publicados 3 casos de angiomixoma superficial subungueal6,7.
Histológicamente se trata de un tumor dérmico con extensión al tejido celular subcutáneo. Suele presentar un patrón de crecimiento multilobular, con nódulos de escasa celularidad inmersos en un estroma mixoide2,4,5. Contiene células de morfología fibroblástica, con formas fusiformes, elongadas o estrelladas, que no suelen mostrar atipias ni mitosis. Es característica la presencia de abundantes vasos con luces estrechas y en un tercio de los casos se aprecia un infiltrado inflamatorio neutrofílico y linfocitario perivascular. Con las técnicas de inmunohistoquímica2,3 existe negatividad de las células fibroblásticas a CD34, AML, S-100, EMA y desmina; no obstante, en algunos casos puede haber diferenciación miofibroblástica.
El principal diagnóstico diferencial en la localización subungueal6,7 se plantea con el fibromixoma acral superficial, que consiste en una tumoración benigna de crecimiento lento localizada principalmente en los dedos de los pies y las manos8. Histológicamente se presenta como una tumoración dérmica bien delimitada, que a diferencia del angiomixoma superficial presenta un estroma mixoide menos abundante, mayor densidad celular y un aumento de la microvascularización, con capilares menos prominentes. En el estudio inmunohistoquímico8, es característica la expresión de CD34 en las células fibroblásticas, mientras que en nuestro caso resultó negativa en el componente fibroblástico fusocelular.
El tratamiento es quirúrgico y existen recurrencias locales en el 30-40% de los casos2,3,5. Se considera una tumoración mixoide de naturaleza benigna, sin haberse publicado hasta la fecha ningún caso de angiomixoma superficial metastásico.
Conflicto de interesesLos autores declaran no tener ningún conflicto de intereses.




