HISTORIA CLÍNICA
Una mujer de 56 años de edad, ama de casa y residente en el medio rural consultó en agosto de 2003 por una lesión cutánea recidivante en el cuarto dedo de la mano izquierda.
No tenía antecedentes personales ni familiares de interés. Su marido era ganadero y ella refería haber alimentado en alguna ocasión a las ovejas y cabras más pequeñas.
La lesión había aparecido de forma súbita y por primera vez 2 meses antes de la consulta actual. Era dolorosa, creció de forma rápida y se resolvió espontáneamente en un mes. Cinco días después se produjo la reaparición de la lesión, con las mismas características de la anterior y en la misma localización. En esta ocasión era asintomática y la paciente refería tener un buen estado general. Fue tratada con antibióticos y antiinflamatorios orales y antibióticos tópicos por su médico de cabecera, y fue remitida a nuestra consulta de forma urgente.
EXPLORACIÓN FÍSICA
La paciente estaba afebril y tenía un buen estado general. En el dorso y en la cara lateral interna del cuarto dedo de la mano izquierda tenía un nódulo eritematoso, de consistencia dura, cubierto por costras escamosas, de 1 × 1,2 cm de diámetro, con un halo inflamatorio periférico (fig. 1). Asimismo, se palpaba una adenopatía epitroclear. No se apreciaban signos de flebitis, celulitis ni linfangitis y el resto de la exploración cutánea fue normal.
EXPLORACIONES COMPLEMENTARIAS
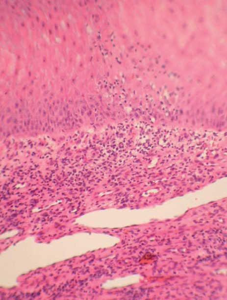
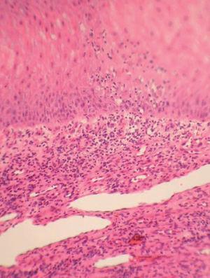
Se realizó una biopsia cutánea de la lesión (fig. 2).
Fig. 1.—Nódulo eritematoso cubierto de costras escamosas en el dorso del dedo.
Fig. 2.—Detalle histológico de la lesión. (Hematoxilina-eosina, ×400.)
DIAGNÓSTICO
Ectima contagioso (orf).
HISTOPATOLOGÍA
En el examen histopatológico (fig. 2) se observó una epidermis acantósica y papilomatosa, hiperqueratosis y paraqueratosis, así como vacuolización de las células del estrato de Malpighi, algunas de las cuales presentan inclusiones eosinofílicas intracitoplasmáticas. En la dermis había un denso infiltrado mononuclear con exocitosis epidérmica focal y notoria proliferación de vasos sanguíneos.
EVOLUCIÓN Y TRATAMIENTO
Tras explicar a la paciente la naturaleza benigna de esta entidad, se decidió seguir controles periódicos. Tres semanas después, la lesión se había resuelto por completo dejando una leve pigmentación residual. Posteriormente, no se han observado recidivas.
COMENTARIO
El ectima contagioso, también llamado orf o dermatitis pustular contagiosa, es una infección cutánea autolimitada producida por un virus de distribución mundial, endémico en ovejas y cabras, que pertenece a la familia Poxviridae y al género Parapoxviridae1.
La incidencia de esta infección es mayor al final de la primavera2. La transmisión al hombre se produce por contacto directo con los animales infectados o con objetos contaminados con los productos del ani-mal2,3. Se considera una enfermedad profesional que afecta preferentemente a pastores, ganaderos, veteri-narios2,4. No obstante, la transmisión entre seres humanos ocurre de forma excepcional4.
Clínicamente, suele presentarse como una lesión única y asintomática, localizada preferentemente en los dedos de las manos (es típica la afectación del dedo índice de la mano derecha), aunque puede aparecer en otras localizaciones (cara, muñecas, etc.)2,3. Los pacientes inmunodeprimidos pueden desarrollar lesiones gigantes causadas por este virus5.
El ectima contagioso se ha descrito sólo en la raza blanca, sin existir predilección por edad ni sexo. Esta infección viral no supone ningún riesgo fetal si se padece durante el embarazo6.
El período de incubación es variable y oscila entre 3 y 7 días1,2. La infección pasa por seis etapas clinicopatológicas: maculopapular, en diana, aguda, regenerativa, papilomatosa y regresiva. Cada una de estas etapas dura aproximadamente una semana3. Inicialmente se observa una mácula o pápula eritematosa, que posteriormente adopta una configuración en escarapela; más tarde evoluciona hacia un nódulo eritematoso exudativo que, seguidamente, se torna firme y está cubierto por una delgada costra cuya superficie se vuelve papilomatosa. Finalmente, la lesión se aplana y da lugar a la formación de una costra seca antes de la involución.
Los cambios histopatológicos se corresponden con las manifestaciones clínicas observadas; en todas las fases de la enfermedad pueden verse cambios citopáticos epidérmicos. En general, se caracteriza por una epidermis con marcada hiperplasia pseudoepiteliomatosa, balonización e inclusiones eosinófilas intracitoplasmáticas. En dermis existe una gran dilatación y proliferación vascular junto con un infiltrado inflamatorio agudo o crónico, según el estadio evolutivo3,7.
El curso natural de la enfermedad es la resolución espontánea en 3-6 semanas, sin dejar cicatriz residual. En ocasiones, se han descrito complicaciones asociadas a la infección como el eritema multiforme y el penfigoide ampolloso entre otras8,9, de las cuales la linfangitis bacteriana es la más frecuente4,7. Asimismo, y como en el caso de nuestra paciente, existen casos de recidivas locales5.
La respuesta inmunitaria celular frente a la infección por el virus del orf, dirigida contra una proteína tubular de superficie de 40 kDa es transitoria10, por lo que no confiere inmunidad permanente. Parece ser que las reinfecciones producen lesiones menos intensas2,3,7.
El diagnóstico se establece por la historia clínica, con especial importancia de los antecedentes epidemiológicos y la biopsia y se confirma mediante la demostración de las partículas virales por microscopia electrónica1,7,10. El cultivo celular habitualmente no está disponible. Parece ser que la serología es el único método diagnóstico para diferenciar la infección del virus del orf de las de otros parapoxvirus.
El diagnóstico diferencial se establece principalmente con el nódulo de los ordeñadores, causado por un parapoxvirus, que tiene similares características clinicohistopatológicas, de microscopia electrónica y similares efectos citopáticos en los cultivos tisulares. No obstante, en este caso, la vaca es el huésped que lo transmite3,11. Asimismo, deben tenerse en cuenta otras entidades como el carbunco, las piodermitis, el panadizo herpético, el ectima gangrenoso, la esporotricosis, el queratoacantoma y otras.
Debido a que, generalmente, las características clínicas de la infección son conocidas por los individuos que las padecen, éstos raramente solicitan consejo médico. El tratamiento es sintomático, encaminado a prevenir la infección bacteriana secundaria2,10. Las alternativas terapéuticas incluyen el legrado o afeitado de la epidermis superficial de la lesión, la criocirugía, la idoxuridina tópica en dimetilsulfóxido, así como la cirugía para los casos refractarios al tratamiento5,12,13. Existe una vacuna con virus atenuados que previene la enfermedad en los animales. Los animales enfermos deben ser aislados. La prevención de la infección humana consiste en evitar el contacto directo con los animales enfermos.




