INTRODUCCION
La invasión de vasos linfáticos por células melanocíticas es un fenómeno poco frecuente en los nevos melanocíticos adquiridos (aproximadamente el 4 %). Sin embargo la frecuencia se incrementa en los nevos melanocíticos congénitos y en el nevo de Spitz1,2. Por otro lado, la presencia en los ganglios linfáticos de células melanocíticas es un hallazgo casual, que por lo general se detecta en pacientes diagnosticados y tratados de melanoma o carcinoma de mama a los que se les realiza un vaciamiento ganglionar, por lo que resulta de suma importancia no confundir las células melanocíticas con celularidad metastásica maligna3.
Se han planteado tres teorías que explican la presencia de células melanocíticas en los ganglios linfáticos1,4,5. Cronológicamente, la primera teoría que se planteó proponía una asociación de este fenómeno con la neurofibromatosis, aunque esta hipótesis fue pronto desechada. La segunda hipótesis propone un mecanismo de embolización linfática de células melanocíticas procedentes de un nevo melanocítico cutáneo (metástasis «benignas»). La tercera plantea una emigración aberrante de melanocitos desde la cresta neural hacia el tejido linfoide, que se produciría entre la sexta y novena semana de desarrollo embrionario, coincidiendo con el desarrollo del sistema linfático.
Presentamos 8 casos de nevos melanocíticos con invasión de vasos linfáticos, enfatizando los distintos patrones arquitecturales de invasión vascular.
MATERIAL Y MÉTODOS
Tras la revisión de 1.073 casos diagnosticados de nevo melanocítico en el servicio de anatomía patológica durante los años 1999, 2000 y 2001, se encontraron 8 casos en los que existía invasión de vasos linfáticos por la población melanocítica, lo que supone una incidencia acumulada del 0,8 % en esta serie de casos. Los datos clínicos de los pacientes se detallan en la tabla 1.
Las muestras biópsicas de los pacientes se fijaron en formol neutro al 4 %. Tras el tallado se incluyeron en parafina, tras lo que se procedió a la realización de secciones de 3 μde grosor, que posteriormente se tiñieron con hematoxilina-eosina. Se realizó un estudio inmunohistoquímico mediante la técnica de la avidina-biotina-peroxidasa, con anticuerpos monoclonales para la detección de Ki-67, utilizando la técnica de recuperación antigénica (mediante autoclave, en tampón citrato pH 6,0, 3 min, 1,5 atmósferas). Las secciones fueron contrastadas posteriormente con hematoxilina.
RESULTADOS
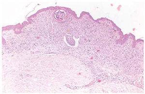
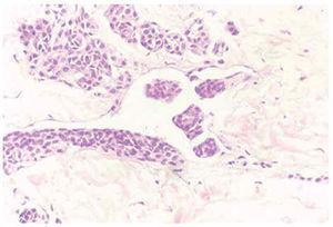
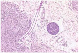
De los 8 pacientes estudiados, siete eran mujeres. La edad media fue de 26 años. Macroscópicamente las lesiones pigmentadas presentaron un diámetro medio de 0,4 cm, con contornos regulares y no se apreció discromasia en ninguno de ellos. En los casos 1, 2, 3, 4 y 7 (tabla 1) los pacientes refirieron que la lesión cutánea pigmentada estaba presente desde el nacimiento y/o primera infancia. Histológicamente estos 5 casos cumplían los requisitos de nevo congénitos2,6. Dos de ellos fueron intradérmicos (casos 1 y 4) y tres compuestos (casos 2, 3 y 7). En estos 5 casos se observó, en la dermis reticular, en el seno de la población melanocítica, la presencia de estructuras vasculares linfáticas que contenían en su luz celularidad de hábito melanocítico que adoptaban un patrón arquitectural de masas polipoides (fig. 1) con un revestimiento endotelial de la superficie interna. En el caso número 4 este revestimiento endotelial era parcial, dando la apariencia de que las células melanocíticas del propio nevo empujaban y en algún área sustituían o lesionaban el revestimiento endotelial (fig. 2). En el caso 1 existían además estructuras vasculares linfáticas distantes a la lesión con melanocitos en su luz en forma de agregados irregulares (fig. 3).
Fig. 1.--Crecimiento polipoide intravascular en el seno de un nevo congénito. (Hematoxilina-eosina, ×40.)
Fig. 2.--Invasión de vaso linfático por componente polipoide y agregados irregulares de melanocitos. (Hematoxilina-eosina, ×100.)
Fig. 3.--Nido sólido melanocítico intravascular. (Hematoxilina-eosina, ×60.)
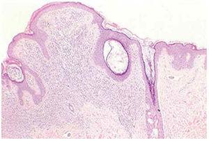
En los casos 5 y 6 no existían criterios concluyentes de nevo congénito. Los pacientes recordaban tener las lesiones pigmentadas desde hacía años, pero no desde la infancia. En el caso 5, la paciente tenía como antecedente un nevo displásico en otra localización. La lesión pigmentada incluida en el estudio correspondía a un nevo melanocítico intradérmico con componente lentiginoso suprayacente, con características diagnósticas de nevo compuesto. En ambos casos se observaron estructuras vasculares linfáticas en la dermis adyacente a la lesión, que contenían melanocitos en su luz en forma de agregados irregulares o adheridos al endotelio (figs. 4 y 5). Por último, el caso 8 (que correspondía a un nevo intradérmico común), presentaba masas polipoides de melanocitos que protruían en la luz de los vasos linfáticos situados en el seno de la proliferación melanocítica dérmica.
Fig. 4.--Invasión de vasos linfáticos adyacentes y subyacentes al nevo. (Hematoxilina-eosina, ×40.)
Fig. 5.--Detalle de los émbolos melanocíticos en la dermis adyacente. (Hematoxilina-eosina, ×100.)
DISCUSION
La invasión de vasos linfáticos en los nevos melanocíticos es un hallazgo casual e infrecuente en nevos melanocíticos adquiridos (4 %) y es algo más frecuente en los nevos melanocíticos congénitos y nevos de Spitz, y que tiene una importancia tanto desde punto de vista práctico, para evitar un falso diagnóstico de malignidad, como para explicar su patogenia2,4,6.
En los pacientes oncológicos que han sido sometidos a vaciamiento ganglionar, en ocasiones se observan agregados de melanocitos (benignos) localizados dentro de la cápsula fibrosa, en la cortical o en la grasa periganglionar. Este fenómeno se produce generalmente en los ganglios linfáticos de localización superficial (zonas de drenaje cutáneo)2. Donde se da esta situación más frecuentemente es en el estudio de ganglios regionales en casos de melanoma (3,9 %) y carcinoma de mama (< 1 %)7. Las localizaciones más frecuentes de los ganglios linfáticos examinados son la axilar e inguinal7. Realizar una correcta diferenciación de estas células melanocíticas desprovistas de agresividad biológica respecto a metástasis de su cáncer primario es de suma importancia para establecer un correcto tratamiento y valoración pronóstica.
La patogenia de la invasión de los vasos linfáticos en el nevo melanocítico es desconocida, pero se han planteado tres hipótesis. La primera teoría fue descrita en 1931 por Stewart y Copelan, quienes explicaban el fenómeno como una forma de neurofibromatosis; esta teoría fue pronto rechazada1. La segunda teoría fue propuesta en 1935 por Von Albertini, quien habló por primera vez de metástasis «benignas» y explicó la presencia de células melanocíticas en ganglios linfáticos por un fenómeno de embolización linfática desde un nevo melanocítico4. La tercera teoría explica la presencia de células melanocíticas en los ganglios linfáticos mediante una migración aberrante de melanocitos desde la cresta neural durante la sexta, séptima y octava semana de edad gestacional coincidiendo con la etapa del desarrollo embrionario del sistema linfático1,5.
Para diferenciar las células melanocíticas «benignas» que se encuentran en los ganglios linfáticos de las células malignas correspondientes a un melanoma o a un carcinoma de mama, son de gran utilidad criterios histológicos como el patrón de distribución o la localización de la celularidad melanocítica dentro del ganglio, aunque las técnicas inmunohistoquímicas han supuesto una gran ayuda3,8,9. Así, las células melanocíticas benignas encontradas en un ganglio se localizan por lo general en la cápsula, en la corteza o en la grasa periganglionar, y resulta excepcional su distribución en regiones más profundas del ganglio9. Inmunohistoquímicamente estas células son positivas frente a S100, MART1 y tirosinasa, marcadores que son negativos en las células epiteliales atípicas del carcinoma. Por otro lado, las células provenientes de un melanoma presentan una distribución irregular a lo largo de todo el ganglio linfático y muestran positividad frente a los marcadores anteriormente citados, además de ser positivas en un porcentaje alto para el Ki-67. Este marcador de proliferación celular resulta negativo en la mayoría de las metástasis «benignas», y en los casos en que es positivo, el nevo melanocítico presenta un comportamiento más agresivo e impredecible8,10.
En nuestros casos, al igual que en trabajos previos2,6, se observa cómo la presencia de celularidad melanocítica en los vasos linfáticos se produce con mayor frecuencia en los nevos melanocíticos congénitos. Llama asimismo la atención el predominio absoluto de mujeres. Se describen dos patrones distintivos de distribución de las células melanocíticas en la luz de los vasos linfáticos. El patrón polipoide, está constituido por nidos sólidos donde los vasos linfáticos suelen encontrarse en el seno de la propia proliferación melanocítica que constituye el nevo. En otras ocasiones, los vasos embolizados se encuentran separados, adyacentes al nevo. El hecho de que se aprecie cómo las células melanocíticas ocupan la luz de vasos linfáticos en el seno del nevo en forma de masas polipoides apoyaría la teoría de las metástasis «benignas», especialmente si, cómo ocurre en alguno de nuestros casos, la celularidad melanocítica del propio nevo empuja, rompe y penetra en el revestimiento endotelial del vaso linfático. La presencia en vasos linfáticos distantes al nevo de células melanocíticas formando agregados irregulares y parcialmente revestidos por celularidad endotelial apoyaría todavía con mayor fuerza la teoría de la embolización linfática, ya que estas células se encuentran en el camino de drenaje hacia los ganglios linfáticos regionales, lugar donde se detectan las llamadas metástasis «benignas».
En nuestros casos, los cinco nevos melanocíticos congénitos mostraron vasos linfáticos con melanocitos en su luz en forma de masas polipoides localizados en el seno de la población melanocítica que constituye el nevo. Además, uno de ellos presentó el otro patrón arquitectural, con vasos linfáticos distantes a la lesión névica que contienen agregados irregulares de células melanocíticas parcialmente revestidas por endotelio vascular. Los 3 casos de nevos adquiridos también presentaban vasos linfáticos distantes al nevo con la luz ocupada por células melanocíticas.
En resumen, nuestros hallazgos confirman la mayor frecuencia de invasión de vasos linfáticos en nevos melanocíticos congénitos, y ponen de manifiesto los dos principales patrones de invasión que apoyan la teoría embolígena a partir de nevos melanocíticos para explicar la presencia de agregados melanocíticos «benignos» en los ganglios linfáticos.








