El término hiperqueratosis epidermolítica fue empleado por vez primera por Frost y Van Scott en 1966 para referirse a los cambios histológicos observados en la eritrodermia ictiosiforme congénita ampollosa (EICA) y en algunos nevos epidérmicos lineales; tales cambios sugerían una lisis de las células epidérmicas en combinación con un engrosamiento del estrato córneo (1). Posteriormente se ha demostrado que estas mismas alteraciones microscópicas podemos encontrarlas incidentalmente en una gran variedad de procesos mucocutáneos (2). Presentamos un caso de hiperqueratosis epidermolítica incidental hallada casualmente al estudiar una biopsia de una amiloidosis maculosa.
DESCRIPCION DEL CASO
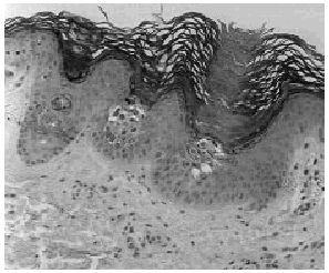
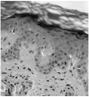
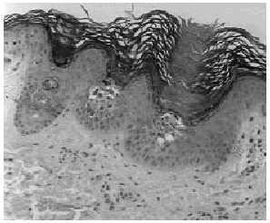
Mujer de 52 años, con antecedentes de accidente cerebrovascular sufrido hacía 10 años, que consultó por presentar desde hacía más de 2 años áreas hiperpigmentadas y pruriginosas en el tercio superior de la espalda. Con la sospecha clínica de amiloidosis maculosa se realizó una biopsia cutánea. En ella se observó una hiperpigmentación de la capa basal y la presencia en las pápilas dérmicas de un material rosado de aspecto cuarteado característico de la amiloidosis maculosa (Fig. 1) junto a cambios focales de hiperqueratosis epidermolítica (Fig. 2). Las tinticiones con Rojo-Congo y citoqueratinas de alto peso molecular fueron negativas.
FIG. 1.--Detalle de los «glóbulos» eosinófilos de amiloide depositados en las papilas dérmicas.
FIG. 2.--Presencia de dos mínimos focos de hiperqueratosis epidermolítica en el seno de la amiloidosis maculosa.
Las lesiones cutáneas involucionaron al evitar el ras- cado y tras la aplicación diaria de acetonato de metilprednisolona y emolientes tópicos durante 5 semanas.
DISCUSION
La hiperqueratosis epidermolítica es un término descriptivo empleado para referirse a unas características histológicas bien definidas: hiperqueratosis compacta, vacuolización perinuclear del estrato granuloso y de la porción superior de la capa espinosa junto a gránulos de queratohialina de morfología irregular (2-4). Constituye un patrón histopatológico de la epidermis que puede evidenciarse en una amplia variedad de alteraciones cutáneas; desde dermatosis congénitas, como la EICA, algunos nevos epidérmicos o la queratodermia palmo-plantar hereditaria tipo Voerner, hasta procesos adquiridos como el acantoma epidermolítico solitario, el acantoma epidermolítico diseminado o la hiperqueratosis epidermolítica actínica persistente (5). Además, la hiperqueratosis epidermolítica puede ser un hallazgo casual en bipsias tomadas para estudiar otras enfermedades cutáneas. Esta hiperqueratosis epidermolítica «incidental» puede aparecer, por ejemplo, en quistes epidérmicos, queratosis seborreicas, carcinomas espinocelulares, carcinomas basocelulares, queratosis actínicas, nevos melanocíticos, melanomas, dermatofibromas, granuloma anular, dermatitis numular, mucosa normal y liquen amiloideo (2) entre otras dermatosis inflamatorias y tumorales (6). Aunque es bien conocido que una mutación en los genes que codifican las K1 y K10 determina la hiperqueratosis epidermolítica en la EICA, la etiopatogenia de la hiperqueratosis epidermolítica incidental continúa sin aclararse (2, 3, 5).
En nuestro caso hemos observado un foco de hiperqueratosis epidermolítica acompañando a una amiloidosis maculosa. La amiloidosis maculosa se manifiesta clínicamente como máculas hiperpigmentadas pruriginosas localizadas preferentemente en el espacio interescapular, siendo una clave histológica para su diagnóstico la presencia de «glóbulos» de un material rosado en unas papilas dérmicas ensanchadas con apenas componente inflamatorio acompañante (7). El amiloide depositado es tan escaso que en muchas ocasiones las tinticiones que se realizan para evidenciarlo resultan negativas como sucedió en nuestro caso (8-10).
Las amiloidosis maculosa y el liquen amiloideo comparten mecanismos patogénicos. Se ha propuesto que divesos traumas (i.e fricción) u otras injurias sobre la epidermis (i.e picaduras de insectos, mínimas infecciones, etc.) podrían lesionar inicialmente a los queratinocitos y a partir de ahí desencadenarse la degeneración filamentosa que origina los cuerpos citoides o hialinos que constituirán finalmente el amiloide que se depositará en la dermis (8).
La presencia de una hiperqueratosis epidermolítica incidental en el contexto de una amiloidosis macular no aparece descrita en la literatura. Únicamente hemos encontrado una observación similar referida a un liquen amiloideo con cambios microscópicos focales de hiperqueratosis epidermolítica (3).
Aunque probablemente en nuestro caso la hiperqueratosis epidermolítica sea un hallazgo casual, planteamos la posibilidad de que el trauma mecánico friccional también pudiera favorecer, al igual que ocurre en la amiloidosis maculosa, los cambios epidérmicos propios de la hiperqueratosis epidermolítica , y en tal caso perdería su carácter incidental. A este respecto conviene señalar que algunos autores han propuesto que otro tipo de trauma (exposición solar excesiva) puede inducir fenómenos de hiperqueratosis epidermolítica.




