Sr. Director:
Tradicionalmente se han descrito las lesiones cutáneas del escorbuto como púrpura diseminada, pápulas queratósicas foliculares y pelo rizado «en sacacorchos»1-3. Por otra parte, los hallazgos dermatoscópicos habituales han sido descritos como hiperqueratosis folicular, hemorragias y pelos en sacacorchos4. Nosotros hemos tenido la oportunidad de observar un paciente con escorbuto crónico que presentaba unos hallazgos peculiares en la observación dermatoscópica.
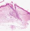
Se trataba de un varón de 68 años, alcohólico, desdentado, con una historia dietética restringida a la ingesta de bizcochos desde hacía mucho tiempo, que acudió al Servicio de Urgencias de nuestro hospital presentando un importante deterioro de su estado general de dos meses de evolución consistente en astenia, anorexia con pérdida de peso importante y tendencia al encamamiento progresivo, así como dolor y tumefacción en la rodilla derecha y lesiones cutáneas purpúricas distribuidas en los miembros inferiores y el abdomen (fig. 1). En su historial constaban varios episodios de hemartrosis y hematurias de repetición durante los últimos dos años que no tuvieron un diagnóstico concreto. La dermatoscopia de las lesiones cutáneas puso de manifiesto la presencia de un halo perifolicular de color anaranjado pálido rodeado por otro halo purpúrico hemorrágico periférico además de los pelos «en sacacorcho» y la hiperqueratosis folicular (fig. 2). Una biopsia de piel mostró un tallo piloso ensortijado seccionado a distintos niveles en el interior del folículo, una fibrosis compacta perifolicular y hematíes extravasados en la dermis, pero no en la zona fibrótica perifolicular anteriormente mencionada (fig. 3).
Ante la sospecha clínica de que se trataba de un caso de escorbuto se midieron los niveles plasmáticos de ácido ascórbico, que estaban muy disminuidos (menos de 0,1 mg/dl; normal de 0,2 a 0,4 mg/dl), lo que permitió confirmar el diagnóstico. Además, el paciente respondió espectacularmente al tratamiento oral con vitamina C y suplementos nutricionales de frutas y verduras, desapareciendo las lesiones cutáneas en menos de 15 días y mejorando notablemente su estado general.
Una explicación para esta observación dermatoscópica podría ser que el peculiar halo naranja pálido fuera debido a los cambios habituales observados en las lesiones purpúricas una vez que comienzan a reabsorberse los hematíes extravasados. Dicha reabsorción podría comenzar por la parte más próxima al folículo y explicar la presencia del halo anaranjado como un hallazgo temporal dentro de un proceso dinámico. Sin embargo, en contra de esta explicación cabría argumentar que el paciente no había iniciado todavía el tratamiento ni había comenzado por tanto la mejoría clínica. Más sugestiva es para nosotros la hipótesis de que existe una correlación entre la imagen dermatoscópica y los hallazgos histopatológicos encontrados. La fibrosis perifolicular observada en este caso rechazaría o impediría la acumulación de eritrocitos en esa zona y ambos factores, la fibrosis y la ausencia de eritrocitos, explicarían el halo claro de color naranja ya mencionado. Fuera de la zona de fibrosis el colágeno dérmico sería más laxo y permitiría la acumulación de los eritrocitos, lo que se traduciría en lesiones hemorrágicas en la periferia de la zona clara anaranjada.
Pensamos, por lo tanto, que esta observación dermatoscópica no es banal, sino que puede correlacionarse con los hallazgos histopatológicos encontrados. Nos ha parecido interesante comunicarla, ya que, de confirmarse, podría permitir diferenciar con un signo clínico el escorbuto crónico evolucionado del agudo. Este último no tendría por qué presentar dicho halo, ya que no habría desarrollado la fibrosis perifolicular que suponemos determinante de este signo dermatoscópico. Sin embargo, son necesarias más observaciones que confirmen la validez de esta observación.





