El granuloma aséptico facial idiopático (GAFI) es una entidad pediátrica descrita en 1999 por un grupo de dermatólogos franceses con el nombre de pyodermite froide1, debido a su parecido con un absceso, aunque con leves signos inflamatorios2. Se caracteriza por la aparición de uno o más nódulos no dolorosos, eritematosos o violáceos en el área facial, preferentemente localizados en las mejillas y/o los párpados1. Estos tienen un curso benigno que dura de pocos meses a un año, y normalmente curan sin dejar cicatrices2.
El estudio anatomopatológico muestra una reacción inflamatoria granulomatosa similar a la observada en los granulomas producidos por cuerpos extraños o por agentes infecciosos como las micobacterias2. Los estudios ecográficos de este tipo de lesiones demuestran una lesión sólida, hipoecoica y sin depósitos de calcio3.
Presentamos el caso de una paciente de 2 años de edad, sin antecedentes médicos de interés, que es remitida a nuestra consulta por presentar, desde hace unos 2 meses, una lesión nodular asintomática en la mejilla izquierda (fig. 1). A la exploración podíamos observar un nódulo eritematovioláceo de aproximadamente 1cm de diámetro, no doloroso y no fluctuante a la palpación. No presentaba adenopatías regionales. Tras interrogar a su madre, no refería antecedentes de picadura o traumatismo en esa localización.
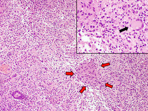
Se realizaron cultivos para bacterias, hongos y micobacterias con resultados negativos, así como una biopsia punch de 3mm de dicha lesión. El estudio anatomopatológico mostraba una marcada inflamación que ocupaba todo el espesor de la dermis; esta se encontraba constituida por histiocitos aislados o formando granulomas mal definidos acompañados de algunas células gigantes multinucleadas y entremezclados con linfocitos, células plasmáticas y neutrófilos, sin llegar a formar granulomas supurativos. Además de la tinción con hematoxilina-eosina se realizaron técnicas especiales con metenamina-plata, PAS, Gram, Zielh-Neelsen y Fite Faraco para descartar etiología infecciosa (fig. 2).
Con estos hallazgos pudo filiarse el cuadro como granuloma aséptico facial idiopático. No se pautó tratamiento.
Tras 4 meses de la primera visita la lesión había desaparecido totalmente, persistiendo una leve coloración rosada en su lugar (fig. 3).No se conoce la etiología exacta del GAFI, si bien Boralevi et al.2 postulan que puede estar relacionada con un proceso granulomatoso alrededor de un resto embriológico, o que sea una manifestación incluida en el espectro de la rosácea granulomatosa en la infancia. Un estudio multicéntrico prospectivo de 30 casos de este mismo autor, registró una duración media del proceso de 11 meses, así como la ineficacia de la antibioticoterapia2.
El diagnóstico diferencial incluye tumores benignos, especialmente el pilomatrixoma localizado en los párpados o las cejas4,5; quistes dermoides, epidermoides o chalazión; granulomas piogénicos, nevus de Spitz y xantogranulomas. También hay que realizar el diagnóstico diferencial con infecciones bacterianas, fúngicas, o producidas por micobacterias o parásitos (leishmaniasis), más frecuentes en pacientes inmunodeprimidos2. En algunos casos pueden parecerse a malformaciones vasculares o hemangiomas, aunque el curso clínico es muy diferente3. Otro diagnóstico diferencial incluiría el acné noduloquístico paucisintomático2,6.
Hemos querido presentar este caso para enfatizar la importancia de considerar el GAFI en el diagnóstico diferencial de nódulos faciales adquiridos en la edad pediátrica. Es importante informar sobre la benignidad de este proceso, y se recomienda realizar un seguimiento hasta su resolución1.
La apariencia clínica característica y la localización de estas lesiones, en ausencia de adenopatías y síntomas constitucionales, puede permitir la realización de un diagnóstico clínico directo y evitar intervenciones innecesarias.





