INTRODUCCION
El granuloma anular es una dermatosis de etiología desconocida que presenta un gran número de variantes clínicas como son las formas localizada, generalizada, subcutánea, perforante, lineal, papular1,2, folicular y pustulosa3. Recientemente se ha descrito la variante macular de granuloma anular, caracterizada por lesiones eritematosas no palpables de crecimiento centrífugo4. Se describen a continuación 5 casos de esta forma clínica.
PACIENTES Y MÉTODO
Se incluyen 5 pacientes que desarrollaron lesiones cutáneas compatibles con un granuloma anular de la variedad macular. En todos ellos se realizó una biopsia «en sacabocados» y se revisaron las características epidemiológicas, clínicas y anatomopatológicas.
RESULTADOS
Las características clínicas y epidemiológicas de los pacientes se recogen en la tabla 1. Se trataba de 4 mujeres y un varón, con edades comprendidas entre los 58 y los 66 años. Dos de ellos seguían tratamiento, uno con enalapril y alendronato y el otro con valsartán. Todos presentaban lesiones en forma de máculas redondeadas eritematovioláceas o amarronadas, sin cambios epidérmicos (figs. 1 y 2), de meses de evolución. Las lesiones eran asintomáticas, o causaban un ligero prurito. En el momento de la consulta las lesiones eran de gran tamaño (entre 5 y 15 cm de diámetro) y se localizaban en los muslos, excepto en un caso, que presentó las lesiones en los antebrazos. En 3 pacientes se observó una lesión única, mientras que los dos restantes presentaron lesiones bilaterales y simétricas.
Fig. 1.--Paciente 1. Mácula ovalada eritematosa localizada en la cara anterior del muslo derecho.
Fig. 2.--Paciente 2. Mácula eritematopardusca en la cara interna del codo izquierdo.
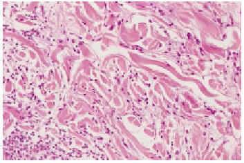
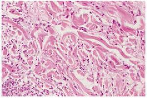
Los hallazgos histológicos eran similares en todos los casos: un moderado infiltrado linfohistiocitario intersticial localizado en la dermis superficial con fibras de colágeno degenerado (figs. 3 y 4). También se observó depósito de mucina entre la necrobiosis.
Fig. 3.--El estudio histológico muestra un infiltrado difuso localizado en la dermis sin alteraciones epidérmicas.
Fig. 4.--A mayor aumento se observa un infiltrado compuesto por linfocitos e histiocitos dispuestos entre las fibras de colágeno degenerado.
DISCUSION
El granuloma anular es una dermatosis benigna, en general de curso autolimitado y de causa desconocida, aunque se ha relacionado con las picaduras de insecto, la fotoexposición, la prueba de la tuberculina, los traumatismos5, las infecciones virales (virus de Epstein-Barr, virus de la inmunodeficiencia humana y virus de la varicela-zóster)6,7 y la terapia con psoraleno y luz ultravioleta (PUVA)8. Es más frecuente en los niños y los adultos jóvenes. La incidencia en las mujeres es mayor que en los varones9. La etiopatogenia es desconocida, pero algunos autores piensan que el granuloma puede ser debido a algún trastorno inmunitario responsable de una respuesta inflamatoria alrededor de los vasos sanguíneos que conduciría a alteraciones en el colágeno y las fibras elásticas10.
La variante macular, de reciente descripción, se caracteriza por presentar lesiones en forma de máculas eritematosas amarronadas que crecen de manera centrífuga. Las lesiones cursan de forma asintomática, a veces son ligeramente pruriginosas y pueden llegar a tener gran tamaño. Al igual que para el resto de las formas de granuloma anular, no se ha establecido la relación de la variedad macular con la diabetes mellitus, la necrobiosis lipoídica diabeticorum y los nódulos reumatoides. También en esta variante los análisis de laboratorio suelen ser normales y, en general, no está recomendado realizarlos4.
La biopsia permite confirmar el diagnóstico. Los diferentes tipos de granuloma anular comparten hallazgos histológicos que son característicos del proceso11. En la dermis reticular alta se observa degeneración del colágeno, depósito de mucina y un infiltrado compuesto por monocitos, histiocitos, ocasionales células gigantes y un número variable de linfocitos y fibroblastos. Puede observarse un infiltrado linfocitario perivascular en la proximidad de la necrobiosis. La epidermis suele estar respetada, excepto en el granuloma anular perforante, el folicular y el pustuloso. Todos estos hallazgos se distribuyen en dos patrones: el patrón en empalizada (característico del granuloma anular) y el patrón difuso o intersticial (la degeneración del colágeno afecta a fibras aisladas)12. El estudio histológico de los diferentes tipos de granuloma anular muestra que el patrón intersticial es tan común como el patrón en empalizada y con frecuencia estos dos patrones coexisten en una misma lesión13.
Se ha sugerido que la variedad macular mostraría únicamente el patrón intersticial, por lo que se trataría de una patología difusa, más que focal4. Este patrón intersticial se observó también en nuestros pacientes.
En la práctica clínica, el diagnóstico diferencial del granuloma anular se plantea con la morfea, la parapsoriasis, la lepra o el eritema crónico migrans, pero en todas estas entidades los hallazgos histológicos permiten distinguirlas del granuloma anular y establecer el diagnóstico.
Si se consideran únicamente los hallazgos microscópicos, el granuloma anular puede confundirse con la necrobiosis lipoídica y la dermatitis granulomatosa intersticial, ya que también son entidades necrobióticas y granulomatosas.
De ambas, la que ofrece mayor dificultad diagnóstica quizá sea la dermatitis granulomatosa intersticial, una entidad de reciente definición descrita en pacientes afectados por una enfermedad sistémica de naturaleza autoinmune (lupus eritematoso sistémico, artritis reumatoide, vasculitis sistémicas, enfermedad inflamatoria intestinal, etc.), procesos linfoproliferativos o secundaria a la administración de fármacos. En el caso de asociarse a enfermedad autoinmune, se han usado numerosas denominaciones para describirla (dermatitis neutrofílica y granulomatosa en empalizada, dermatitis granulomatosa con cuerdas cutáneas y artritis, pápulas reumatoides, granuloma de Churg-Strauss o granuloma necrobiótico, dermatitis neutrofílica reumatoide)14, lo que demuestra la gran variabilidad, tanto clínica como histológica, de esta entidad. Las formas de presentación son muy variadas15,16; se han descrito pacientes que presentaban lesiones en forma de placas eritematosas, más o menos induradas, a veces de morfología anular en los muslos o el abdomen que plantearían problemas de diagnóstico diferencial con la entidad que nos ocupa. El aspecto histológico variaría desde una vasculitis leucocitoclástica con un infiltrado neutrofílico más o menos abundante en las lesiones más precoces, hasta la formación de granulomas en empalizada en las lesiones más evolucionadas14. Cuando predomina el infiltrado mixto o granulomatoso, el aspecto histológico puede ser similar al del granuloma anular macular. Sin embargo, a diferencia de lo que se observa en la dermatitis granulomatosa intersticial, en el granuloma anular el infiltrado granulomatoso difuso o en empalizada suele localizarse en la dermis reticular alta16, la mucina es abundante, los núcleos de los histiocitos no son grandes ni pleomórficos, las mitosis de los histiocitos son menos numerosas y raramente se observan neutrófilos y eosinófilos14,17,18.
La dermatitis granulomatosa intersticial relacionada con la administración de fármacos muestra una sintomatología e histopatología similares a las de la dermatitis granulomatosa intersticial asociada a enfermedad sistémica. Todavía no se ha aclarado la distinción entre estas dos situaciones19-21. La posible etiología farmacológica se planteó en dos de nuestros pacientes que recibían tratamientos crónicos. Dicha causa parece improbable, ya que las lesiones desaparecieron sin interrumpir el tratamiento farmacológico y, además, en los casos descritos en la literatura médica de reacción granulomatosa intersticial producida por fármacos, es frecuente observar una dermatitis de interfase concomitante, que a veces adopta una morfología liquenoide19, hallazgos que faltaban en nuestros pacientes.
Ninguno de los casos que presentamos requirió tratamiento sistémico, ya que se trataba de lesiones localizadas y asintomáticas. En tres de ellos pudo comprobarse la curación espontánea de éstas en pocos meses.
El tratamiento de la variante macular no es diferente al que puede plantearse en el resto de tipos de granuloma anular. Puesto que en la mayor parte de casos las lesiones son asintomáticas y poco numerosas, se recomiendan los tratamientos poco agresivos, como los corticoides tópicos o la abstención terapéutica.
Como conclusión, se describen 5 casos de granuloma anular en su forma macular cuyos hallazgos en la microscopia corresponden a la del granuloma anular con patrón difuso o intersticial. El diagnóstico de esta variante es difícil si el clínico y el patólogo no tienen una gran sospecha.







