La fístula mamilar (FM) o enfermedad de Zuska fue descrita por primera vez en 19511, como la aparición de pequeños nódulos inflamatorios dolorosos en la región periareolar, que generalmente evolucionan a la formación de abscesos recurrentes, sinus y fístulas. Posteriormente, Atkins2 acuñó el término FM para referirse a esta entidad, que supone entre un 1-2% de todas las afecciones mamarias sintomáticas, que es de difícil tratamiento y asocia una morbilidad prolongada, con un profundo impacto en la calidad de vida de los pacientes3.
Una mujer de 23 años, fumadora, se encontraba en seguimiento por la unidad de patología mamaria (UPM) de nuestro hospital por brotes recurrentes de mastitis izquierda durante los últimos 9 meses. La paciente había recibido varios ciclos de antibióticos orales con una buena respuesta clínica durante el tratamiento, aunque con una reaparición de los síntomas inflamatorios con dolor invalidante y cambios inflamatorios con supuración a las pocas semanas de finalizar cada ciclo. Todo ello la había llevado a consultar en al menos 10 ocasiones a la UPM, al servicio de urgencias y a su médico de atención primaria. Antes de la realización de una resección en cuña de los conductos galactóforos, la UPM remitió la paciente para su valoración dermatológica.
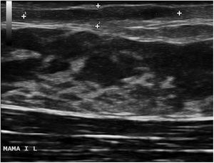
En la exploración clínica, se apreciaba un área indurada, eritematosa y elongada periareolar izquierda, dolorosa a la palpación (fig. 1). En la ecografía se visualizó en la dermis superficial una imagen longitudinal en banda hipoecogénica de 15×2,4×6mm, doppler negativa, compatible con un trayecto fistuloso (fig. 2). Con estos hallazgos la paciente fue diagnosticada de FM. Se pautó tratamiento con triamcinolona intralesional con lo que se consiguió la resolución clínica y ecográfica de la lesión. La paciente no presentó recidiva durante los siguientes 6 meses de seguimiento (fig. 3).
Durante años se ha sugerido que el origen de la FM se encuentra en la obstrucción de un conducto lactóforo distal por una metaplasia escamosa con queratinización y/o epidermización del conducto. Sin embargo, recientemente se ha propuesto que la FM se origina en un folículo, donde el evento inicial es la oclusión del conducto del folículo piloso por hiperqueratinización, que conduce a la dilatación y a la rotura ductal, con una fuga de secreciones al tejido celular subcutáneo que da lugar a una reacción inflamatoria posterior, una infección bacteriana secundaria y, finalmente, a la formación de abscesos con drenaje de los tractos sinusales y a fístulas en la zona periareolar3. En este caso la metaplasia escamosa encontrada en las biopsias representaría la respuesta del tejido a un proceso crónico inflamatorio, por lo que sería atribuible a la inflamación y no la causa de la misma. Teniendo en cuenta esta teoría, la FM compartiría un origen patogénico con los distintos componentes del síndrome de oclusión folicular tales como la hidradenitis supurativa (HS), los quistes pilonidales, la celulitis disecante del cuero cabelludo y el acné conglobata.
La FM presenta un comportamiento similar al de la HS, con un curso crónico, recurrente, con brotes de actividad inflamatoria, y la formación de fístulas. Ambas aparecen en mujeres entre los 20 y los 50 años, se relacionan de manera estrecha con el tabaquismo, y asocian un alto impacto en la calidad de vida. El diagnóstico es clínico en ambas entidades, y la ecografía aporta información más precisa para el diagnóstico. La HS puede aparecer en diversas localizaciones, mientras que la FM siempre envuelve el complejo aréola-pezón. El manejo es similar en ambos casos incluyendo antibióticos, antiinflamatorios y cirugía. La presencia de ambas entidades, FM y HS en la misma paciente apoyan el concepto de que la FM puede ser una manifestación más de la HS4–6.
En resumen, la FM es una entidad probablemente infradiagnosticada y relativamente poco conocida por los dermatólogos y ginecólogos, que debe sospecharse ante la presencia de abscesos areolares recurrentes. Esta entidad comparte características clínicas y probablemente etiopatogénicas con la HS, y en su tratamiento deben considerarse los corticoides intralesionales.
Conflicto de interesesLos autores declaran no tener ningún conflicto de intereses.





