El pilomatricoma es la segunda neoformación cutánea más frecuente en la infancia y la juventud, con un amplio diagnóstico diferencial. El objetivo principal del estudio fue determinar la incidencia de pilomatricomas en nuestro hospital y sus características en relación con: edad, sexo, localización, síntomas, traumatismo previo, diagnóstico clínico, enfermedades asociadas, casos múltiples, características ecográficas, tratamiento quirúrgico y técnica anestésica y complicaciones posteriores.
Material y métodoSe recogieron de forma retrospectiva los pilomatricomas extirpados quirúrgicamente en nuestro hospital de enero de 2004 a diciembre de 2012 a partir de la base de datos de anatomía patológica.
ResultadosSe estudiaron 261 pilomatricomas en 239 pacientes, 120 eran mujeres y 119 varones de edades comprendidas entre 1 y 83 años, con una media de 26,4 años. La forma de presentación más frecuente fue como un nódulo firme, subcutáneo, asintomático en el 82% de los casos. La localización más frecuente fue la cabeza y el cuello (49,81%). El diagnóstico clínico preoperatorio fue acertado en el 54,4%. Cincuenta y nueve pacientes tenían otras enfermedades y 7 recordaban traumatismo previo en la zona. Se registraron 17 casos múltiples, uno familiar, y 2 en pacientes con enfermedad de Steinert. En 57 lesiones se realizó ecografía de partes blandas, con imágenes compatibles con pilomatricoma en 48. Ciento ochenta y cinco pilomatricomas se extirparon con anestesia local y 76 con anestesia local y general. Como complicaciones posquirúrgicas hubo un caso de cicatriz hipertrófica y otro de dehiscencia.
ConclusionesEl nuestro es el estudio retrospectivo que recoge el mayor número de casos en nuestro país y uno de los que comunica mayor incidencia de casos. Además, se estudian variables no recogidas en otras series.
Pilomatricoma is the second most common skin tumor in childhood and youth and it has a broad differential diagnosis. The main objective of the present study was to determine the incidence of pilomatricomas in our hospital and to analyze the following variables: patient age and sex, tumor site, symptoms, previous trauma, clinical diagnosis, associated diseases, number of cases of multiple tumors, ultrasound findings, anesthetic and surgical techniques, and postoperative complications.
Material and methodThis was a retrospective study of the pilomatricomas surgically excised between January 2004 and December 2012 and registered in the database of the pathology department of our hospital.
ResultsWe found 261 pilomatricomas in 239 patients (120 female and 119 male) between 1 and 83 years of age (mean age, 26.4 years). The most common presentation was as a firm subcutaneous nodule, which was asymptomatic in 82% of cases. Tumors most commonly affected the head and neck (49.81%). Preoperative diagnosis was correct in 54.4% of cases, concomitant diseases were present in 59 cases, and 7 patients reported a history of trauma in the area of the tumor. There were 17 cases of multiple tumors, 1 case in a patient with familial disease and 2 in patients with Steinert disease. Soft-tissue ultrasound was performed on 57 lesions; images were compatible with pilomatricoma in 48 cases. Tumor excision was performed under local anesthesia in 185 cases and under local and general anesthesia in 76. The postoperative complications were hypertrophic scarring and wound dehiscence (1 case each).
ConclusionsThis was a retrospective study with the largest series recorded in Spain and with one of the highest incidences. In addition, we report on variables not described in other studies.
El pilomatricoma, también denominado pilomatricoma o tricomatricoma, es un tumor benigno con diferenciación hacia la matriz, corteza y vaina epitelial del pelo. Es la segunda neoplasia cutánea benigna más frecuente en la infancia y la juventud después del quiste epidérmico, pero a pesar de su frecuencia presenta un amplio abanico de diagnóstico diferencial clínico1. Epidemiológicamente se ha descrito con mayor frecuencia en el sexo femenino, y se localiza preferentemente en la cabeza y el cuello, seguido del tronco y de las extremidades. La presentación clínica más frecuente es como una lesión subcutánea, de consistencia firme y superficie lobulada, desplazable, recubierta de piel de color normal, a veces eritematosa o azulada2. El «signo de la tienda de campaña» es característico de esta lesión y se refiere a la palpación de la consistencia firme y lobulada cuando se tensa la piel suprayacente entre los dedos3. Recientemente se ha descrito también el «signo de la arruga o raya en la piel» como la formación de una arruga o pliegue que se forma cuando se aprieta ligeramente sobre los márgenes del tumor con ambos pulgares de forma perpendicular a las líneas de tensión de la piel4. Generalmente el pilomatricoma se presenta en forma de lesión única, y aunque no se ha descrito un patrón hereditario definido, existen casos familiares descritos5,6. En un 2-3,5% de casos, según las series, existen 2 o más pilomatricomas en un mismo paciente; estos casos se denominan múltiples y se describen con mayor frecuencia en pacientes con otras enfermedades sistémicas y cuadros sindrómicos diversos, de tal manera que se consideran marcadores indirectos de los mismos. A pesar de su frecuencia es un tumor clínicamente infradiagnosticado, y el diagnóstico diferencial se realiza con numerosas lesiones cutáneas tanto benignas (quiste epidermoide y dermoide, adenopatía, granuloma a cuerpo extraño, molusco contagioso, xantogranuloma, tumores anexiales y subcutáneos) como malignas (carcinoma basocelular, melanoma) 7. La descripción histológica inicial del pilomatricoma la realizó Highman en 1944, con su descripción de las «células sombra o fantasma», que son células que pierden los núcleos y son características de esta lesión8. Es un tumor bien delimitado que se caracteriza por la mezcla de un componente epitelial de células basaloides y de células sombra en el centro de la lesión, y un componente mesenquimal formado por células fibroblásticas9; en muchas ocasiones se observan focos de calcificación y más raras veces osificación10. El diagnóstico de confirmación es histológico, pero puede apoyarse preoperatoriamente por pruebas de imagen que avalen la sospecha clínica, especialmente por la ecografía de partes blandas. Con la ecografía el tumor se ve como un nódulo hiperecoico o isoecoico con refuerzo periférico y sombra posterior11. En algunos casos se han utilizado también la tomografía computarizada y la resonancia magnética. El papel de la punción aspiración con aguja fina (PAAF) es controvertido, debido a la alta probabilidad de falsos positivos, que según la mayoría de autores depende de la experiencia de la persona que realice la técnica12.
El pilomatricoma es un tumor benigno por definición, pero se han descrito casos de malignización e incluso aparición de metástasis, aunque se piensa que estos casos eran primariamente malignos, es decir, carcinomas pilomatricales13. El tratamiento es quirúrgico, pero no existe consenso en cuanto a los márgenes de escisión, la técnica quirúrgica ni la edad recomendadas para su realización. No se han descrito remisiones espontáneas, y hasta en un 3-4% de los casos se producen recidivas tras la cirugía, aunque se asume que se trata de casos con extirpación incompleta.
El objetivo principal de nuestro estudio fue determinar la incidencia de pilomatricomas solitarios y múltiples en nuestro hospital, al apreciar de forma subjetiva una elevada incidencia. Como objetivo secundario nos planteamos describir las características clínicas y ecográficas de estas lesiones.
Material y métodosSe trata de un estudio descriptivo y retrospectivo de todos los pilomatricomas extirpados quirúrgicamente en el Hospital Universitario de Fuenlabrada a partir de la base de datos de anatomía patológica del centro, durante el periodo comprendido entre enero de 2004 y diciembre de 2012. Dicho hospital atiende a un área de 250.000 habitantes.
Las variables analizadas fueron: edad de aparición, sexo, localización, síntomas asociados, traumatismo previo reconocible, diagnóstico clínico prequirúrgico, enfermedades asociadas, número de casos múltiples y familiares y sus posibles asociaciones, características ecográficas e histológicas, tratamiento quirúrgico y técnica anestésica utilizada y complicaciones posteriores.
ResultadosSe registraron un total de 261 pilomatricomas extirpados quirúrgicamente a 239 pacientes. La mayoría de los casos (83,68%) pertenecían al servicio de dermatología; el resto fueron valorados e intervenidos en otros servicios del hospital: 34 (14,23%) en el servicio de cirugía general, 4 (1,67%) en el servicio de otorrinolaringología y uno (0,42%) en el servicio de oftalmología.
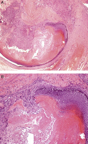
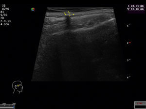
De los 239 pacientes recogidos 120 eran mujeres (50,21%) y 119 varones (49,79%). La edad al diagnóstico osciló entre 1 y 83 años, con una media de 26,4 años. Un 46,03% de los pacientes tenía una edad igual o inferior a 16 años. La localización más frecuente de las lesiones fue la cabeza y el cuello (49,81% de casos), seguida de las extremidades superiores (24,52%), el tronco (15,32%) y las extremidades inferiores (9,58%) (tabla 1). La forma clínica de presentación más frecuente fue como un nódulo subcutáneo firme, que era asintomático en el 82% de los casos (fig. 1). El diagnóstico clínico preoperatorio fue de pilomatricoma en el 54,4% de los casos; el siguiente diagnóstico clínico más frecuente fue el quiste epidérmico (26,44%). Se consideraron otros muchos diagnósticos clínicos, tanto benignos como malignos, cuya especificación y número de casos quedan recogidos en la tabla 2. Cincuenta y nueve de los 239 pacientes tenían otras enfermedades que se recogen a continuación: otras dermatosis en 16 pacientes (múltiples nevus melanocíticos y lesiones pigmentadas en seguimiento en 5 pacientes, acné en 2 casos, carcinoma basocelular en 2 casos, psoriasis, acantosis nigricans, liquen plano, liquen escleroso genital, lipomatosis múltiple, nevus sebáceo y verrugas vulgares múltiples); tumores malignos en 10 pacientes (cáncer de mama en 2 casos, melanoma, feocromocitoma, cáncer de colon, endometrio, cérvix, próstata, páncreas e hígado); enfermedad cardiovascular en 9 pacientes (cardiopatía isquémica, insuficiencia venosa crónica, estenosis aórtica, arteritis de la temporal, hipertensión arterial y diabetes), trastornos endocrinológicos en 7 casos (hipotiroidismo, talla baja, obesidad mórbida, síndrome del ovario poliquístico, pubarquia precoz, síndrome de sobrecrecimiento e hiperandrogenismo), enfermedad respiratoria en 6 pacientes (asma, síndrome de apnea obstructiva del sueño o enfermedad pulmonar obstructiva crónica), enfermedad de Steinert en 3 pacientes, enfermedades del aparato digestivo en 2 pacientes (hepatopatía y enfermedad celiaca), trastorno de déficit de atención con hiperactividad en 2 pacientes y casos aislados de síncopes vasovagales, migrañas, artrosis y quistes renales (tabla 3). Siete pacientes recordaban un traumatismo previo en el lugar de aparición del tumor, en concreto 2 de ellos referían traumatismo con la punta de un lapicero, uno picadura y uno vacunación previa. Se registraron 20 casos de pilomatricomas múltiples (8,39% de los casos): un paciente con 4 pilomatricomas, 4 pacientes con 3 pilomatricomas y 15 pacientes con 2 pilomatricomas cada uno; el único paciente que presentaba 4 pilomatricomas se encontraba en estudio por un síndrome de sobrecrecimiento y además tenía una hermana a la cual también se le extirpó un pilomatricoma. Otros 2 de los casos múltiples correspondían a pacientes con enfermedad de Steinert ya conocida (fig. 2) y uno tenía un carcinoma de endometrio como enfermedades asociadas. Tres de los pacientes a los que se les extirpó un pilomatricoma en nuestro hospital aportaban informe anatomopatológico de un pilomatricoma previo extirpado en otro centro y en otra localización. Se realizó ecografía de partes blandas a 57 de las 261 lesiones (21,84%), la cual presentó imágenes compatibles con pilomatricoma en 48 casos (fig. 3) y resultó inespecífica o no compatible en 9 casos. Desde el punto de vista histológico la gran mayoría de los casos presentaban las características propias de los pilomatricomas previamente descritas (fig. 4); se registraron 5 quistes híbridos (quiste epidérmico y pilomatricoma en la misma pieza), un caso de pilomatricoma anetodérmico, que fue diagnosticado preoperatoriamente, un caso de osificación, un pilomatricoma con queratosis seborreica acantósica y un quiste folicular con áreas de tipo tricolemal-epidérmico y pilomatricoma. No ha habido ningún caso de carcinoma pilomatrical, ni áreas de malignización en ninguna de las lesiones.
Diagnóstico diferencial clínico prequirúrgico
| Diagnóstico clínico | N | % |
| Pilomatricoma | 142 | 54,4 |
| Quiste epidérmico | 69 | 26,44 |
| Tumor subcutáneo | 12 | 4,6 |
| Quiste tricolemal | 6 | 2,29 |
| Carcinoma basocelular | 6 | 2,29 |
| Granuloma a cuerpo extraño | 4 | 1,53 |
| Molusco contagioso | 3 | 1,15 |
| Dermatofibroma | 2 | 0,77 |
| Xantogranuloma juvenil | 2 | 0,77 |
| Leishmaniasis cutánea | 2 | 0,77 |
| Otrosa | 11 | 4,21 |
| No referido | 2 | 0,77 |
Enfermedades asociadas en los pacientes con pilomatricomas
| Total casos | 59 |
| Enfermedades o lesiones cutáneas | 16 |
| Tumores malignosa | 10 |
| Enfermedades cardiovasculares | 9 |
| Trastornos endocrinológicosa | 7 |
| Enfermedades respiratorias | 6 |
| Enfermedad de Steinerta | 3 |
| Enfermedades digestivas | 2 |
| TDAH | 4 |
| Otras | 4 |
TDAH: trastorno de déficit de atención con hiperactividad.
El 70,88% de los pilomatricomas (185 tumores) se extirparon con anestesia local y el 29,12% (76 tumores) se extirparon con una combinación de anestesia local y general o sedación, con resultado de muerte en un paciente por complicaciones de la anestesia. Como complicaciones posquirúrgicas hubo un caso de cicatriz hipertrófica y otro de dehiscencia de la herida quirúrgica que no precisaron actuación posterior. Hasta la fecha no se han descrito recidivas; un solo paciente precisó reintervención en una lesión de ala nasal que había sido eliminada de forma incompleta mediante curetaje por sospecha clínica de molusco contagioso, por lo que se le realizó posteriormente la escisión completa.
DiscusiónEn 1880 Malherbe y Chanantais describieron un grupo de tumores que originalmente pensaban que derivaban de la glándula sebácea y que denominaron «epiteliomas calcificantes»14. Posteriormente, en 1961, Forbis y Helwig estudiaron 228 casos de este mismo tumor, y concluyeron que deriva de la matriz del pelo, proponiendo el término de «pilomatrixoma»15.
El pilomatricoma es un tumor cutáneo muy frecuente, tanto que llama la atención el gran número de casos infradiagnosticados descritos en la literatura7. La mayoría de las series coinciden en la forma de presentación clínica como un nódulo subcutáneo firme, la localización más frecuente en la cabeza y el cuello, la predilección por el sexo femenino y la aparición en las 2 primeras décadas de la vida.
Existe una forma clínica especial denominada anetodérmica descrita por Cordiviola en 194316, que consiste en una tumoración subcutánea firme con una piel suprayacente plegada y adelgazada.
En la tabla 4 se recogen los estudios publicados sobre pilomatricomas que recogen más de 100 tumores. La serie más amplia que existe es la de Moehlenbeck et al., que data del año 1973; el trabajo recoge un total de 1.569 pilomatricomas, 170 de los cuales son aportados por los autores17. Los datos recogidos en nuestra serie de pacientes coinciden con lo publicado por otros autores en relación con la localización de las lesiones, pues también son más frecuentes en la cabeza y el cuello. Por el contrario, nosotros no hemos encontrado diferencias en cuanto al sexo. Otra excepción en este sentido es la serie de Guinot-Moya et al.18, quienes encuentran una ligera predilección de estos tumores por el sexo masculino. Algunos trabajos recogen el antecedente previo de un traumatismo reconocible —hasta en un 9%— en la zona de aparición posterior del pilomatricoma, como una picadura de insecto, una vacuna, etc. 2,18, pero teniendo en cuenta la incidencia de este tumor este hecho puede ser casual.
Series más amplias de casos de pilomatricomas de la literatura
| Autor | Número de casos | Años recogida |
| Mohlenbeck17 | 1.569 | NR |
| Pirouzmanesh et al.2 | 346 | 11 |
| Julian et al.19 | 209 | 20 |
| Guinot-Moya et al.18 | 205 | 33 |
| O¿Connor et al.30 | 201 | 9 |
| Lan et al.31 | 179 | 11 |
| Gay Scoda et al.32 | 179 | 17 |
| Serie actual | 261 | 9 |
NR: no referido.
Como ya se ha comentado previamente, a pesar de ser un tumor muy frecuente, el diagnóstico preoperatorio oscila entre el 6 y el 29% según las series2,19. Esta diferencia podría estar relacionada con el hecho de que la mayoría de las series están publicadas en revistas no dermatológicas. La sospecha diagnóstica preoperatoria en nuestra serie, un 54,4%, se puede considerar elevada en comparación con lo publicado, lo que probablemente se debe a que la mayoría de los pacientes fueron valorados de forma inicial en nuestro servicio.
La aportación al diagnóstico preoperatorio de la ecografía de partes blandas cada vez es más notable. La serie de Solivetti et al. recoge un total de 124 pilomatricomas, de los que un 25,8% tienen hecha ecografía previa. El tumor se ve como un nódulo hiperecoico o isoecoico con refuerzo periférico y sombra posterior, diferenciando hasta 5 patrones ecográficos característicos del pilomatricoma11, por lo que reconocen la ecografía como una prueba importante para el diagnóstico preoperatorio. En nuestra serie se realizó ecografía de partes blandas al 21,84% de las lesiones, y se encontraron imágenes compatibles con pilomatricoma en 48 de las mismas —un 84,21% del total de lesiones estudiadas— mientras que resultó inespecífica o no compatible en 9 casos; esto puede estar en relación con la experiencia del médico y la heterogeneidad de criterios, al no estar todas las ecografías realizadas e informadas por el mismo radiólogo.
Histológicamente la mayoría de las lesiones eran tumores subepidérmicos bien delimitados compuestos por una mezcla de células basaloides y células sombra, y por células fibroblásticas sin atipias, con un componente variable de calcificación. Aunque no es frecuente, se han descrito casos de quistes híbridos que contienen uno o más elementos de la unidad pilosebácea20; en estos casos existe un componente mixto variable en el que se aprecia la transición entre las 2 zonas, concepto diferente al de coexistencia o colisión de tumores. La osificación, la variante anetodérmica y la existencia de quistes híbridos son infrecuentes5,10,20, hallazgos de la literatura que coinciden con lo recogido en nuestra serie.
La incidencia más alta de casos múltiples en las series recogidas en la tabla 4 corresponde a Moehlenbeck, que da una cifra del 3,5%17, y es menor en el resto de estudios. En nuestra serie se registraron un 8,39% de casos múltiples, uno de ellos con 4 lesiones y con un familiar de primer grado también con un pilomatricoma confirmado. Los casos múltiples de pilomatricoma de han descrito en la distrofia miotónica o enfermedad de Steinert, el síndrome de Gardner, el síndrome de Turner, el síndrome de Sotos21, el síndrome de Rubinstein-Taybi, el carcinoma medular de tiroides y la sarcoidosis22, y más recientemente casos aislados de algunas trisomías, glioblastoma cerebral23, enfermedad celiaca24, déficit de 21-hidroxilasa25 y síndrome de Kabuki26. Desde el punto de vista etiopatogénico diversos estudios han demostrado que existen mutaciones en la vía de la beta-catenina, una proteína de señalización implicada en el desarrollo del folículo piloso, y que dichas alteraciones favorecen el desarrollo de este tumor y de otros tumores anexiales. Estas mutaciones pueden afectar de forma conjunta a otros genes relacionados con el cáncer, y así explicar la mayor incidencia de tumores malignos en los pacientes con pilomatricomas múltiples27–29.
Dos de nuestros pacientes tenían síndrome de Steinert o distrofia miotónica; la asociación con síndromes de sobrecrecimiento no sindrómicos y con carcinoma de endometrio que presentaban otros 2 de nuestros pacientes con lesiones múltiples no ha sido descrita previamente en la literatura.
La asociación del pilomatricoma solitario con otras enfermedades no ha sido estudiada previamente. En nuestra serie de pacientes hemos encontrado principalmente otras enfermedades cutáneas, tumores malignos y enfermedad cardiovascular. La elevada incidencia de estos tumores y de las enfermedades referidas hace difícil establecer una relación entre ambos más allá de la pura coincidencia.
El tratamiento del pilomatricoma es quirúrgico, pero no existe consenso en cuanto a la edad de realización (en el caso de la población pediátrica), la técnica y los márgenes quirúrgicos adecuados. Nuestros pacientes fueron sometidos a cirugía mediante escisión quirúrgica simple sin márgenes. La elección de la técnica anestésica se realizó en función de criterios clínicos del paciente, como antecedentes de enfermedades previas, medicación concomitante y edad, y de características del tumor como la localización y el tamaño. Hay que destacar el caso de una paciente pediátrica con una lesión con aumento de tamaño progresivo y con ecografía no concluyente, que falleció por complicaciones anestésicas en el postoperatorio inmediato. Las complicaciones posquirúrgicas tampoco habían sido recogidas antes en la literatura.
Las limitaciones principales del trabajo se derivan de su diseño retrospectivo, lo cual conlleva una falta de homogeneidad en la recogida de datos clínicos, ya que en muchos pacientes no se refleja por ejemplo el antecedente traumático, cosa que puede ocurrir por omisión o por no preguntarlo en la anamnesis, al ser muchos los facultativos implicados. Por otro lado la incidencia de pilomatricomas está subestimada, ya que hay pacientes en seguimiento por este diagnóstico clínico que no han sido intervenidos y que por el diseño del estudio no han sido incluidos en el mismo.
En conclusión, el nuestro es el estudio retrospectivo que recoge el mayor número de pacientes en nuestro país y uno de los que comunican una mayor incidencia, teniendo en cuenta el número de años estudiados y la población atendida que corresponde a un área de influencia de 250.000 habitantes. También queremos destacar el elevado porcentaje de pacientes con pilomatricomas múltiples y con realización de ecografía preoperatoria. Hasta donde nosotros sabemos este es el primer estudio en el que se recogen los datos correspondientes a las enfermedades asociadas, el tratamiento quirúrgico y la técnica anestésica utilizada y las complicaciones posteriores.
Conflicto de interesesLos autores declaran que no tienen ningún conflicto de intereses.










