INTRODUCCION
El espiradenoma ecrino es un tumor epitelial derivado de las glándulas sudoríparas, al parecer originado en la zona de transición entre la porción secretora y el ducto de la glándula ecrina1. No obstante, sigue existiendo gran controversia en la literatura acerca del verdadero origen del tumor y estudios recientes apoyan una diferenciación apocrina en el espiradenoma2. Usualmente se presenta en las segunda, tercera o cuarta décadas de la vida como una lesión nodular subcutánea, localizada preferentemente en la cara o parte superior del tronco, y su manifestación clínica más llamativa es la presencia de dolor a la palpación3.
En ocasiones los espiradenomas ecrinos aparecen con formas múltiples o multifocales. Presentamos un caso de espiradenoma ecrino múltiple con distribución segmentaria.
Descripción del caso
Una mujer de 45 años, sin antecedentes personales de interés, consultó en 1996 por la aparición paulatina de unos nódulos dolorosos en la cara interna de su brazo derecho desde hacía unos 6 años. La paciente refería que estos nódulos habían crecido muy lentamente y de forma progresiva se mostraban más dolorosos, tanto a la palpación profunda como de manera espontánea. En la exploración se palpaban cuatro lesiones nodulares subcutáneas, de forma hemisférica y consistencia sólida, de 4-6 mm de diámetro. Éstas se disponían agrupadas de forma «arracimada» en la región ventral de la extremidad superior derecha (fig. 1). La manipulación de las lesiones provocaba un intenso dolor punzante a la paciente, sobre todo a la palpación profunda. El resto de la exploración fue anodina y el estudio analítico realizado fue compatible con la normalidad.
Fig. 1.--Espiradenomas ecrinos múltiples con patrón de distribución zosteriforme en brazo derecho.
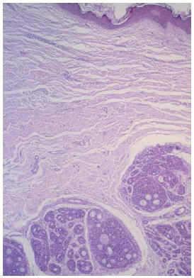
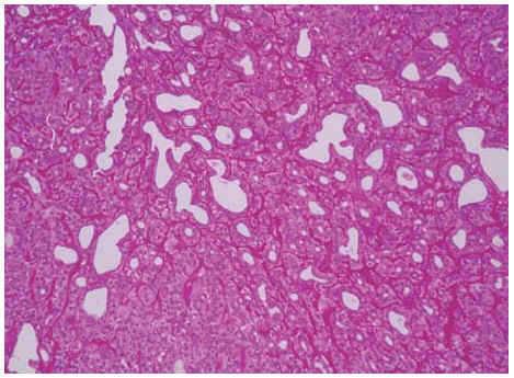
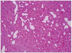
Se practicó una biopsia-extirpación de una de las lesiones, observándose en el estudio histopatológico con hematoxilina-eosina, varios islotes grandes hiperbasófilos y bien delimitados (no encapsulados) en la dermis reticular, sin conexión aparente con la epidermis. Éstos estaban formados por densas e irregulares trabéculas sólidas o tubuliformes en las que se distinguían dos tipos de células: unas periféricas con núcleo pequeño e hipercromático y otras centrales o periductales con núcleos grandes y pálidos (fig. 2), que contenían sustancia positiva al ácido peryódico de Schiff (PAS) resistente a la diastasa (fig. 3). Se realizó estudio inmunohistoquímico con antígenos CEA y EMA, proteína S-100, encontrando positividad para CEA y EMA.
Fig. 2.--Lóbulos epiteliales no encapsulados hiperbasófilos en dermis reticular sin conexión aparente con la epidermis. (Hematoxilina-eosina, ×10.)
Fig. 3.--Lóbulos constituidos por densas e irregulares trabéculas sólidas y tubuliformes donde se distinguen dos tipos de células, unas periféricas con núcleo pequeño e hipercromático y otras centrales o periductales con gran núcleo pálido que contienen sustancia positiva para PAS resistente a la diastasa. (Tinción PAS, ×20.)
Con el diagnóstico histopatológico de espiradenomas ecrinos se procedió a la extirpación quirúrgica de la totalidad de la zona pensando en la posibilidad de que hubiese alguna lesión a cierta distancia que por su pequeño tamaño fuese indetectable a la palpación. En el estudio microscópico de la pieza quirúrgica se repitieron las imágenes histopatológicas, y se comprobaron además varias acumulaciones celulares, a distancia unas de otras, lo que permitía afirmar que se trataba de lesiones independientes.
La paciente fue seguida de forma periódica durante un periodo aproximado de 8 años, en el que aparecieron cuatro nuevos espiradenomas ecrinos menores de 5 mm de diámetro en torno a la cicatriz, que fueron reintervenidos en dos ocasiones a causa del dolor incoercible originado por los tumores.
En la actualidad, la paciente se encuentra libre de lesiones y asintomática, pero continúa en seguimiento pues no se descarta la aparición de nuevos espiradenomas.
DISCUSION
El espiradenoma ecrino es un tumor anexial infrecuente que generalmente se presenta como una lesión nodular solitaria dolorosa de pequeño tamaño, en la cara anterior de la mitad superior del cuerpo. Sin embargo, se han descrito casos múltiples, que suponen menos del 2 % de todos los casos de espiradenoma ecrino que afectan cabeza, tronco y/o extremidades3. Excepcionalmente, los espiradenomas ecrinos múltiples se disponen agrupados siguiendo uno o más segmentos4-21.
En cuanto a sus características epidemiológicas, los espiradenomas ecrinos múltiples con distribución segmentaria o blaschkoide son más frecuentes en las mujeres, con una ratio V:M de 1:317, al contrario de lo observado en los espiradenomas ecrinos solitarios en los que existe predominio por los varones (tabla 1). La edad de presentación oscila entre los 9 y 48 años aunque la edad de inicio en muchos de ellos es inferior. No obstante, en ninguno de los casos mencionados fueron congénitos. Clínicamente, se caracteriza por la aparición de múltiples nódulos dolorosos de pequeño tamaño (de 2 a 200) agrupados y dispuestos a lo largo de uno o más segmentos cutáneos que siguen las líneas de Blaschko17. Los espiradenomas ecrinos solitarios suelen localizarse en la mitad superior del cuerpo, pero en los casos múltiples no diseminados no existe tanta preferencia por dicha zona, ya que se han observado bastantes casos con afectación de las extremidades inferiores6-19.
De los casos de espiradenomas múltiples revisados, en 2 pacientes aparecían también asociados a tricoepiteliomas10 o a lesiones con diferenciación pilar14 y en otro se presentó asociado a hidroadenoma ecrino8. Estudios recientes basados en análisis inmunohistoquímicos apuntan que el espiradenoma ecrino procedería de células pluripotenciales localizadas en la epidermis o en estructuras anexiales como glándulas sudoríparas ecrinas, apocrinas o apoecrinas22,23. Esto explicaría la coexistencia con otras neoplasias similares morfológicamente como los tricoepiteliomas o cilindromas y la aparición de lesiones transicionales en las que se combinan hallazgos histológicos de estos tumores, ya que posiblemente todos ellos deriven de las mismas células madre. En función de los casos observados de espiradenomas ecrinos múltiples familiares se ha sugerido incluso un patrón de herencia autosómico dominante para estos tumores, pero esta teoría todavía no se ha demostrado4,24.
En cuanto al tratamiento, la excisión quirúrgica completa de los tumores está indicada cuando éstos resultan cosméticamente poco aceptables o bien sean dolorosos21. En este punto cabe mencionar que la evolución clínica de los espiradenomas ecrinos múltiples con distribución segmentaria es el agrandamiento progresivo de los tumores, un incremento paulatino del dolor, así como la aparición de nuevos «crecimientos» locales25. Se han propuesto otros procedimientos alternativos como la radioterapia (1.500 rad en 10 aplicaciones)26 o el láser de CO212,16, en lesiones extensas o diseminadas, donde la cirugía sería impracticable. Por el momento, no se ha descrito la utilidad de ningún fármaco, tópico o sistémico, que alivie el dolor causado por el tumor. Se ha sugerido el uso de agentes anticolinérgicos tópicos (hidrobromuro de hioscina 9 %), bloqueantes a orales (fenoxibenzamina, 10 mg 2 veces/día) y antagonistas del calcio (nifedipino) que al parecer resultan de gran eficacia en el caso de los leiomiomas cutáneos extensos27, cuyo dolor es debido a la contracción de fibras de músculo liso o a la compresión de terminaciones nerviosas. Sin embargo, en el caso de los espiradenomas ecrinos el mecanismo por el que se produce el dolor es todavía desconocido.
La transformación maligna del espiradenoma ecrino solitario es muy rara, y sucede con mayor frecuencia en lesiones de larga evolución28,29; clínicamente se manifiesta por un agrandamiento brusco del tumor e incluso ulceración; en el caso múltiple parece ocurrir de forma ligeramente más frecuente que en tumores solitarios20, y se han documentado 4 casos de malignización en espiradenomas ecrinos «nevoides»20,29-31. No obstante, teniendo en cuenta su bajísima frecuencia, y más específicamente en el caso de espiradenomas ecrinos múltiples, no está clara todavía la actitud terapéutica más recomendable. Por el momento, la cirugía parcial (extirpación sólo del área malignizada) se considera el método de elección20.






