El espiradenocarcinoma es un tumor maligno, muy poco frecuente, que proviene de las glándulas sudoríparas, y que se presenta sobre un espiradenoma preexistente1.
Presentamos una mujer de 72 años, con antecedentes de hipertensión arterial, que acudió a consulta por presentar una lesión tumoral, de 40 años de evolución, con aumento progresivo del tamaño, que se aceleró en los últimos 6 años. Es una tumoración que se localiza a nivel de tercio medio de la clavícula izquierda, que mide 13×10×7cm, firme, de superficie lisa y brillante, con telangiectasias, de bordes bien definidos, no adherido a planos profundos, y no doloroso a la palpación, (fig. 1). No se encontraron adenomegalias palpables. La paciente negó pérdida de peso.
Se consideró un tumor derivado de tejidos blandos, por lo que se realizó un estudio ecográfico que demostró una lesión quística, localizada a nivel de tejido celular subcutáneo en la región supraclavicular, que no comprometía planos musculares. Se realizó la extirpación quirúrgica que incluyó el tejido celular subcutáneo. El centro del tumor era pastoso o semilíquido, y presentaba nódulos firmes en los polos superior e inferior.
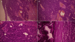
En el estudio histológico se observaron nódulos de células epiteliales que, en algunas áreas, mostraron una población de células ubicadas en la periferia, de aspecto basaloide, así como células con citoplasma claro y escaso, que delimitaban luces glandulares tubulares; en otras zonas, las células mostraron menos diferenciación, con predominio claro de células basaloides, hipercromáticas y con escaso citoplasma, sin formación de estructuras ductales y con mitosis (una por campo de gran aumento); además, se observó calcificación. El estroma exhibía edema y canales vasculares dilatados y congestivos. (fig. 2). Con todo ello se llegó al diagnóstico de espiradenoma maligno. A los 18 meses de la intervención quirúrgica no existían datos clínicos ni de imagen de recurrencia.
A) (H&E ×4) y B) (H&E ×10): nódulos de células epiteliales, que el algunas áreas, muestran una población de células ubicadas en la periferia, de aspecto basaloide. C) (H&E ×40) y D) (H&E ×40): células con citoplasma claro y escaso, que delimitan luces glandulares tubulares; en otras zonas, las células muestran menos diferenciación, con predominio claro de células basaloides, hipercromáticas y con escaso citoplasma, sin formación de estructuras ductales y con mitosis; se muestra calcificación. El estroma exhibe edema y canales vasculares dilatados y congestivos.
El espiradenoma maligno es un tumor infrecuente. La proporción de tumores malignos de glándulas sudoríparas es aproximadamente el 0,005% de todos los tumores de la piel. La edad de presentación varía desde los 21 a los 92 años. En dos terceras partes de los pacientes, el diagnóstico se hace después de los 50 años2, y solo hay descrito un caso pediátrico3. La mayoría de los pacientes notan un crecimiento rápido del tumor, cambio de coloración o ulceración, que les lleva a buscar atención médica2,4.
El diagnóstico es por sospecha clínica, confirmado con el estudio histopatológico, y se basa en el reconocimiento de las áreas de espiradenoma asociado con cambios malignos5. En ocasiones el diagnóstico resulta difícil, por lo que se necesita un estudio histopatológico del tumor completo para observar la arquitectura del tumor6. La zona benigna supone entre el 5-40% del tumor7. Algunos marcadores pueden ser de utilidad para diferenciar la parte maligna, por ejemplo, el índice proliferativo Ki-67 está aumentado mientras que la expresión de MYB se encuentra ausente en el componente maligno7. Se han descrito 4 patrones histológicos del espiradenocarcinoma: 1) Patrón parecido a adenocarcinoma de células basales de glándulas salivales, de bajo grado; 2) Patrón parecido a adenocarcinoma de células basales de glándulas salivales, de alto grado; 3) Adenocarcinoma invasivo, no específico; y 4) Carcinoma sarcomatoide (metaplásico)8. Nuestra paciente presentaba un tumor de bajo grado, parecido a adenocarcinoma de células basales de glándula salival.
Encontrar metástasis en ganglios o a distancia reduce la supervivencia9, siendo un 17,5% los que desarrollan metástasis a distancia o mueren4.
Actualmente no hay consenso para su manejo. El tratamiento de elección continúa siendo la extirpación con márgenes amplios de un centímetro2,9, existiendo un 19% de probabilidad de recurrencia local después del mismo7. La linfadenectomía es un procedimiento que puede ayudar a mejorar el pronóstico. En una serie de 10 pacientes con metástasis en ganglios, se realizó linfadenectomía, y de estos, 6 estuvieron libres de tumor10. El pronóstico de la enfermedad metastásica no cambia entre cirugía o cirugía más terapia adyuvante9.
El espiradenoma maligno continúa siendo una entidad poco conocida, de diagnóstico difícil, que se realiza por el estudio histológico, y se basa en el reconocimiento de las áreas de espiradenoma asociado con cambios malignos. En la actualidad conocemos que el pronóstico empeora si existen metástasis en el momento del diagnóstico, el patrón histopatológico es de alto grado, o está asociado al síndrome de Brooke-Spiegler, y la cirugía continúa siendo el tratamiento de elección.




