Se realiza un examen médico a una mujer de 56 años de edad, por un cuadro de placas anulares eritematosas no pruriginosas, localizadas simétricamente en las rodillas, de 3 meses de evolución, con extensión periférica y aclaramiento central (fig. 1). No hay nada reseñable en la historia médica de la paciente hasta que hace una semana comienza con dolor abdominal, náuseas, hepatomegalia, ascitis, disminución de la diuresis y astenia. Los antecedentes familiares eran irrelevantes y la paciente se negó a tomar cualquier tipo de medicación.
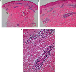
El análisis histopatológico de las lesiones cutáneas confirma la presencia de un infiltrado linfocítico perivascular tanto en la dermis superficial como en la dermis profunda, sugestivo de eritema anular centrífugo (EAC) atendiendo a la correlación existente entre los hallazgos clínicos e histológicos (fig. 2) de la tinción hematoxilina-eosina. Ni la coloración de Pearl ni la coloración con ácido periódico de Schiff revelaron hallazgo significativo alguno.
A: ×40; B: ×100; C: ×200. El análisis histopatológico realizado (tinción hematoxilina-eosina) reveló una epidermis sin cambios significativos y un infiltrado histiolinfocítico perivascular tanto en la dermis superficial como en la dermis profunda. No se observó evidencia alguna de vasculitis.
Las pruebas de laboratorio detectaron trombocitosis; las serologías de VHC, VHB, VIH, CMV y VEB, así como los autoanticuerpos (ANA, anti-sDNA y antifosfolípido) fueron negativos. El factor reumatoide, la alfa-fetoproteina fueron normales y los niveles de proteína C, S, antitrombina II y homocisteina fueron normales. El estudio de la mutación G20210A del gen de la protrombina fue negativo.
Los estudios realizados mediante ultrasonografía Doppler y tomografía computarizada revelaron trombosis de las venas suprahepáticas e hipertensión portal con el diagnóstico de síndrome de Budd-Chiari (SBC). Nuevas pruebas realizadas llevaron al diagnóstico de trombocitemia esencial (TE) negativa para JAK2, que se confirmó mediante un análisis de la médula ósea.
A pesar de la anticoagulación y del tratamiento diurético óptimo, hubo un empeoramiento de la función renal y el cuadro de ascitis se mantuvo, por lo que se sugirió un trasplante hepático. Pocas semanas después del trasplante, la resolución espontánea de las lesiones cutáneas fue evidente, sin recidivas durante un período de seguimiento de 2 años de duración. Como tratamiento de su enfermedad hematológica la paciente ha recibido tratamiento con hidroxiurea, aunque con resultados no satisfactorios.
DiscusiónEl eritema anular centrífugo (EAC) es una rara enfermedad inflamatoria de la piel que comienza con pápulas o placas eritematosas que se expanden centrífugamente con aclaramiento central y de forma anular1,2. Existen 2 tipos: superficial y profundo, si bien esta clasificación no está del todo aceptada y, según algunos autores, la designación de EAC debería de reservarse solo para el subtipo superficial3.
El EAC se considera una reacción de hipersensibilidad más que una entidad clínico-patológica específica4. Cuando se identifica un factor desencadenante, el tratamiento de la enfermedad subyacente suele dar como resultado la resolución espontánea de las lesiones cutáneas5. El EAC está asociado a muchas entidades distintas como, por ejemplo, infecciones, neoplasias malignas6, diferentes enfermedades autoinmunes2,3,7 y fármacos8, si bien la relación que tiene con el SBC o con la insuficiencia hepática no se había descrito con anterioridad.
El SBC es una rara enfermedad vascular hepática consecuencia de la obstrucción del flujo de salida venoso hepático, que puede dar lugar a un cuadro de insuficiencia hepática9. El factor de riesgo protrombótico subyacente más frecuente es un trastorno mieloproliferativo como la TE, aunque ahora es algo aceptado que casi la mitad de los pacientes presentan múltiples factores de riesgo protrombótico10. Algunos mediadores químicos liberados por las plaquetas activadas podrían explicar algunos de los hallazgos cutáneos asociados a la trombocitosis tales como la eritromelalgia, la dermatosis neutrofílica febril aguda y las enfermedades trombóticas arteriales11, pero no el EAC.
En nuestro caso, la lesión de la piel se resolvió sin recurrencia tras el trasplante hepático. Por otro lado, no se observó una mejoría hematológica a pesar de la terapia preconizada, lo cual invita a pensar que es más probable una relación entre el EAC y el SBS/enfermedad hepática que entre el EAC y la TE.
En conclusión, hemos descrito el primer caso de EAC probablemente asociado al SBC en una paciente con TE. Nuestro informe viene a confirmar el nuevo nexo encontrado entre el EAC y una enfermedad sistémica, lo cual pone de manifiesto lo importante que es no solo llevar a cabo un evaluación clínica y complementaria de un paciente con EAC, sino realizar nuevos estudios que arrojen más luz sobre la fisiopatología de esta identidad clínica.
Conflicto de interesesLos autores declaran no tener ningún conflicto de intereses.




