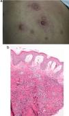
Niña de 8 años consultó por la aparición de artralgias, molestias en mucosas oral, ocular y genital, asociado a erupción cutánea pruriginosa en tronco y miembros de 2 días de evolución. Como antecedente de interés, el mes anterior presentó una gastroenteritis con coprocultivo negativo que cedió espontáneamente, y había presentado aftas orales recidivantes en los últimos 4 meses. La paciente fue valorada por reumatología con diagnóstico de oligoartritis asimétrica afectando a tobillo, rodilla y codo derechos. El examen oftalmológico mostraba iridociclitis. La exploración dermatológica presentaba eritema vulvar sin aftas, aftas orales y placas eritematoedematosas con ampollas en la periferia dando una morfología en collar de perlas localizadas en la cara interna de ambos muslos (fig. 1a).
Los parámetros de bioquímica básica, hemograma, urianálisis, espectro electroforético, niveles de inmunoglobulinas y complemento fueron normales. El estudio de autoinmunidad fue negativo incluyendo anticuerpos antinucleares, anti-Ro, anti-La y anticuerpos antitransglutaminasa IgA. La biopsia revelaba la presencia de edema subepidérmico y un infiltrado dérmico neutrofílico denso con leucocitoclasia y sin datos de vasculitis (fig. 1b). La inmunofluorescencia directa resultó negativa. El haplotipo HLA-B27 fue positivo.
Se inició tratamiento con prednisona 0,5mg/kg/día y colchicina 0,5mg/día con mejoría clínica y desaparición de las lesiones. Con el antecedente de aftas orales recidivantes y los hallazgos clínico-patológicos e inmunológicos, llegamos al diagnóstico de enfermedad de Behçet. El diagnóstico diferencial principal de estas lesiones debería incluir dermatosis ampollosa IgA lineal, enfermedad ampollosa crónica de la infancia, dermatitis herpetiforme y artritis reactiva de Reiter.



