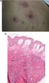
An 8-year-old girl visited our department with painful joints, discomfort in the buccal, eye and genital mucosa, associated with a pruriginous skin rash on the torso and limbs, which had appeared 2 days earlier. A month earlier, she had presented gastroenteritis with a negative stool test, which remitted spontaneously; she had also presented recurring mouth ulcers in the previous 4 months. The patient was assessed by the rheumatology department and was diagnosed with asymmetrical oligoarthritis of the right knee, ankle and elbow. The ophthalmological examination revealed iridocyclitis. The dermatologic examination found vulvar erythema with no ulcers, mouth ulcers, and erythematous and edematous plaques with bullae on the periphery in the form of a string of pearls on the inner surface of both thighs (Fig. 1A).
Basic biochemistry, complete blood count, urine analysis, electrophoresis, and immunoglobulin and complement levels were normal. The autoimmune study, which included antinuclear antibodies, anti-Ro, anti-La, and IgA antitransglutaminase antibodies, was negative. The biopsy revealed subepidermal edema and dense neutrophilic infiltration of the dermis with leukocytoclasia without vasculitis (Fig. 1B). Direct immunofluorescence was negative. HLA-B27 haplotype was negative.
Treatment was instated with prednisone 0.5mg/kg/d and colchicine 0.5mg/d, clinical symptoms improved and the lesions disappeared. The history of recurring mouth ulcers and the clinical and immunologic findings suggested a diagnosis of Behçet disease. The main differential diagnosis in these lesions should include linear IgA bullous dermatosis, chronic bullous disease of childhood, dermatitis herpetiformis, and reactive arthritis.
Please cite this article as: Imbernón-Moya A, Collado-Ramos P, Díaz-Delgado R. Enfermedad de Behçet. Actas Dermosifiliogr. 2018;109:921.



