La elastografía es una técnica ecográfica de reciente desarrollo en varias especialidades médicas que aporta información sobre las propiedades físicas de los tejidos en procesos fisiológicos y patológicos. En esta revisión se explican los principios físicos de la técnica, la información que aportan las distintas modalidades de elastografía y las nuevas aplicaciones en dermatología clínica.
Elastography is a recently developed ultrasound technique applicable to various medical specialties. It provides information on the physical properties of tissues in the context of physiologic and pathologic alterations. In this review we explain the physical principles of the method, the information provided by the different elastography techniques, and its new applications in clinical dermatology.
Desde la antigüedad, la palpación, dentro de la exploración física general del paciente, ha tenido relevancia al ofrecer información sobre las características físicas de los tejidos1. Clásicamente, la pérdida de elasticidad o el aumento de la rigidez de los órganos y tejidos se ha asociado a un peor pronóstico, tanto en procesos inflamatorios, en los que histológicamente se suele asociar a fibrosis, como en procesos tumorales, en los que las propiedades elásticas de los tejidos sanos disminuyen2,3.
En ese sentido, la estimación de la elasticidad o la rigidez de los tejidos podría facilitar el seguimiento y tratamiento de manera precoz y no invasiva de procesos inflamatorios y tumorales4. La elastografía es una técnica basada en la detección de los cambios de elasticidad en los tejidos mediante el ultrasonido5. Desde finales del sigloXX se ha utilizado en distintas enfermedades, como en los tumores de mama, tiroides e hígado, así como en procesos inflamatorios de estos mismos órganos6.
La reciente aparición de las sondas lineales de alta frecuencia en ecografía ha hecho posible que esta tecnología pueda ser aplicada en tejidos superficiales como el sistema osteomuscular6, el sistema vascular superficial6, la piel y los anejos7.
En esta revisión se detallan los conceptos físicos básicos de la elastografía y su posible utilidad en el estudio de la piel y los anejos.
Hay que tener en cuenta que la mayoría de los estudios en elastografía cutánea son de pequeñas series de casos, la mayoría de ellas observacionales, con una limitada robustez científica. Sin embargo, esto no es óbice para que la revisión sea de utilidad para introducir esta técnica a los dermatólogos y realizar futuros estudios en los que se demuestre la utilidad práctica en dermatología.
Elastografía. Conceptos físicos de strain y shear waveCuando un tejido es sometido a una presión, este se deforma y tiene una tendencia a recuperar su forma inicial (elasticidad). La oposición que ofrece el tejido a ser deformado es lo que denominamos rigidez o dureza8.
Denominamos strain o tensión, al cambio de longitud relativa de una estructura sometida a presión respecto al tejido circundante9 (fig. 1).
Al comprimir un tejido con una fuerza F, sus partículas (A) sufren un desplazamiento (A¿). El cociente entre el desplazamiento de la estructura en estudio (d) y la longitud total inicial D es lo que se denomina strain. Perpendicularmente a esta onda de presión, se produce un desplazamiento de las partículas que genera unas ondas denominadas shear wave u ondas de cizallamiento.
Paralelamente a este fenómeno físico, se generan en el tejido una serie de ondas perpendiculares al desplazamiento de la onda de presión, denominadas ondas de cizallamiento o shear wave10 (SW) cuya velocidad puede ser determinada, ofreciendo información indirecta y cuantitativa sobre la dureza del tejido (fig. 1).
Tipos de elastografía y sus limitacionesSegún las guías clínicas de elastografía de la European Federation of Societies of Ultrasound in Medicine and Biology (EFSUMB)11, los equipos de elastografía se pueden dividir fundamentalmente en los basados en la determinación de la deformación del tejido o elastografía de strain (SE) o los basados en la caracterización de las ondas de cizallamiento (SW) (tabla 1). Por otro lado, podemos clasificar los tipos de elastografía en función de la fuerza física que produce la deformación tisular. En este sentido, la fuerza puede ser mecánica (manual o automática) o un pulso de ultrasonido que se denomina acoustic radiation force impulse (ARFI). Cada uno de estos métodos de elastografía ofrece información cualitativa o cuantitativa sobre la rigidez o dureza de los tejidos (términos que usaremos indistintamente en esta revisión).
Las escalas de medida semicuantitativas suelen asociar un número al porcentaje de rigidez de la estructura, siendo frecuentes las que van de 1 a 5 (1 más blando, 5 más rígido)11.
Otra manera de cuantificar la dureza de una estructura es expresarla relativa de una estructura respecto al parénquima que lo rodea. Este cociente es el denominado ratio de elasticidad o strain ratio (SR)12.
En el caso de la elastografía SW, al estar basada en la determinación de las velocidades de desplazamiento de las ondas de cizallamiento, las mediciones son cuantitativas y se expresan en kPa o en m/s indistintamente13.
Respecto a las limitaciones de la técnica, la gran variabilidad en las modalidades de elastografía ha hecho que las publicaciones sean aisladas y no existan medidas universales para todos los equipos11.
La elastografía SE, sobre todo la variante manual, presenta una variabilidad interobservador e intraobservador mayor que la elastografía SW11.
La elastografía, al igual que la ecografía convencional, al estar basada en ultrasonido, genera artefactos. Zonas en las que existen sombra acústica o estructuras quísticas pueden ofrecer una información no real sobre las características del tejido14. Sin embargo, como en el caso de la ecografía convencional, estos artefactos también aportan información sobre la estructura en estudio14.
Elastografía en dermatología: técnica y peculiaridadesSegún las guías clínicas de EFSUMB en elastografía11, para realizar elastografía en cualquier órgano se deben tener en cuenta las siguientes recomendaciones:
- 1.
Que la estructura en estudio esté cerca del transductor <4cm.
- 2.
Que sea una estructura casi homogénea.
- 3.
Que en la estructura no haya deslizamiento sobre un plano profundo cuando se aplique la presión.
- 4.
Que la presión sea ejercida por una superficie mayor que la estructura a ser estudiada.
- 5.
Que no haya estructuras que atenúen la compresión, como por ejemplo grandes vasos.
- 6.
Que las estructuras estén completamente incluidas en la región de estudio.
- 7.
Que la dirección de la fuerza de compresión sea conocida.
- 8.
Que haya un número limitado de estructuras en estudio.
En el caso de la piel también se debe evitar incluir el gel en la región de interés11. Como podemos inferir, la piel es un órgano que se adapta a las condiciones en las que se puede realizar elastografía con la técnica y la tecnología apropiadas, es decir, mediante sondas lineales de alta frecuencia aplicadas a la piel y los anejos15.
Elastografía de la piel normal y los anejosLa dureza de la piel sana varía en función del estrato cutáneo estudiado. La dermis es una estructura de rigidez superior al tejido celular subcutáneo16 (figs. 2a,b). En el tejido celular subcutáneo, los septos presentan mayor rigidez que los lobulillos grasos. Los vasos sanguíneos son estructuras poco rígidas, al igual que los nervios periféricos, en comparación con el tejido celular subcutáneo circundante16.
a) Elastografía de strain de la piel normal. Obsérvese el ratio de rigidez de dermis y la grasa SR=1,86 que indica que la dermis es más dura que el tejido celular subcutáneo.
E: epidermis; D: dermis; TCS: tejidocelular subcutáneo.
b) Elastografía SW de la dermis del cuero cabelludo. Obsérvese en la esquina inferior derecha los parámetros de velocidad y presión de la región de interés analizado (rectángulo verde-amarillento).
En la uña sana, la tabla ungueal es rígida en comparación con el lecho ungueal 17 (fig. 3).
Elastografía de los tumores cutáneosLa aplicación más investigada en elastografía de los tumores cutáneos es la diferenciación de los tumores benignos de los tumores malignos18.
Los tumores, en general, presentan una alteración en sus propiedades mecánicas que les diferencian de los tejidos sanos adyacentes19,20.
Tumores cutáneos benignos y masas cervicalesAunque los tumores benignos subcutáneos presentan un aspecto reconocible en modo B21, en casos dudosos, la elastografía podría ser de utilidad en el diagnóstico diferencial de los mismos.
En el estudio de Bhatia et al.22 se evaluaron 52 masas cervicales no adenopáticas mediante elastografía cualitativa en tiempo real. El diagnóstico de las lesiones fue corroborado luego mediante citología e histología. Las lesiones fueron evaluadas de manera semicuantitativa y se estableció un escala de 0 a 3 (0 completamente blando - 3 completamente duro). Los lipomas presentaron menor rigidez que el resto de lesiones, la mayoría de ellas quistes, malformaciones y tumores neurogénicos (fig. 4). En una extensión del estudio realizado mediante elastografía SW23, en el que incluyeron tumores malignos y benignos cervicales, los tumores benignos presentaron una rigidez media de 226,4kPa, que fue estadísticamente superior a la rigidez media de las lesiones benignas (28,3kPa). El punto de corte de 174,4kPa tenía una sensibilidad del 83,3% y una especificidad del 97,5% para diferenciar ambos tipos de lesiones. Los autores aclaran que todos los tumores fueron correctamente diagnosticados mediante ecografía convencional, y que la elastografía no habría alterado el tratamiento de las lesiones, aunque en el caso de exploradores con menos experiencia, podría ser de ayuda en el diagnóstico de lesiones cervicales.
En el estudio de Park et al.24, la elastografía permitió diferenciar los quistes epidermoides inflamados frente a los intactos (fig. 4b), ya que estos últimos presentaban una mayor dureza.
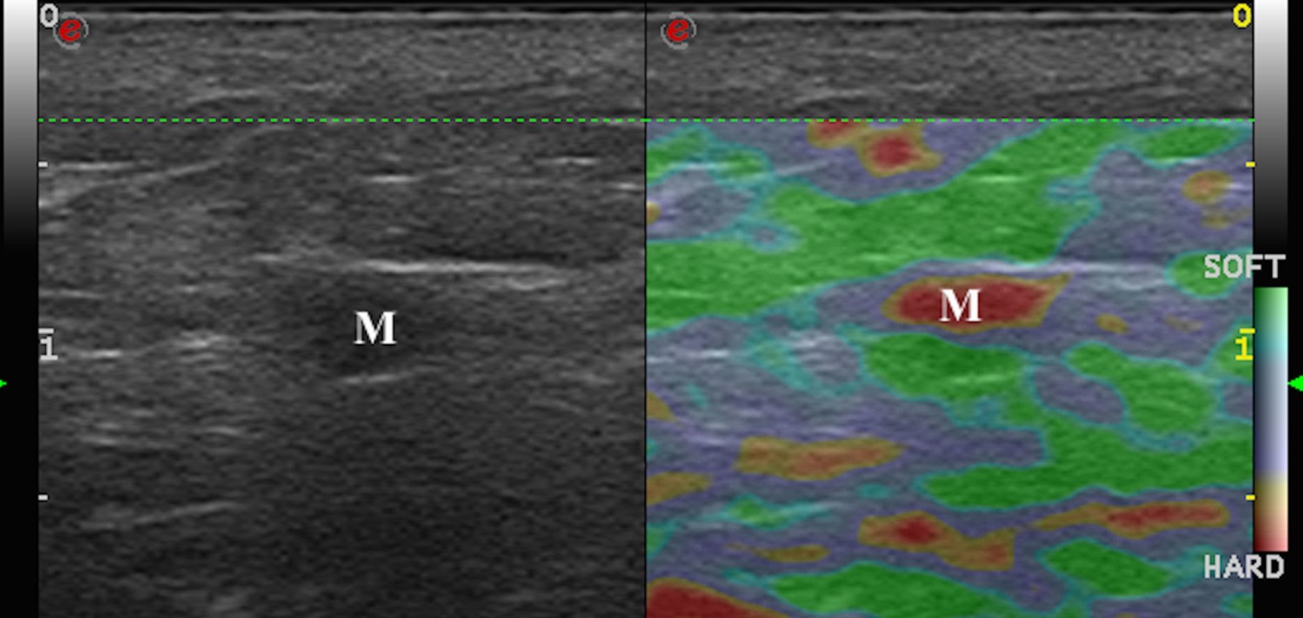
Tumores cutáneos malignosLa elastografía en los tumores malignos cutáneos muestra que tienen una rigidez superior al tejido circundante18 (fig. 5).
Dasgeb et al.25 estudiaron 55 pacientes con 67 tumores epiteliales, de los cuales 29 eran malignos (17 carcinomas basocelulares y 12 carcinomas espinocelulares) y 19 benignos. En este estudio, los SR de los tumores cutáneos epiteliales fueron superiores a 3,9, y en el caso de los tumores cutáneos benignos, todos presentaban un SR inferior a 3. En este estudio valores de SR entre 3,00 y 3,9 presentaron una sensibilidad y especificidad del 100% a la hora de diagnosticar una lesión cutánea como maligna.
En el caso del melanoma, en el estudio piloto de Botar et al.26 —que incluía 42 melanomas en 39 pacientes— estudiaron la SE y la vascularización mediante Doppler color de las lesiones.
Los melanomas presentaron hipervascularización con múltiples pedículos vasculares y mayor dureza en la SE que la piel adyacente. Así mismo, las lesiones más vascularizadas presentaron una mayor dureza.
Es bien conocido en la literatura que existe una correlación entre la neovascularización del melanoma y su pronóstico27,28, por lo tanto, la dureza lesional podría ser un factor pronóstico en el melanoma29.
AdenopatíasEl objetivo de la evaluación de las adenopatías desde el punto de vista ecográfico es diagnosticar la afectación ganglionar de manera no invasiva en pacientes con lesiones clínicamente sospechosas de malignidad30.
Los ganglios linfáticos presentan una elastoestructura que suele presentar una cortical menos rígida que la cápsula y el hilio (fig. 6).
Para evaluar la rigidez de los ganglios linfáticos, la SE clasifica los ganglios en 4-5 grados en función de la proporción de áreas rígidas dentro del ganglio linfático31. Generalmente, las adenopatías benignas suelen ser blandas y las malignas suelen ser más duras32. Sin embargo, los linfomas presentan una dureza inferior a las adenopatías metastásicas y similar a la de las adenopatías inflamatorias, por lo que las adenopatías benignas y linfomatosas no pueden ser distinguidas aisladamente mediante elastografía33.
En el caso del melanoma (fig. 7), en el estudio de Hinz et al.34, la elastografía añadida al modo B y Doppler color permitió incrementar la sensibilidad en la detección de afectación ganglionar en adenopatías clínicamente sospechosas del 80,9% al 95,2%, sin incremento en la especificidad, que se mantuvo en el 76,2%. Estudios posteriores como el de Ogata et al.35 ofrecen resultados similares.
Elastografía de la patología inflamatoria cutáneaAl igual que la inflamación produce cambios en la estructura ecográfica en modo B y en el Doppler de la piel y los anejos36, esta inflamación también influye en el grado de dureza de estas estructuras7 (fig. 8).
En el estudio de Gaspari et al.37 se estudiaron 50 pacientes con abscesos que acudían a urgencias para drenaje, en modo B y mediante SE. La elastografía permitió observar áreas de rigidez alrededor de los abscesos que no eran evidentes en modo B.
En epidermis y dermis, el grupo de Cucoş et al.38 midieron los efectos de los corticoides tópicos en el grosor de la epidermis y la dermis, así como en la elasticidad en 16 placas de psoriasis. El grosor epidérmico disminuyó, mientras que la dermis incrementó ligeramente de grosor sin variar la elasticidad de la placa. Estos resultados, pese al limitado número de pacientes, parecen indicar la escasa sensibilidad de la SE en el tratamiento de las placas de psoriasis.
La elastografía ha tenido un mayor desarrollo en los procesos fibrosantes o esclerosantes primariamente cutáneos o sistémicos (morfea/esclerodermia), en los que las escalas de medida clínica presentan una sensibilidad y especificidad muy limitadas39 (fig. 9).
Los estudios iniciales realizados en elastografía SE de la esclerodermia, como el de Iagnocco et al.39, indicaban que la dermis de los pacientes con esclerodermia presentaba una rigidez mayor que la de los controles. Sin embargo, la reproducibilidad de la técnica en otras localizaciones como los dedos era variable, quizá por la cercanía de la superficie ósea de las falanges. Di Geso et al.40 repiten esta misma experiencia para comprobar el índice de concordancia en SE y en modo B. Los autores llegan a la conclusión de que la elastografía disminuye la variabilidad inter e intraobservador en la valoración del grosor de la dermis de los dedos en los pacientes con esclerodermia.
La afectación de la región perioral en pacientes con esclerosis sistémica es frecuente41. Cannaò et al.41 describen en un estudio piloto una escala elastográfica según segmentos periorales en la que demuestran que la dureza perioral es mayor en los sujetos con esclerodermia que en los controles.
En otros procesos fibróticos, como los secundarios a la radiodermitis, el grupo de Liu et al.42 demuestra que existe una diferencia medida mediante elastografía SW entre la piel y el tejido celular subcutáneo cervical de los pacientes sometidos a radioterapia frente a los controles sanos de la misma edad (64,6±46,8kPa frente a 19,9±7,8kPa). Los autores correlacionan estos cambios con el grado de atrofia de los músculos cervicales y la disminución del grosor del tejido celular subcutáneo cervical.
Aplicación de la elastografía en otros procesos dermatológicosEn el estudio de Suehiro et al.43, realizado con SE, encuentran que los pacientes con lipodermatosclerosis tienen menores SR que los pacientes con linfedema, independientemente del grado de linfedema.
En el campo de las úlceras por presión44, existen estudios experimentales en fantomas y animales en los que se evidencia de manera temprana un aumento en la rigidez de la piel superficial tras una presión mantenida, pudiendo ser este un marcador precoz de áreas de riesgo de ulceración.
ConclusionesLa elastografía en dermatología es una técnica incipiente, pero de gran potencial en la caracterización física de los tejidos de la piel y los anejos. Las diversas técnicas de elastografía ofrecen una información complementaria y sinérgica en el estudio de los tejidos que componen el tegumento, y está en la mano de los dermatólogos el plantear escenarios en los que la elastografía pueda ofrecer información complementaria a la hora de mejorar la atención a nuestros pacientes.
Conflicto de interesesNo declaro conflicto de interés.
Al servicio de Dermatología del Hospital Universitario Puerta de Hierro de Majadahonda por su colaboración en la elaboración del artículo, y a ESAOTE España y General Electric España por su colaboración con los equipos y software de elastografía.













