INTRODUCCIÓN
El carcinoma sebáceo es un tumor maligno, poco frecuente, derivado de las glándulas sebáceas. Tiene un comportamiento biológico agresivo con gran capacidad de destrucción local, tendencia a la recurren-cia y potencial metastásico1 .
Su localización predominante es oculopalpebral, originándose a partir de las glándulas sebáceas de los folículos pilosos de la piel palpebral, las glándulas de Zeiss y las glándulas de Meibomio. Es habitual su asociación al síndrome de Muir-Torre2-5 . La afectación extraocular es infrecuente y de difícil diagnóstico, debido a la ausencia de datos clínicos específicos, lo cual dificulta su detección precoz y retrasa el tratamiento quirúrgico.
DESCRIPCIÓN DEL CASO
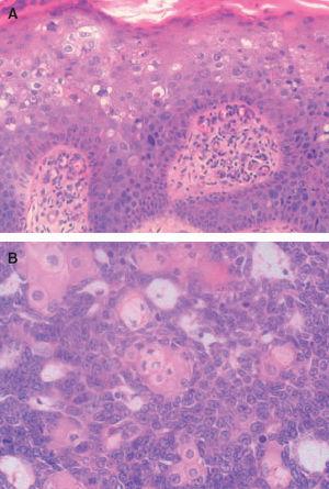
Una mujer de 79 años, sin antecedentes personales de interés, presentaba una lesión en mejilla derecha de un mes y medio de evolución. La exploración física mostró una lesión tumoral exofítica, queratósica, con áreas de hemorragia y necrosis, con una base pediculada ligeramente infiltrada (fig. 1). Se realizó extirpación-biopsia, con el resultado histopatológico de carcinoma sebáceo con infiltración tumoral de la base (figs. 2A y B).
En un segundo tiempo se realizó extirpación completa de la lesión residual con un margen de seguridad de 1,5 cm y reconstrucción del defecto quirúrgico mediante un colgajo de Limberg. En el mismo acto quirúrgico se extirpó una lesión papulosa amarillenta de 2 mm también localizada en la mejilla izquierda y una biopsia incisional de una lesión eritematodescamativa, de 2 por 1,5 cm de diámetro, de crecimiento progresivo, localizada en la pierna derecha. El estudio anatomopatológico de ambas lesiones fue hiperplasia sebácea (fig. 3A) y carcinoma intraepidérmico con diferenciación sebácea (fig. 3B), respectivamente. Esta última fue tratada con crioterapia y evolucionó de forma favorable con signos de curación clínica hasta el momento actual.
Fig. 1.Imagen clínica. Lesión exofítica con áreas de necrosis y hemorragia.
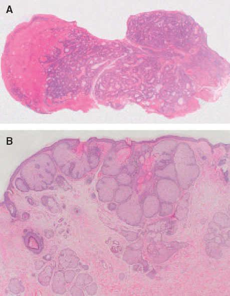
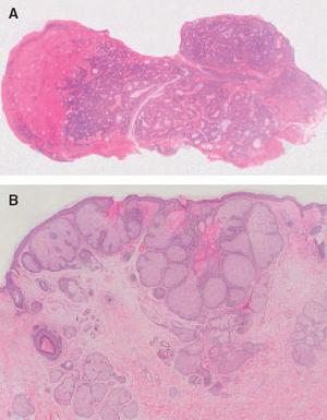
Fig. 2. A) Histología del carcinoma sebáceo. Tumor dispuesto en forma vertical, que se extiende hasta el tejido celular subcutáneo. (Hematoxilina-eosina, ×20.) B) La lesión se halla compuesta por lóbulos de células basófilas y pleomórficas de núcleo grande, entre las que se observan células con diferenciación sebácea y algunas mitosis. (Hematoxilina-eosina, ×100.)
En la anamnesis la paciente no refirió ningún proceso neoplásico previo. Entre los antecedentes familiares destacaba un hermano intervenido de carcinoma de laringe. La exploración física mostró varias hiperplasias sebáceas localizadas en el área facial. No se detectaron adenopatías locorregionales en cabeza y cuello ni en otras cadenas ganglionares. El estudio analítico sanguíneo y urinario fue normal, la citología de orina no mostró células tumorales y los marcadores tumorales (antígeno carcinoembrionario, alfafetoproteína, Ca 19-9, Ca 15-3, Ca 125 y enolasa neuronal específica) fueron negativos.
Se realizó una radiografía de tórax y una tomografía computarizada cervical, torácica y abdominal sin que en ellas se detectaran ni neoplasia oculta ni enfermedad metastásica secundaria al carcinoma sebáceo.
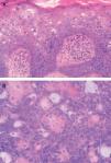
Fig. 3. A) Hiperplasia sebácea. Abundantes glándulas sebáceas grandes y maduras, dispuestas alrededor de conductos dilatados. (Hematoxilina-eosina, ×200.) B) Carcinoma intraepitelial con diferenciación sebácea. Se aprecian células epiteliales atípicas que se alternan con células que muestran diferenciación sebácea. (Hema-toxilina-eosina, ×400.)
El test de sangre oculta en heces fue positivo. La valoración por el servicio de gastroenterología descartó mediante colonoscopia la presencia de poliposis colónica u otro proceso tumoral en esta localización, y se estableció como causa de la hemorragia la existencia de hemorroides internas erosionadas.
La paciente presentó una buena evolución y sigue revisiones por la posibilidad del desarrollo futuro de una neoplasia visceral.
DISCUSIÓN
Clásicamente, se han considerado dos grandes variedades clínicas de carcinoma sebáceo, el palpebral u ocular, y el extraocular. Esta subdivisión tiene también justificación histopatológica, y más dudosamente pronóstica. La localización oculopalpebral representa el 75 % del total, es más frecuente en las mujeres y en el párpado superior 6 . Posee una gran capacidad invasiva local, pues más del 50 % de los casos muestran extensión pagetoide invadiendo el epitelio de la epidermis o la conjuntiva 7 . Aproximadamente el 25 % de los carcinomas sebáceos son extraoculares, con una mayor incidencia partir de la sexta década de la vida e igual presencia en ambos sexos 1,8 . Su etiopatogenia es escasamente conocida. Se han implicado factores genéticos, hecho lógico en los casos asociados al síndrome de Muir-Torre 4 en el que existe inestabilidad de microsatélites y mutaciones fundamentalmente en la línea germinal hMSH2 y en algún caso aislado en hMLH1. Recientemente 9 se han descrito casos en pacientes inmunodeprimidos postrasplante renal sin síndrome de Muir-Torre, que también mostraban inestabilidad de microsatélites. En ellos, la inmunodepresión y la predisposición genética han podido actuar conjuntamente como factores favorecedores. Aisladamente, también se ha relacionado la radioterapia facial con el desarrollo de esta neoplasia 7,10,11 .
El carcinoma sebáceo extraocular suele originarse en personas de edad avanzada en la cara y el cuello por la mayor presencia de glándulas sebáceas. Otras localizaciones menos habituales son: genitales externos12 , glándulas parotídeas y submandibular, conducto auditivo externo, región preesternal, glúteo, extremidades superiores, dedos de los pies y cavidad faríngea1 .
La presentación clínica es anodina, sin datos patognomónicos. Suele ser una lesión papulonodular, solitaria, de consistencia firme, de coloración amari-llento-anaranjada, o rosada. La epidermis puede ser normal o ligeramente verrugosa y en ocasiones está ulcerada. En un tercio de los casos la lesión sangra. En ausencia del color amarillento su detección clínica es difícil, pues simula lesiones benignas y retrasándose el diagnóstico varios meses, lo cual empeora el pronóstico. La escasa correlación clinicopatológica es un dato que aún dificulta más el diagnóstico precoz en este grupo de tumores13 .
Biológicamente el carcinoma sebáceo es un tumor agresivo y con tendencia a la recurrencia local en los 5 años posteriores a la extirpación quirúrgica. A ello contribuye su patrón histológico de crecimiento multicéntrico 1 , que exige extirpaciones quirúrgicas con un amplio margen de seguridad oncológica. La invasión pagetoide de la epidermis es excepcional; sin embargo, posee capacidad de infiltración perineural y perivascular 14 . Puede producir metástasis, inicialmente por diseminación linfática, afectando a los ganglios regionales, y posteriormente por diseminación hemática a distancia, invadiendo hígado, pulmón, hueso y cerebro. Clásicamente se consideraba que la localización extraocular tenía mejor pronóstico que la ocu- 7,15 ; sin embargo, en una revisión de la literatura médica 16 se han encontrado metástasis en el 21 % de los pacientes con carcinoma sebáceo extraocular y recurrencia en el 29 %, mientras que el carcinoma sebáceo ocular metastatiza en un 14-25 % y recurre en un 30 %. Por tanto, la capacidad de diseminación metastásica y el pronóstico es similar en ambas localizaciones 14 .
El tratamiento de elección del carcinoma sebáceo es la extirpación quirúrgica, con amplio margen de seguridad oncológica1 . Existen varios trabajos que proponen la cirugía micrográfica de Mohs como la mejor alternativa terapéutica17-19 . En caso de enfermedad metastásica se recurre a la radioterapia y/o quimioterapia como tratamiento paliativo1 .
El síndrome de Muir-Torre es una genodermatosis de transmisión autosómica dominante con penetran-cia y expresividad variables, caracterizada por la asociación de tumores cutáneos derivados de las glándulas sebáceas y neoplasias viscerales, especialmente en colon y tracto genitourinario4 . Aunque existe un amplio espectro de lesiones sebáceas asociadas al síndrome de Muir-Torre, los tres marcadores cutáneos diagnósticos son el adenoma sebáceo, el sebaceoma y el carcinoma sebáceo20 , si bien algunos autores incluyen también al queratoacantoma con diferenciación sebácea21 . Aproximadamente el 30 % de los pacientes con síndrome de Muir-Torre presentan un carcinoma sebáceo y, de éstos, el 50 % en localización oculopalpebral3 .
A pesar de presentar tres lesiones sebáceas de diferente naturaleza, el caso presentado, en el momento actual, no puede encuadrarse dentro de un síndrome de Muir-Torre, pues el estudio general no ha puesto de manifiesto cáncer visceral. No obstante, en el 20-25 % de los casos la lesión sebácea precede al desarrollo de la neoplasia interna 4,22 por lo que el carcinoma sebáceo puede considerarse un marcador de riesgo personal y familiar de neoplasia. Es, pues, necesario un seguimiento orientado al diagnóstico precoz de una posible neoplasia visceral en el futuro. Excluyendo la hiperplasia sebácea, algunos autores incluso plantean la conveniencia de descartar un síndrome de Muir-Torre en los familiares de todo paciente afectado de una neoplasia con diferenciación sebácea benigna o maligna 5 .
Correspondencia:
María A. Martín-Díaz. Servicio de Dermatología. Hospital Universitario La Paz. P.º de la Castellana, 261. 28046 Madrid. España. geles_md@hotmail.com
Recibido el 19 de julio de 2004. Aceptado el 3 de septiembre de 2004.





